INTRODUCCION
Las mastocitosis son un grupo de entidades de origen desconocido caracterizadas por la proliferación e infiltración tisular por mastocitos.
El órgano más comúnmente afectado por estos trastornos es la piel, seguido de la médula ósea, hueso, ganglios linfáticos, tubo digestivo, hígado y bazo1,2.
Presentamos un caso de mastocitosis sistémica indolente que mostraba una intensa y llamativa hiperpigmentación cutánea.
DESCRIPCION DEL CASO
Un varón de 46 años con antecedentes personales de tabaquismo, etilismo y enfermedad pulmonar obstructiva crónica fue remitido a nuestro servicio por un oscurecimiento cutáneo progresivo a lo largo de los últimos 8 años, acompañado de prurito. También refería ocasionales cuadros de diarrea autolimitados, por los que nunca consultó a su médico. A la exploración cutánea se objetivaba una hiperpigmentación cutánea eritematopardusca casi generalizada (fig. 1). En algunas zonas, como cara y hombros, se observaban además eritema y telangiectasias (fig. 2). En abdomen y rodillas la piel aparecía engrosada, algo indurada al tacto y con remarcamiento de los surcos cutáneos. Las mucosas se encontraban respetadas. La auscultación cardiopulmonar era normal. A la palpación abdominal se detectó una hepatomegalia de 10 cm acompañada de esplenomegalia de 8 cm. No se palparon adenopatías.
Fig. 1.--Hiperpigmentación generalizada en la espalda.
Fig. 2.--Eritema y telangiectasias con mayor detalle en hombro.
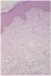
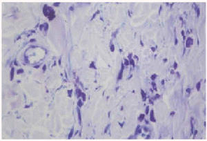
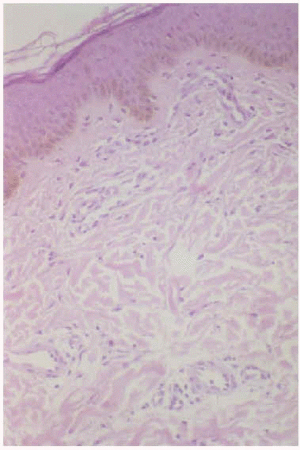
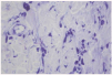
Una biopsia cutánea de la espalda mostró una hiperpigmentación melánica basal en la epidermis (fig. 3). La dermis superficial contenía algunos vasos ectásicos y melanófagos y en la dermis profunda se observaban células de aspecto fusiforme, que presentaban gránulos metacromáticos citoplasmáticos en la tinción de Giemsa (fig. 4).
Fig. 3.--Hiperpigmenatación de la membrana basal y vasos ectásicos en dermis (HE, x100).
Fig. 4.--Células fusiformes con gránulos metacromáticos citoplasmáticos en dermis profunda (Giemsa, x200).
En el hemograma destacaba una leucocitosis de 21.400 cél./μl con neutrofilia. El resto del hemograma y la bioquímica sanguínea fueron estrictamente normales. En la tomografía computarizada toracoabdominal y en la ecografía abdominal se observaron adenomegalias celíacas, retroperitoneales y mesentéricas, así como hepatoesplenomegalia. El mapa óseo mostraba osteosclerosis generalizada. La triptasa sérica total fue de 278 mg/l (valores normales < 13,5 mg/l). El resto de exploraciones solicitadas, incluyendo radiografía de tórax, anticuerpos antinucleares, ácido fólico, vitamina B12, proteinograma, inmunoglobulinas, gammagrafía ósea y estudios hormonales fueron normales.
Se realizó una biopsia de médula ósea en la que se apreció que la celularidad grasa se encontraba reemplazada por un aumento de la celularidad hematopoyética entre la que destacaban áreas de fibrosis, constituidas fundamentalmente por colágena, que en ocasiones configuraban nódulos en torno a estructuras vasculares. En estas áreas y dispersas por el resto de la médula se advertían células alargadas que, con tinción de Giemsa mostraban gránulos metacromáticos (mastocitos). A estas células se sumaban numerosos eosinófilos. Asimismo, las biopsias hepáticas y ganglionares realizadas mostraron infiltración tisular por mastocitos.
Se pautó tratamiento inicialmente con clorhidrato de hidroxicina (25 mg/día) para el control del prurito con buena respuesta.
DISCUSION
Se reconocen cuatro formas de afectación cutánea en la mastocitosis que son mastocitomas, urticaria pigmentosa, mastocitosis cutánea difusa y telangiectasia macularis eruptiva persistente. De ellos, la urticaria pigmentosa es la forma más frecuente de mastocitosis cutánea en adultos.
La presencia de eritema con hiperpigmentación difusa, como sucedió en nuestro paciente, es una presentación infrecuente de la enfermedad, que ha sido raramente descrita3.
Histológicamente, todas las formas de mastocitosis se caracterizan por un aumento de los mastocitos que pueden ponerse de manifiesto con tinciones especiales como Giemsa o azul de toluidina. Son frecuentes la hiperpigmentación de la capa basal y la presencia de eosinófilos.
En la piel, tanto sana como enferma, de los enfermos de mastocitosis cutánea, se ha demostrado un aumento del factor de crecimiento del mastocito (MGF) o ligando de kit4. Esta citocina actúa sobre células que expresan en su superficie el receptor kit, como los melanocitos, mastocitos y células madre de la médula ósea. El ligando de kit induce la proliferación de mastocitos y la liberación de mediadores. Su acción sobre los melanocitos, estimulando tanto su proliferación como la síntesis de melanina parece explicar la pigmentación que aparece en las lesiones cutáneas de mastocitosis y podría haber desempeñado un importante papel en la hiperpigmentación difusa de nuestro paciente.






