An 84-year male patient with no medical history of interest presented with a single crusted facial nonhealing lesion of 1 year duration. A 5mm erythematous crusted papule was present in the left malar region (Fig. 1A). Dermoscopy (with polarized light) showed peripheral linear vessels arranged radially in a triangle formation, hairpin vessels surrounded by reflective whitish areas, and a central crusted and hyperkeratotic area (Fig. 1B-C).
A Clinical image: erythematous papule on the left cheek. B, Dermatoscopy (with polarized light): linear vessels arranged radially in a triangle formation and hairpin vessels surrounded by reflective whitish areas, and a central crusted and hyperkeratotic area. C, Schematic representation of the dermoscopic image. Note the vascular pattern: linear vessels (arrow), hairpin vessels (arrow tip), linear vessel with distal thickening (asterisk). The keratin mass is shown in white and the crust in orange.
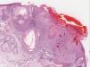
In the pathology study, a well-defined neoplastic proliferation was observed in the superficial dermis in contact with the epidermis. It was made up of squamous cells, some with vacuolization, with foci of keratinization and microcysts. Focal erosion of the surface was present, with a serohematic crust. In addition, the dermis showed a reactive lymphohistiocytic infiltrate with vascular dilation that also involved the periphery of the lesion (Fig. 2). Diagnosis of trichilemmoma was established.
Histological image (hematoxylin and eosin, x8). A well-defined neoplastic proliferation was observed in the superficial dermis, in contact with the epidermis. It was made up of squamous cells, some with vacuolization, with foci of keratinization and corneal microcysts. Note the ulcerated epidermis and dilated vessels in the tumor periphery (arrows).
Recently, Horcajada-Reales et al.1 have reported the dermoscopic characteristics of trichilemmoma: the red iris-like structures (radial peripheral linear vessels with distal thickening, taking on a triangular form); reflective whitish areas surrounding those vessels; and central hyperkeratotic masses (the latter 2 already described by Lallas et al.2) In our case, the vascular pattern only acquired a triangular form at the upper left axis of the lesion. The keratin mass and the reflective whitish areas are related to squamous lobes of the neoplasm. Dilated tumor vessels are located within the lesion, explaining the vascular pattern. The central crust, which was clinically suggestive of basal cell carcinoma, has not been described to date as a dermoscopic feature of trichilemmoma.
Conflicts of InterestThe authors declare that they have no conflicts of interest.
Please cite this article as: Lozano-Masdemont B, Lara Simón IMd, López LG. Características dermatoscópicas del triquilemoma facial. Actas Dermosifiliogr. 2017;108:863–864.






 
 
		
