INTRODUCCION
La telangiectasia nevoide unilateral se caracteriza por lesiones vasculares telangiectásicas de distribución segmentaria, clásicamente atribuidas a estados de hiperestrogenismo. A este cuadro se le atribuye una baja frecuencia, pero se han descrito múltiples casos en un corto período de tiempo. Probablemente esté infradiagnosticada porque los pacientes no acuden a la consulta del dermatólogo al tratarse de un proceso puramente estético o bien porque es confundida con procesos de clínica similar. En la génesis de este proceso pueden influir factores neurales1 o genéticos, por su distribución en mosaico2,3.
DESCRIPCION DEL CASO
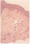
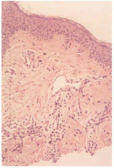
Una mujer de 22 años acudió a la consulta por lesiones cutáneas asintomáticas de 3 años de evolución. Presentaba telangiectasias que afectaban a la zona maxilar inferior y lóbulo del pabellón auricular izquierdos, y no desaparecían ni a la vitropresión ni a la digitopresión (fig. 1). La anatomía patológica mostró una epidermis de aspecto normal. En la dermis, la estructura del colágeno no mostraba anomalías, y se observaban capilares dilatados con monocapa de endotelio de aspecto ortotópico, sin infiltrado inflamatorio acompañante en dermis media (fig. 2). La inmunohistoquímica para receptores de estrógenos y progestágenos fue negativa.
Fig. 1.--Lesiones telangiectásicas de 3 años de evolución.
Fig. 2.--Vasos dilatados con endotelio de aspecto normal.
DISCUSION
La telangiectasia nevoide unilateral se caracteriza por telangiectasias y arañas vasculares unilaterales de distribución segmentaria. Hasta el 80 % de los casos descritos se localizan en territorio trigeminal y entre las metámeras C3 a T14. La mayoría de los casos se han descrito en mujeres y puede ser congénita o adquirida. Aunque el proceso se ha relacionado con estados de hiperestrogenismo5-7, hay un grupo importante de pacientes en los que éste no se ha comprobado y mostraban asociación con hepatitis activa por virus de la hepatitis C8, aparición congénita6,9-12, pubertad masculina13,14 y alcoholismo sin cirrosis15.
La telangiectasia nevoide unilateral aparece de forma esporádica y sin ningún patrón hereditario comprobado. Wilkin et al6 describieron el caso de un paciente de 83 años con la enfermedad, al igual que dos de sus nietas y una bisnieta, pero este hecho podría responder a un patrón de herencia paradominante2.
Dado que la mayoría de los casos de telangiectasia nevoide unilateral siguen un patrón en líneas de Blaschko, el proceso parece corresponder a un mosaicismo, de modo que un clon de células cutáneas respondería a una serie de factores, entre ellos los estrógenos, que desencadenarían una proliferación y dilatación vascular a ese nivel.




