INTRODUCCION
En el año 1996 English y McCollough 1 describieron los primeros 2 casos de acroqueratodermia siríngea acuagénica en 2 hermanas de 20 y 18 años de edad, respectivamente, denominándola acroqueratodermia pápulo-translúcida reactiva transitoria. Este cuadro consiste en la aparición de pápulas blanquecinas translúcidas en palmas y plantas tras la inmersión de las mismas bajo el agua. Suele darse en mujeres jóvenes y tiende a la resolución o mejoría espontánea. Presentamos 2 casos de esta rara entidad que hemos tenido la oportunidad de ver recientemente en nuestra consulta.
PRESENTACION DE LOS CASOS
Caso 1
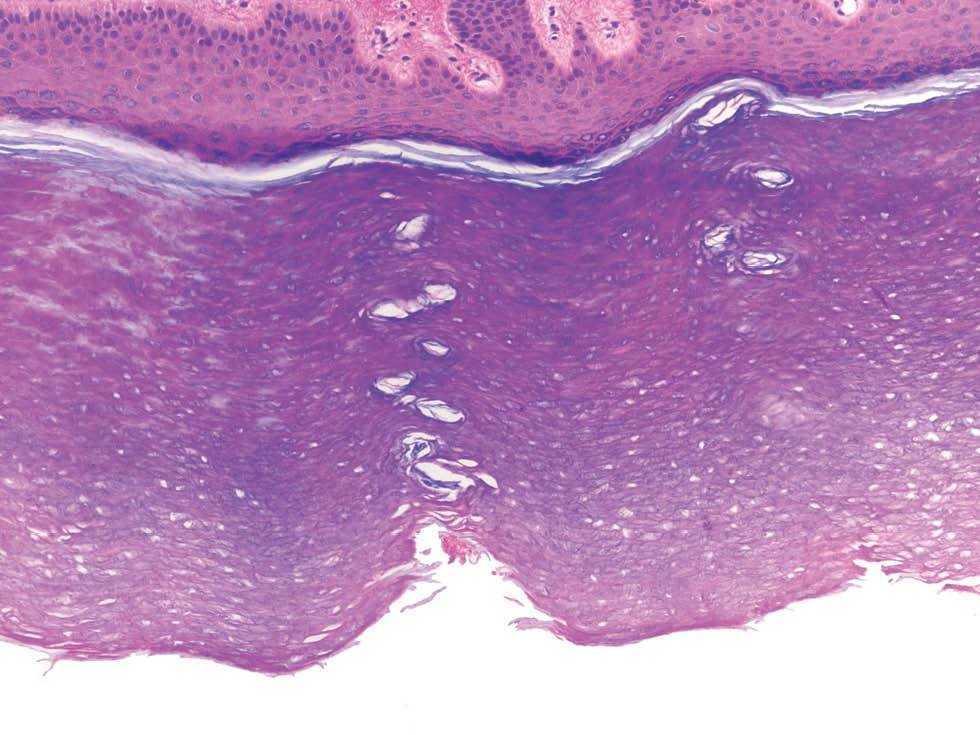
Una mujer de 20 años, con antecedentes personales de alergia a gramíneas y rinoconjuntivitis alérgica, consultó por lesiones blanquecinas y asintomáticas en las palmas de ambas manos aparecidas 8 meses antes, tras haber estado en una piscina. Duraban escasos minutos y desaparecían espontáneamente. Las lesiones reaparecían de forma continua desde entonces, al entrar en contacto con agua fría o caliente. En la exploración física presentaba, en el centro de ambas palmas, una ligera hiperqueratosis. Tras sumergir las manos en agua durante 5 min mostró una coloración blanquecina de la piel, que adquirió un aspecto macerado de las palmas, junto a pápulas pequeñas de color blanco (figs. 1 y 2). Con la impresión clínica de acroqueratodermia siríngea acuagénica se le realizó biopsia de una de las lesiones, apreciándose discreta hiperqueratosis ortoqueratósica, acantosis difusa y una ligera dilatación del acrosiringio (fig. 3). En la dermis papilar se observaron discretos infiltrados linfocitarios de localización preferentemente perivascular.
Fig. 1.--Aspecto de las palmas de la paciente 1 con lesiones papulosas blanquecinas confluentes tras la inmersión de las palmas en agua.
Fig. 2.--Detalle de las lesiones en la palma de la paciente 1.
Fig. 3.--Imagen histológica donde se observan dos acrosiríngeos levemente dilatados. (Hematoxilina-eosina, x20.)
Caso 2
Una mujer de 21 años, sin antecedentes personales de interés, consultó en nuestro servicio para valorar unas lesiones que aparecían en las palmas de las manos desde hacía 5 años tras sumergir las mismas en el agua. Las lesiones duraban escasos minutos y desaparecían espontáneamente. En la exploración física, con las manos secas no se observaba ninguna lesión en las palmas. Tras la introducción de las manos en agua tibia durante unos pocos segundos, se objetivó la aparición de pápulas blanquecinas de aspecto edematoso que confluían formando placas que llegaban a ocupar gran parte de la palma. Se realizó una biopsia de una de estas lesiones, cuyos hallazgos histopatológicos únicamente consistían en una ligera dilatación de los acrosiringios.
En ambos casos se instauró tratamiento con clorhidrato de aluminio al 18 % en solución hidroalcohólica, produciéndose una mejoría del cuadro con 2-3 aplicaciones semanales.
DISCUSION
La acroqueratodermia siríngea acuagénica se manifiesta como pápulas y placas blanquecinas o amarillentas, translúcidas y aplanadas, localizadas en las zonas de presión o traumatismo de palmas y/o plantas y en ocasiones en las caras laterales de los dedos de las manos. La afectación suele ser simétrica y bilateral, y es característica la ausencia de síntomas. La histología es inespecífica, observándose una ligera dilatación del acrosiringio 1,3. El origen es desconocido, aunque se ha especulado que la fricción y la sudoración podrían tener un papel etiopatogénico, así como un aumento en la capacidad de absorción de agua por parte de la capa córnea. La dilatación del conducto sudoríparo aparecería como un mecanismo compensatorio o reactivo. También se ha considerado la posibilidad de que se trate de una variante de queratodermia punctata familiar. Hasta el momento se han descrito 16 casos 1-12.
Onwukwe et al 7 describieron fenómenos de atopia tanto en el enfermo con acroqueratodermia siríngea acuagénica como en familiares de primer grado; sin embargo, en el resto de los casos descritos hasta ahora, no hemos encontrado esta relación. Se puede asociar o no a hiperhidrosis, afectar a manos y pies y tiende a aparecer en la adolescencia. También se ha publicado un caso de queratodermia acuagénica en un niño 8. La evolución en la mayoría de los casos parece ser a la involución espontánea. Recientemente se ha publicado un caso de queratodermia acuagénica siríngea inducido por celecoxib, un inhibidor de la COX-2, que parece aumentar la retención de sodio y, por tanto, de agua, en los queratinocitos, provocando la citada clínica 9. Los hallazgos clínicos e histológicos que con más frecuencia se encuentran en la acroqueratodermia acuagénica siríngea se detallan en la tabla 1.
Se ha observado mejoría de este cuadro con el tratamiento con cloruro de aluminio al 20 % en alcohol etílico (Dry Sol®) solución, aunque no se conoce el mecanismo de acción de este medicamento y no se puede descartar que la mejoría haya sido debida a involución espontánea de la enfermedad. La pauta de administración es similar a la utilizada en la hiperhidrosis, consistente en aplicaciones diarias durante 2 semanas, y luego dos veces por semana para evitar sequedad excesiva.
Correspondencia:
Jorge Angulo. Servicio de Dermatología.
Fundación Jiménez Díaz.
Avda. Reyes Católicos, 2.
28040 Madrid. España.
janguloss@hotmail.com
Recibido el 1 de junio de 2005.
Aceptado el 13 de marzo de 2006.






