La alopecia androgenética femenina es una de las causas más frecuentes de caída de cabello, afectando al 50% de las mujeres a lo largo de la vida1. En mujeres posmenopáusicas la presencia de alopecia e hirsutismo como manifestación de hiperandrogenismo puede ser el resultado de numerosas causas, desde cambios fisiológicos normales a tumores ováricos o suprarrenales. Ante una paciente con alopecia se recomienda realizar una historia clínica detallada, examen físico, analítica general (que incluya hemograma, tirotropina y ferritina) y un estudio hormonal con testosterona total y libre y dehidroepiandrosterona sulfato.
Presentamos el caso de una mujer de 65 años que consultó por caída de cabello y aparición de pelo negro en la cara desde hacía un año. No tenía historia previa de alopecia, hirsutismo o hiperandrogenismo. Entre sus antecedentes destacaban factores de riesgo cardiovascular: hipertensión arterial, dislipidemia y diabetes mellitus, así como bocio eutiroideo, por el que estaba en seguimiento por endocrinología. A la exploración presentaba alopecia en forma de retroceso triangular de la línea de implantación frontoparietal (fig. 1A), junto con pérdida difusa de cabello en la región del vértex (fig. 1B), todo ello compatible con alopecia femenina de patrón masculino grado ii de Ebling. También presentaba hirsutismo de predominio en la cara y los laterales del cuello, así como a nivel del mentón (fig. 2), con una puntuación de 9 en la escala de Ferriman y Gallwey. Al explorar los genitales externos se observó clitoromegalia. No destacó la presencia de otros signos de virilización, como voz ronca o aumento de masa muscular, entre otros.
Ante estos hallazgos en la exploración física se solicitó una analítica con hemograma, bioquímica, velocidad de sedimentación globular, hormonas tiroideas y perfil férrico que fueron normales, así como estudio hormonal que objetivó hiperandrogenismo a expensas de una elevación de la testosterona, cuyos niveles fueron de 4,06ng/ml (Vn 0,20-0,80). Los niveles de la globulina unida a hormonas sexuales fueron de 28nmol/l (Vn11-124), y el índice de testosterona libre, que es la hormona biológicamente activa, fue de 45 (Vn1,6-6). Los niveles de androstenediona, dehidroepiandrosterona sulfato y 17-hidroxiprogesterona fueron normales. El estradiol se encontraba elevado debido a la aromatización periférica a partir de la testosterona.
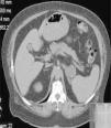
Ante la sospecha de tumor ovárico se realizó una ecografía vaginal sin hallazgos patológicos. Posteriormente se remitió a la paciente a endocrinología, donde se amplió el estudio, solicitándose analítica con marcadores tumorales y pruebas de imagen. En la analítica los niveles de prolactina y el estudio de cortisol fueron normales, así como los marcadores tumorales, a excepción del antígeno carcinoembrionario (CEA), cuyos niveles fueron de 14,5ng/ml (Vn0-5). En la TAC abdominal las imágenes fueron compatibles con adenoma suprarrenal izquierdo (fig. 3). La resonancia magnética de pelvis no mostró imágenes compatibles con tumoración ovárica. Con estos hallazgos se decidió realizar una adrenalectomía izquierda, tras la cual persistieron elevados los niveles de testosterona, con cifras de 4,06ng/ml (Vn0,20-0,80) y el índice de testosterona libre de 42,6 (Vn1,6-6). Finalmente, y dado la alta sospecha de hiperandrogenismo de origen ovárico, se practicó una anexectomía bilateral.
La anatomía patológica demostró un tumor de células de Leydig hiliar en el ovario derecho. Transcurridos 2 meses de la intervención los niveles de testosterona se han normalizado y la paciente presenta mejoría del hirsutismo y de la alopecia.
La alopecia y el hirsutismo pueden ser la manifestación inicial de una neoplasia2, como en este caso. El tumor de células de Leydig hiliar del ovario es un proceso patológico excepcional, ya que representa solo el 0,5% de todos los tumores ováricos, existiendo pocos casos descritos en la literatura. En muchos casos este tumor ovárico se asocia a virilización, con aumento de andrógenos3–5, así como a riesgo de procesos tromboembólicos6, aunque su comportamiento es benigno. Los tumores de células de Leydig del ovario pueden ser muy pequeños e indetectables en las pruebas de imagen, por ello no es raro que la decisión de anexectomía se deba, en la mayoría de casos, a un diagnóstico de descarte7. Cuando aparece en mujeres premenopáusicas existe la posibilidad de realizar anexectomía solo del ovario afecto. Para ello, puede localizarse el tumor midiendo los niveles de testosterona en las venas ováricas durante la intervención8.
El hiperandrogenismo en la posmenopausia, y especialmente la virilización, es muy infrecuente y suele deberse a causas tumorales (principalmente de origen ovárico o suprarrenal)9. Otras causas que deben descartarse son los fármacos, la enfermedad hipofisaria o la secreción tumoral ectópica. Tanto la severidad del hiperandrogenismo como la edad, la rapidez de instauración del cuadro y los síntomas y signos asociados son elementos importantes a la hora de realizar el abordaje diagnóstico.





