Varón de 49 años, sin antecedentes médicos o quirúrgicos de interés, consultó por una lesión localizada en la piel del área pectoral derecha de al menos dos años de evolución. La lesión era asintomática y no había aumentado de tamaño ni había presentado otros cambios, aunque refería molestias con el roce, motivo por el cual solicitaba su exéresis.
Exploración físicaSe apreciaba una lesión tumoral solitaria de 15 mm de diámetro localizada en la región del tórax. Presentaba un color similar al de la piel circundante, con una consistencia firme y un centro de aspecto crateriforme y queratósico (fig. 1).
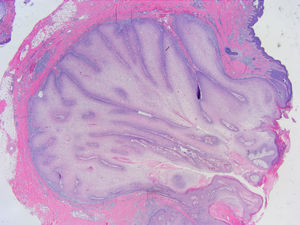
HistopatologíaSe observa una tumoración de origen epitelial, endofítica, ramificada, de aspecto folicular, con unos bordes netos, compuesta por unas células claras sin atipia, que no alcanza los bordes de resección (fig. 2).
Exploraciones complementariasEn el estudio dermatoscópico se apreciaba un tumor con un área central de aspecto queratinizante y unas áreas amarillentas irregulares. En la periferia se visualizaban unos vasos radiales finos y algunas telangiectasias finas mal enfocadas (fig. 3).
¿Cuál es el diagnóstico?
DiagnósticoQueratosis folicular invertida.
EvoluciónSe efectuó una exéresis completa de la lesión, sin haber constatado recidiva durante el seguimiento.
ComentarioLa queratosis folicular invertida es un tumor benigno poco frecuente, originado en el infundíbulo folicular. Suele presentarse como un nódulo o pápula únicos, localizados habitualmente en el polo cefálico (principalmente párpado, nariz, labio superior y mejilla) y que se observa de forma más frecuente en varones de edad avanzada1,2.
El análisis histológico de la lesión revela la presencia de una tumoración endofítica, a modo de cono invertido, que se origina de la porción infundibular del folículo piloso y que forma una masa lobulada de epitelio de la vaina folicular que se extiende hacia la dermis. La parte periférica del mismo está compuesta por varias filas de células de aspecto basalioide. En la parte central, se aprecian unas células basalioides, de menor tamaño, mezcladas con unas células queratinizantes y con perlas córneas. La lesión puede acompañarse de fibrosis, un infiltrado inflamatorio crónico o un aumento de la vascularización3.
Algunos autores la consideran una variante de una queratosis seborreica o de una verruga vulgar, mientras que otros la clasifican como una entidad independiente considerando su origen folicular2. Se ha especulado con la posibilidad de que se trate de una lesión provocada por el papilomavirus humano (VPH)1. La presencia de esta lesión podría constituir un marcador del síndrome de Cowden, sobre todo en aquellos casos de aparición múltiple4.
Su diagnóstico diferencial incluye los tumores de aspecto queratinizante, como el carcinoma escamoso cutáneo y el queratoacantoma, así como otras entidades en la variante de queratosis folicular pigmentada como el carcinoma basocelular pigmentado, queratosis seborreica, verruga vulgar o incluso melanoma2. El diagnóstico suele establecerse tras el estudio histológico de la muestra remitida tras sus exéresis.
El hallazgo dermatoscópico más común en pacientes con queratosis folicular invertida es el patrón queratoacantoma-like, con un área central queratinizada con vasos en horquilla de disposición radial. La presencia de un área central blanquecino-amarillenta con vasos periféricos de disposición radial y/o glóbulos blanquecinos o rojos también han sido descritos5.
El tratamiento más común es la exéresis quirúrgica, aunque se han descrito casos de resolución completa tras la aplicación de imiquimod 5%1. La recidiva tras su exéresis completa es muy infrecuente.
FinanciaciónEste trabajo no ha recibido ningún tipo de financiación.
Conflicto de interesesLos autores declaran no tener ningún conflicto de intereses.
Al Dr. José Luis Rodríguez Peralto, por su colaboración imprescindible para el diagnóstico y descripción histopatológicos del caso.





