La alopecia sifilítica es una manifestación infrecuente de la sífilis, que solo aparece en un 4% de los pacientes. Presentamos 5 casos de alopecia sifilítica y realizamos una revisión de la literatura. Todos los pacientes eran varones, con edades comprendidas entre los 31 y los 46 años. Las lesiones consistían en múltiples placas alopécicas de predominio en la región parietooccipital, irregulares, no cicatriciales, que adoptaban el característico patrón apolillado o en trasquilones. Un paciente comenzó con una alopecia difusa asociada a múltiples lesiones eritematosas y descamativas en el cuero cabelludo. En los 2 casos en que se realizó biopsia cutánea se detectó, mediante tinciones inmunohistoquímicas, la presencia de numerosas espiroquetas en el folículo piloso. Todos los pacientes en seguimiento clínico mejoraron sus lesiones tras el tratamiento. Los dermatólogos deben estar alerta ante esta manifestación infrecuente de la enfermedad, que todavía adquiere mayor relevancia clínica cuando aparece de forma aislada.
Syphilitic alopecia occurs in only 4% of patients with syphilis. We present 5 cases of this uncommon manifestation and review the corresponding literature. All of the patients in our series were men aged between 31 and 46 years. The lesions, which were located mainly in the parieto-occipital area of the scalp, manifested as multiple, irregular, nonscarring patches of alopecia that adopted a characteristic patchy moth-eaten pattern. One patient initially presented diffuse alopecia with multiple erythematous scaling lesions. Immunohistochemical staining revealed the presence of numerous spirochetes in the hair follicles in the 2 patients in whom skin biopsy was performed. The lesions improved with treatment in all the patients who attended follow-up. Dermatologists should maintain a high level of clinical suspicion for this uncommon manifestation of syphilis, particularly when it is the only symptom.
La sífilis, también conocida como «la gran simuladora», permanece entre nosotros y es preciso mantener un alto grado de sospecha diagnóstica1. Además de sus formas de presentación clínica habituales pueden aparecer manifestaciones cutáneas extremadamente infrecuentes que, en ocasiones, dificultan su diagnóstico2.
La alopecia sifilítica (AS) es una manifestación rara de la infección, que debemos conocer debido al incremento progresivo del número de casos de sífilis en nuestro país en los últimos años. Este reciente brote de sífilis puede traducirse en un aumento de los casos atípicos o con complicaciones neurológicas en nuestra práctica clínica diaria1,2. Presentamos 5 casos de AS y realizamos una revisión de la literatura.
Casos clínicosEn el presente trabajo hemos recogido todos los casos de AS diagnosticados en el Servicio de Dermatología del Hospital General Universitario de Valencia entre mayo de 2007 y mayo de 2011. Un total de 81 pacientes fueron diagnosticados de sífilis, 57 de los cuales presentaban una sífilis secundaria, evidenciándose alopecia en un 6,17% de todos los casos. Las características más relevantes de los pacientes con AS se resumen en la tabla 1. Todos correspondían a varones, en la tercera o cuarta década de la vida (rango de edad de 31 a 46 años), que reconocieron en la anamnesis la práctica de relaciones sexuales de riesgo. Las pruebas serológicas (detección de anticuerpos reagínicos y treponémicos) fueron positivas en todos ellos, y en 2 pacientes también se encontró positividad para el virus de la inmunodeficiencia humana (VIH), hallazgo no conocido para el caso 1.
Características de 5 casos de alopecia sifilítica
| Caso | Edad/sexo | Práctica sexual | Serologías | Tiempo de evolución de la alopecia | Lesiones asociadas | Tipo de alopecia sifilítica | Biopsia | Tratamiento | Evolución a los 3 meses |
|---|---|---|---|---|---|---|---|---|---|
| 1 | 41/varón | Homosexual | RPR 1/32TPHA (+)VIH (+) | Dos meses | Pápulo-necróticas en troncoPalmoplantares | AS sintomática | Espiroquetasen folículo piloso | Tres dosis penicilina G benzatina 2,4×106 UI | Curación clínicaRPR 1/4 |
| 2 | 46/varón | Homosexual | RPR 1/32TPHA (+)VIH (+) | Dos semanas | Fiebre-mialgiasÚlcera en glandePalmoplantaresExantema tronco | AS esencialPatrón apolillado | Espiroquetas en folículo piloso | Tres dosis penicilina G benzatina 2,4×106 UI | Curación clínicaRPR 1/2 |
| 3 | 40/varón | Desconocido | RPR 1/32TPHA (+)VIH (-) | Un mes | Úlcera oralPalmoplantares | AS esencialPatrón mixto | NR | Una dosis penicilina G benzatina 2,4×106 UI | Curación clínicaRPR (-) |
| 4 | 34/varón | Heterosexual relacionescon prostitutas | RPR 1/16TPHA (+)VIH (-) | Desconocido | No | AS esencialPatrón apolillado | NR | Tres dosis penicilina G benzatina 2,4×106 UI | Curación clínicaRPR 1/4 |
| 5 | 31/varón | Heterosexual | RPR 1/32TPHA (+)VIH (-) | Un mes | Úlcera glandePalmoplantaresExantema tronco | AS esencialPatrón apolillado | NR | Una dosis penicilina G benzatina 2,4×106 UI | Desconocida |
AS: alopecia sifilítica; NR: no realizada; RPR: rapid plasma reagin; TPHA: Treponema pallidum hemaglutinación; VIH: virus de la inmunodeficiencia humana.
En la exploración física presentaban múltiples placas alopécicas de predominio en la región parietooccipital, de tamaño irregular, no cicatriciales, sin signos inflamatorios ni descamación y no desprovistas completamente de pelo, adoptando el característico patrón «apolillado» o en «trasquilones» (figs. 1 A y B). Un paciente comenzó con una alopecia difusa asociada a múltiples lesiones eritematosas y descamativas en el cuero cabelludo (fig. 2). Tras la primera dosis de tratamiento presentó una reacción de Jarisch-Herxheimer con fiebre elevada, malestar, artromialgias generalizadas y un marcado empeoramiento de su alopecia (caso 1). La mayoría de los pacientes, tras una exhaustiva historia clínica, refirieron otras manifestaciones asociadas que podían ser sugestivas de enfermedad sifilítica. En el caso 4, la clínica había pasado completamente desapercibida para el paciente, y el diagnóstico se estableció de forma casual. No presentaba ninguna otra sintomatología.
La biopsia cutánea del caso 1 mostró una marcada hiperqueratosis con áreas de queratosis folicular y una dermatitis difusa granulomatosa con presencia de numerosas células plasmáticas.
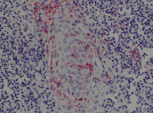
En el estudio histológico del caso 2 se observaba una hiperplasia epidérmica irregular y un denso infiltrado inflamatorio linfohistiocitario de distribución liquenoide con una marcada afectación de la unión dermoepidérmica. El inmunomarcaje demostró la presencia de numerosas espiroquetas que presentaban un marcado vasculotropismo y epiteliotropismo perifolicular (fig. 3).
Los pacientes a los que se realizó seguimiento clínico (casos 1 a 4) mejoraron de sus manifestaciones tras la administración de penicilina G benzatina 2,4 millones de unidades intramusculares (figs. 4 A y B). En el caso 4 se decidió tratar como una sífilis de duración incierta y administrar una dosis semanal durante 3 semanas. Todos ellos presentaron una adecuada respuesta en sus parámetros serológicos.
DiscusiónLa AS es una manifestación infrecuente en los pacientes con sífilis, que solo aparece en el 4% de ellos3. En 1940 Mc Carthy4 describió 2 tipos de AS secundaria, clasificación que permanece vigente prácticamente sin cambios en la actualidad. La AS «sintomática» es una manifestación extremadamente infrecuente que asocia lesiones cutáneas en el cuero cabelludo, generalmente papuloescamosas. El segundo tipo, la AS «esencial», se caracteriza por la pérdida de pelo sin asociar otras lesiones luéticas visibles en el cuero cabelludo5. La AS «esencial» puede mostrar 3 patrones clínicos distintos:
- 1.
Patrón apolillado o en trasquilones: es el más clásico y se caracteriza por la presencia de pequeñas placas alopécicas parcheadas, que no están completamente desprovistas de pelo, de tamaño irregular, bordes mal definidos, de características no cicatriciales, sin signos inflamatorios ni descamación. Las placas alopécicas se localizan predominantemente en la región parietooccipital, posiblemente por un mayor depósito de treponemas debido a una rica vascularización local. No obstante, puede afectar a otras zonas pilosas como la barba, las pestañas, las axilas, el pubis, el tronco e incluso las piernas.
- 2.
Patrón difuso: se produce una pérdida generalizada de pelo, tipo efluvio telógeno, con una alopecia difusa sin placas claras.
- 3.
Patrón mixto: pequeñas placas alopécicas irregulares coexisten con una alopecia difusa3,5,6.
El patrón apolillado es la forma de presentación clínica más frecuente en el cuero cabelludo, y se considera uno de los signos más característicos de la sífilis secundaria5,7. Existen otras entidades clínicas que presentan alopecias localizadas no cicatriciales, tales como alopecia areata, tricotilomanía o tiña capitis que pueden simular clínicamente una alopecia apolillada3. Además, en pacientes con una pérdida difusa de pelo, rápida y de causa inexplicable, también debemos tener en cuenta la sífilis dentro del diagnóstico diferencial7. Este patrón difuso se puede considerar un fenómeno reactivo tipo efluvio telógeno, más que por el efecto directo del treponema en el folículo. En la sífilis primaria, sin embargo, la pérdida de pelo es un fenómeno excepcional que solo aparece cuando existe un chancro primario en el cuero cabelludo. En la fase terciaria se han descrito casos de alopecia cicatricial8.
Las diversas formas clínicas de AS pueden aparecer asociadas a manifestaciones sistémicas como malestar general, febrícula, linfadenopatías, astenia, anorexia y/o múltiples manifestaciones mucocutáneas, algunas muy características, como una erupción papuloescamosa generalizada no pruriginosa de predominio troncular, lesiones palmoplantares que muestran los collaretes de Biett, úlceras en la mucosa oral o condilomas planos. También puede observarse, aunque con menor frecuencia, placas anulares con formas figuradas e hiperpigmentación central, nódulos y placas granulomatosas o la denominada corona veneris caracterizada por la presencia de numerosas pápulas en la línea de implantación pilosa frontal9.
El diagnóstico de sospecha se establece ante la presencia de las típicas lesiones de AS, que pueden acompañarse de otras manifestaciones cutáneas o sistémicas, y se confirma con los estudios de laboratorio que mostrarán unas pruebas serológicas (reagínicas y treponémicas) siempre positivas en la fase secundaria2,5. En el estudio histológico de la AS habitualmente encontramos una epidermis conservada con zonas de hiperqueratosis folicular. En ocasiones se ha descrito la presencia de una hiperplasia epidérmica psoriasiforme con un infiltrado liquenoide9. Otros hallazgos característicos son una marcada disminución del número normal de pelos terminales en anágeno, junto a un aumento de folículos pilosos en fase telógena y catágena10,11.
Según Ackerman12 se clasificaría como una alopecia inflamatoria no cicatricial con presencia de un infiltrado dérmico linfohistiocitario perivascular y perifolicular con células plasmáticas9. En la alopecia areata se puede observar un patrón similar, pero existen una serie de hallazgos que son altamente sugestivos de alopecia areata, como la presencia de folículos pilosos miniaturizados, eosinófilos peribulbares y un infiltrado linfocitario en panal de abeja7,9,11. En estudios moleculares recientes se ha identificado al Treponema pallidum en los folículos afectos, hecho que apoya la teoría de una reacción inmunológica específica a los antígenos treponémicos7. Las técnicas inmunohistoquímicas pueden detectar la presencia de espiroquetas en el folículo piloso, generalmente en la regíon perifolicular y peribulbar, otorgando al treponema un papel patogénico directo como responsable de la alopecia13.
La actitud terapéutica en la AS es idéntica a la de otros pacientes con sífilis secundaria6. El tratamiento de elección en sujetos inmunocompetentes es una dosis intramuscular de 2,4 millones de unidades de penicilina G benzatina3. En pacientes con infección por VIH se debe administrar una dosis semanal durante 3 semanas14,15. Se ha descrito una mayor caída de cabello, e incluso la posibilidad de un efluvio telógeno como consecuencia de una reacción de Jarish-Herxheimer tras iniciar el tratamiento9 (caso 1). No obstante, la pérdida de pelo es reversible, y generalmente se resuelve completamente a las 8-12 semanas del inicio del tratamiento3. Es importante establecer un tratamiento precoz para evitar posibles complicaciones tardías. Tradicionalmente existía una frecuente y constante asociación de neurosífilis cerebroespinal y alopecia4,5.
En ocasiones, la AS puede ser la única manifestación de la enfermedad5,6 (caso 4), por lo que es importante mantener un elevado grado de sospecha diagnóstica para evitar un diagnóstico tardío, o que estos enfermos puedan ser erróneamente diagnosticados. En aquellos pacientes que asocian otras manifestaciones cutáneas, la exploración sistemática del cuero cabelludo y otras zonas pilosas puede poner de manifiesto que esta clínica sea más frecuente de lo que realmente aparece descrito en la literatura, encontrándose en la actualidad infradiagnosticada.
El papel del dermatólogo en el diagnóstico de esta entidad puede ser de gran importancia. Ante la presencia de una alopecia parcheada o difusa debe descartarse una sífilis mediante screening serológico, que también debe incluir hormonas tiroideas y anticuerpos antinucleares5,7. Nos parece importante conocer este cuadro clínico para encuadrar la alopecia y el resto de manifestaciones cutáneas dentro de una misma enfermedad sistémica, dado que un tratamiento precoz permite una recuperación clínica completa y evita complicaciones potencialmente graves14,16,17.
Conflicto de interesesLos autores declaran no tener ningún conflicto de intereses.
A los Dres. Javier López, Juan Vilata, Antonio Martínez y Juan Ignacio Marí por su colaboración en algunos casos clínicos.
A la Dra. Arantxa Torrijos por la lectura crítica del artículo y sus valiosas correcciones.






