INTRODUCCION
La siringometaplasia escamosa ecrina (SEE) es un cuadro cutáneo de etiopatogenia desconocida, caracterizado histopatológicamente por una metaplasia escamosa del epitelio glandular y ductal. No es un hallazgo histológico infrecuente, sino que puede encontrarse en diferentes procesos cutáneos.
La presencia de metaplasia escamosa en pacientes que reciben tratamiento con quimioterapia por diferentes tumores malignos ha llevado a que muchos autores la consideren como una entidad reactiva no inflamatoria dentro del espectro de reacciones de la glándula ecrina inducidas por los agentes quimioterápicos 1.
DESCRIPCION DEL CASO
Un varón de 47 años de edad, fumador de 3 paquetes al día desde los 15 años, fue diagnosticado de carcinoma microcítico de pulmón tipo oat-cell. La tomografía computarizada (TC) reveló la existencia de una gran tumoración en el lóbulo superior del pulmón derecho que comprimía la vena cava superior originando un síndrome de vena cava superior. Se le administró tratamiento paliativo con radioterapia y quimioterapia con diversos ciclos de carboplatino (300 mg/m 2) y etopósido (200 mg/m 2).
Durante el tercer ciclo de quimioterapia se produjo la extravasación intravenosa accidental de una mínima cantidad de los agentes citostáticos en el dorso del pie izquierdo, localización donde se le realizó la infusión intravenosa de los fármacos por haber presentado fenómenos de trombosis venosa profunda en las extremidades superiores. En pocas horas, el paciente presentó en el dorso del pie izquierdo una placa eritematosa, indurada de bordes irregulares, discretamente dolorosa y con un despegamiento epidérmico central que correspondía a la zona más próxima a la extravasación. Una semana más tarde, la lesión había adquirido una coloración pardusca, hiperpigmentada, con formación de una costra central necrótica de pocos milímetros (fig. 1).
Fig. 1.--Placa hiperpigmentada en fase de resolución con una zona central necrótica, a la semana de producirse la extravasación.
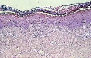
Una biopsia tomada de dicha lesión, puso de manifiesto extensas áreas de necrosis de queratinocitos y la presencia de un infiltrado inflamatorio liquenoide compuesto por linfocitos y algunos eosinófilos de localización perivascular e intersticial (fig. 2). Además, se apreciaba una metaplasia escamosa ecrina con obliteración de los ductos y zonas de necrosis de células ecrinas (fig. 3).
Fig. 2.--Infiltrado liquenoide compuesto por linfocitos y algunos eosinófilos de localización perivascular e intersticial, con extensas áreas de necrosis de queratinocitos. (Hematoxilina-eosina, x25.)
Fig. 3.--Metaplasia escamosa ecrina con obliteración de los ductos con áreas de necrosis en las células ecrinas. (Hematoxilina-eosina, x100.)
Ante estos hallazgos el paciente fue diagnosticado de siringometaplasia escamosa ecrina por extravasación de quimioterapia. Se instauró tratamiento con corticoterapia tópica para aliviar la sintomatología y las lesiones fueron remitiendo de forma espontánea, persistiendo una hiperpigmentación residual.
COMENTARIO
El empleo de las venas periféricas para la administración de fármacos citotóxicos expone a algunos accidentes, que pueden deberse a una toxicidad directa sobre las paredes venosas provocando un colapso de los pequeños vasos y sobre los tejidos circundantes por extravasación, provocando fenómenos de necrosis cutánea, en ocasiones muy difíciles de tratar 2.
La extravasación de los agentes citotóxicos era un accidente frecuente cuando se empleaba para la perfusión una vena periférica, especialmente la de las extremidades, pero en la actualidad cada vez es más raro, debido al uso de los implantes que drenan en una vena profunda mediante el uso de catéteres. Sus consecuencias clínicas van a depender de la cantidad, de la concentración y del tipo de citostáticos utilizados 3. Se pueden producir cuadros clínicos que oscilan desde un simple efecto irritativo hasta extensas necrosis cutáneas que evolucionan a úlceras de curación tórpida y que suelen requerir cirugía reconstructiva.
La SEE es un proceso histopatológico consistente en la metaplasia escamosa de las células cuboideas de los conductos de las glándulas sudoríparas ecrinas 4. Se trata de una respuesta reactiva inespecífica del epitelio ductal ecrino a diversos procesos cutáneos como tumores (carcinoma epidermoide 5, queratoacantoma 6), infecciones (siringitis herpética 7) o procesos inflamatorios (pioderma gangrenoso, paniculitis 8, granuloma anular elastolítico 9), pues estas células metaplásicas soportan mejor las condiciones adversas locales. También se han descrito casos en relación con cuadros de fototoxicidad por tratamientos con benoxaprofeno 10 o 2,3,7,8 tetraclorodibenceno-p-dioxina 11 en casos de fitofotodermatosis 12 o en úlceras por quemaduras 13. Excepcionalmente se ha observado como forma primaria no asociada a ningún trastorno subyacente 14. La mayoría de los casos descritos en la literatura médica aparecen en el contexto de tratamientos antitumorales con agentes citostáticos. Este elevado porcentaje de casos no parece tener una especial predisposición por un fármaco determinado ni por un tipo de tumor en concreto 15. En algunos casos los autores señalan la coexistencia de hallazgos de SEE con datos de hidradenitis neutrofílica aguda, por lo que se ha sugerido que ambos son dos polos de una misma entidad 16.
Etiopatogénicamente la hipótesis más aceptada es la que defiende que esta metaplasia ductal se debe a un mecanismo tóxico local asociado con la concentración y la excreción del agente citotóxico por el sudor 17, provocando una toxicidad directa sobre las células canaliculares, ya que existen evidencias de que algunos agentes alquilantes alcanzan elevadas concentraciones en las glándulas sudoríparas 18. Otro de los mecanismos responsables de esta metaplasia estaría relacionado con la extravasación del agente quimioterápico 13,19 como ocurrió en nuestro paciente.
Clínicamente las lesiones cutáneas de SEE consisten en un exantema inespecífico formado por pápulas y placas eritematoedematosas confluyentes que se acompañan de vesículas y de ampollas, localizadas principalmente en las zonas de mayor número de glándulas sudoríparas (palmas, plantas, axilas e ingles) y que aparecen en un intervalo de tiempo variable desde la administración del fármaco.
En el caso que nos ocupa el paciente sólo presentaba lesiones en la zona de extravasación de la quimioterapia, sin afectación de otras localizaciones típicas de los casos asociados a quimioterapia. Dada la rápida interrupción de la perfusión se produjo una mínima extravasación de los citostáticos, que podría justificar la ausencia de necrosis cutánea y la aparición de una respuesta inespecífica como es la SEE ante una agresión a la piel. Debido a la escasa sintomatología que presentaba el paciente, la gravedad del cuadro oncológico y teniendo en cuenta que es una dermatosis autolimitada, no se realizó ningún cambio en el protocolo terapéutico oncológico. Se optó por la implantación de un catéter central para evitar otros fenómenos de extravasación, teniendo en cuenta el daño que presentaba en las venas periféricas de las extremidades.





