Un varón de 84 años, sin historia médica relevante, presentaba una única lesión costrosa facial, que no curaba, de un año de evolución. En la región malar izquierda se observó una pápula eritematocostrosa de 5mm (fig. 1A). Con dermatoscopia (luz polarizada), mostraba vasos lineales periféricos de disposición radial, algunos recordando triángulos, vasos en horquilla, rodeados de áreas blanquecinas brillantes, y un área central costrosa e hiperqueratósica (fig. 1B-C).
A) Imagen clínica: pápula eritematocostrosa en mejilla izquierda; B) Dermatoscopia, bajo luz polarizada: vasos lineales periféricos de disposición radial y vasos en horquilla, rodeados de áreas blanquecinas brillantes y un área central costrosa e hiperqueratósica; y C) Representación esquemática de la imagen dermatoscópica. Nótese el patrón vascular: vasos lineales (flecha), vasos en horquilla (punta de flecha), vaso lineal con engrosamiento distal (asterisco). La masa de queratina se representa en color blanco y la costra en color naranja.
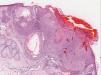
Histológicamente, se objetivó una proliferación neoplásica bien circunscrita con empalizada periférica, en la dermis superficial, en continuidad con la epidermis. Estaba constituida por células escamosas, algunas con vacuolización, con focos de queratinización y microquistes. La superficie estaba focalmente erosionada cubierta por una costra serohemática. La dermis también mostraba un infiltrado linfohistiocitario reactivo con dilatación vascular que afectaba también a la periferia de la lesión (fig. 2). Se estableció el diagnóstico de triquilemoma.
Imagen histológica (H&E, ×8). Proliferación neoplásica bien circunscrita localizada en la dermis superficial, en continuidad con la epidermis. Está compuesta de células escamosas, algunas con vacuolización, formando focos de queratinización y microquistes córneos. Nótese la epidermis ulcerada y los vasos dilatados en la periferia del tumor (flechas).
Recientemente, Horcajada-Reales et al.1 han descrito las características dermatoscópicas del triquilemoma: las estructuras rojas iris-like (vasos lineales periféricos radiales, con engrosamiento distal, adquiriendo forma de triángulos); áreas blanquecinas brillantes rodeando estos vasos; y masas centrales hiperqueratósicas (estos 2 últimos ya descritos por Lallas et al.2). En nuestro caso, el patrón vascular solo adquiere forma triangular en el polo superior izquierdo de la lesión. La masa de queratina y las áreas blanquecinas brillantes se relacionarían con los lóbulos escamosos de la neoplasia. Entre estos se sitúan vasos tumorales dilatados que justificarían el patrón vascular. La costra central, que clínicamente apuntaba a un carcinoma basocelular, no ha sido descrita hasta ahora como estructura dermatoscópica del triquilemoma.
Conflicto de interesesLos autores declaran no tener ningún conflicto de intereses.




