Alternaria es un hongo dematiáceo (pigmentado) que se encuentra en el medio ambiente y es patógeno para las plantas. Se trata de un hongo oportunista que habitualmente infecta a pacientes inmunodeprimidos1,2. Describimos el caso de un paciente transplantado cardiaco con una alternariosis cutánea por Alternaria sp. que desarrolló múltiples lesiones en las extremidades superiores e inferiores.
Se trata de un paciente de 63 años de edad, procedente del medio rural y aficionado a la recolección de caracoles, que como antecedentes personales de interés destaca ser trasplantado cardiaco desde hace 6 meses, en tratamiento habitual con micofenolato mofetil (500mg/12h), tacrolimus (1,5mg/24h) y prednisona (15mg/24h) desde el momento del trasplante, además de su medicación habitual gastroprotectora, hipotensora e hipolipemiante.
Acude a la consulta de dermatología derivado por su cardiólogo habitual por presentar múltiples lesiones nodulares en las extremidades superiores e inferiores de varias semanas de evolución. Por lo demás no refería ninguna otra sintomatología sistémica.
A la exploración física se observaban múltiples nódulos eritemato violáceos, de consistencia dura, de diferente tamaño tanto en las extremidades superiores (fig. 1A) como inferiores (fig. 1B), algunos de ellos de superficie ulcerocostrosa.
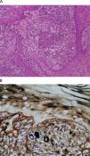
Se practicó una biopsia cutánea de una de estas lesiones para realizar un estudio histopatológico y microbiológico. En el estudio histopatológico se observó una epidermis hiperplásica con invaginaciones a modo de cráter, con material queratósico central e hiperplasia pseudoepiteliomatosa. En la dermis existía un infiltrado inflamatorio constituido por histiocitos, algunos de tipo célula gigante multinucleada que focalmente mostraban en su interior la presencia de unas formaciones redondeadas revestidas por una cápsula de aspecto micótico (fig. 2A). Estas células gigantes se disponían constituyendo granulomas con abscesificación central. Con la técnica de plata metenamina se observan a mayor detalle estos cuerpos redondos con refuerzo periférico (fig. 2B).
Tras realizar un cultivo microbiológico del tejido en medio Sabouraud con agar se constató que las estructuras micóticas observadas correspondían al género Alternaria, de la que no se pudo identificar la especie.
Se solicitó además una Rx de tórax para descartar afectación pulmonar que resultó ser normal, así como analítica sanguínea (hemograma y bioquímica general) en la que no se observó ninguna alteración relevante.
El paciente fue tratado con itraconazol oral 200mg/d durante 6 meses, además de aplicación tópica de ketoconazol crema 2 veces al día durante este tiempo. Simultáneamente al tratamiento oral y tópico se llevaron a cabo 12 sesiones de crioterapia, que se iniciaron al mes del comienzo de dichos tratamientos. Las sesiones se realizaron con una frecuencia quincenal. Actualmente el paciente se encuentra asintomático, sin ninguna lesión activa y solo persisten cicatrices hipo e hiperpigmentadas en algunas de las zonas tratadas mediante crioterapia (fig. 3).
La alternariosis cutánea no se puede considerar ya una infección fúngica cutánea poco frecuente. Una reciente revisión bibliográfica muestra 89 casos que cumplen criterios tanto microbiológicos como histopatológicos de esta entidad3. Habitualmente los pacientes afectados se encuentran inmunodeprimidos por algún motivo; en concreto, los pacientes trasplantados constituyen un grupo de población en los que esta infección se ha incrementado considerablemente2,4.
Se cree que hay 2 vías de contagio de la enfermedad: la más frecuente es por inoculación directa desde las plantas, aunque también se han descrito casos de inhalación de conidias fúngicas y diseminación sistémica1, con afectación principalmente de los pulmones, los senos paranasales o el cerebro. En el caso que exponemos, la vía de contagio fue por inoculación directa, tanto en las extremidades superiores como en las inferiores, ya que nuestro paciente es aficionado a la recolección de caracoles y su indumentaria para esta labor consta de camiseta de manga corta y pantalón corto.
Desde el punto de vista clínico las lesiones suelen ser nódulos, placas o ulceraciones aisladas, siendo poco frecuentes las lesiones múltiples3, como en el caso de nuestro paciente. Las lesiones pueden persistir durante años.
Los hallazgos histopatológicos demuestran un infiltrado granulomatoso en la dermis con presencia de células de tipo gigante multinucleadas e hifas fúngicas que se visualizan con hematoxilina-eosina o, mejor aún, con la tinción de Grocott. Además de la visualización de Alternaria spp. debe realizarse un cultivo para confirmar la infección. Habitualmente las colonias de Alternaria spp. crecen rápidamente en medio Sabouraud agar-dextrosa, y aparecen de color verde oliva o gris negruzco5.
El tratamiento de esta infección sigue siendo controvertido. Se han utilizado múltiples antifúngicos con diferentes resultados. Se ha observado resistencia a griseofulvina y 5-fluorocitosina6. Se han utilizado con éxito anfotericina B y miconazol7. Estudios más recientes se han centrado en el uso de itraconazol oral por su menor toxicidad y fácil posología, aunque la dosis y la duración del tratamiento siguen sin estar protocolizadas8. En algún caso se ha utilizado también la cirugía como tratamiento coadyuvante al oral4.
En el caso de nuestro paciente nos decantamos por el tratamiento con itraconazol oral, además de ketoconazol tópico, y decidimos añadir crioterapia en las lesiones más resistentes que respondieron bien al tratamiento, aunque no hemos encontrado ninguna referencia bibliográfica donde se haya utilizado previamente.
Como conclusión queremos resaltar la importancia de infecciones oportunistas como la de nuestro paciente, ya que aunque hace unos años se consideraban excepcionales9 hoy en día, debido al aumento del uso de tratamientos inmunosupresores, no lo son. También queremos destacar la inusualidad de este caso tanto por tratarse de una infección poco frecuente como por el carácter múltiple de sus lesiones.





