INTRODUCCIÓN
El síndrome de Lassueur-Piccardi-Graham-Little es una entidad infrecuente descrita por Graham-Little en 1915, que se caracteriza por la presencia de hiperqueratosis folicular y de una alopecia cicatricial de cuero cabelludo. A la descripción original otros autores han añadido una alopecia no cicatricial de axilas y pubis y lesiones clásicas de liquen plano (1, 2).
Se ha descrito con más frecuencia en mujeres entre la cuarta y séptima décadas. Su etiopatogenia es desconocida, aunque se han implicado factores hormonales, estrés neuropsicológico, déficit de vitamina A (3), e incluso se le ha acreditado un posible origen psoriásico (4).
Dentro del cuadro clínico, la alopecia cicatricial de cuero cabelludo suele preceder en meses o años al resto de los síntomas, siendo la expresividad clínica de éstos muy variable (1, 5).
DESCRIPCIÓN DEL CASO
Varón de 41 años de edad con antecedentes de HTA en tratamiento con cilazapril (inhibidor del enzima convertidor de la angiotensina).
Consultó por la aparición de lesiones hiperqueratósicas foliculares (Fig. 1) en tronco, abdomen y grandes pliegues con caída del vello a la tracción en las zonas citadas, así como pequeñas placas de alopecia pruriginosas en cuero cabelludo (Fig. 2). Estas placas alopécicas tenían una base eritematosa brillante, con una fina descamación superficial y tapones córneos en los márgenes.
FIG. 1.--Pápulas hiperqueratósicas foliculares en tórax, algunas centradas por un pelo de escasos milímetros.
FIG. 2.--Placa de alopecia de bordes irregulares con base eritematosa brillante y fina descamación superficial.
Distribuidas de forma difusa por tronco y abdomen, presentaba numerosas pequeñas pápulas queratósicas foliculares como tapones córneos, muchas de ellas centradas por un pelo que se desprendía fácilmente a la tracción. En zonas más pilosas, como cara anterior de tórax, tenía áreas alopécicas de gran tamaño. Esta pérdida de vello era muy manifiesta a nivel de axilas y pubis, donde se observaban además lesiones pigmentadas residuales (Fig. 3).
FIG. 3.--Pérdida manifiesta de vello en pubis con pápulas hiperqueratósicas foliculares y lesiones pigmentadas residuales.
No precisaba el tiempo de evolución de las lesiones ni la secuencia temporal de las mismas.
Presentaba además lesiones pustulosas aisladas en abdomen y grandes pliegues, cuya resolución daba lugar a lesiones hiperpigmentadas de aspecto cicatricial.
El resto de la exploración fue normal, no observándose afectación de mucosas ni de uñas.
Se realizaron dos biopsias:
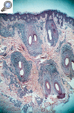
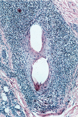
--En una de ellas, obtenida de una de las lesiones de hiperqueratosis folicular, se observaba un folículo dilatado relleno de queratina laminar compacta con restos de tallo piloso en la porción distal y con un discreto infiltrado linfocitario. En uno de los cortes de la pieza no había infiltrado linfocitario, en dermis media había un granuloma de cuerpo extraño en torno a tallos pilosos y junto a restos de músculo erector.
--La otra biopsia fue tomada de una de las placas de alopecia de cuero cabelludo. Presentaba un infiltrado linfohistiocitario perifolicular que afectaba a los dos tercios superiores de los folículos (Fig. 4 A), destruyendo la capa basal de la vaina externa folicular con formación de cuerpos coloides (Fig. 4 B).
FIG. 4.--A: Infiltrado linfohistiocitario perifolicular que afecta a los dos tercios superiores de los folículos. B: Destrucción de las capas periféricas de la vaina externa por el denso infiltrado linfocitario.
Los estudios bioquímicos cursaron dentro de la normalidad; la serología para hepatitis B, C y el estudio de autoinmunidad fueron negativos.
DISCUSIÓN
Pringle en 1895, tras describir un caso que cursaba con lesiones típicas de liquen plano y otras de hiperqueratosis folicular, acuñó el término de liquen plano pilar (6, 7). Años más tarde, en 1915, Graham-Little describió el caso de un paciente que le había remitido su compañero Lassueur y que años antes había sido publicado por Piccardi, en cuya descripción usó los términos de folliculitis decalvans et atrophicus y de lichen spinulosus et folliculitis decalvans, que hacían referencia a los componentes del cuadro. Tras observar casos similares con afectación mucosa sugestiva de liquen plano llegó a la conclusión de que se trataba de una variante folicular de éste (6). Poco después Feldman corroboró esta teoría y denominó a la misma entidad lichen planus acuminatus et atrophicus.
A mediados del siglo pasado, Silver y cols. (6) realizaron un estudio retrospectivo de 105 pacientes intentando unificar la nomenclatura existente hasta entonces, planteando que los distintos términos no eran más que una descripción sindrómica que habían establecido los distintos autores y concluyeron denominando a esta entidad liquen plano folicular, etiquetándola de variante folicular de liquen. Tras esta unificación de terminología algunos autores (7) distinguen una forma clínica aguda, caracterizada por presentar lesiones de liquen plano en piel o mucosas, lesiones espinulosas foliculares, y un curso corto, y una forma crónica, que presentaría lesiones de liquen plano en piel o mucosas, lesiones foliculares queratósicas en el cuerpo y cuero cabelludo, atrofia clínica de anejos y un curso prolongado. En esta forma crónica cualquiera de las lesiones descritas puede ser la primera en aparecer y puede ser la única manifestación durante meses o años. Nuestro paciente podría incluirse en este último grupo a pesar de no haber presentado lesiones clásicas de liquen, manifestación que podría retrasarse años.
En la actualidad seguimos encontrando una terminología variada y confusa, y aunque existe una opinión mayoritaria que engloba al síndrome de Graham-Little dentro del grupo del liquen plano folicular, algunos consideran que el liquen plano jugaría un papel importante pero no estrictamente necesario (8). Hemos tomado como ejemplo un texto de referencia como es el Fitzpatrick, donde Daoud y Pittelkow (9) distinguen dentro del apartado de liquen plano una variante folicular del mismo y a la vez dentro de ésta otras variantes como la pseudopelada de Brocq, el liquen plano folicular tumido, el liquen planoporitis, la alopecia fibrosante frontotemporal de mujeres postmenopáusicas y el síndrome de Graham-Little. Para corroborar la relación entre los dos procesos la mayoría de los autores se apoyan en los datos clínicos, ya que muchos de estos pacientes acaban desarrollando lesiones clásicas de liquen, así como en los estudios de histopatología e inmunofluorescencia directa, que recuerdan a los observados en esta entidad.
Ciertos hallazgos etiopatogénicos parecen apoyar más aún esta relación, como es la descripción de un síndrome de Graham-Little tras vacunación para el virus de la hepatitis B (10) en un paciente que tras la primera dosis de vacuna desarrolló lesiones clásicas de liquen en piel y que en la tercera dosis desarrolló placas de alopecia en cuero cabelludo.
No menos interesante resulta establecer el diagnóstico diferencial, que debe plantearse con tres entidades: a) Lupus eritematoso discoide. Se deben buscar otros datos clínicos que parecen estar presentes en un 30% de los casos (11). b) Pseudopelada de Brocq. Se considera el estadio final de una fibrosis folicular en la que el diagnóstico de la enfermedad primaria puede no llegar a realizarse debido a que la afectación inicial del folículo puede ser subclínica. El diagnóstico diferencial se establece a través de una serie de criterios clínicos, histológicos y de inmunofluorescencia directa propuestos por Braun Falco (11-13). c) Keratosis pilaris decalvans. Herencia dominante ligada a X. Inicio en la infancia. Asociación con otras patologías como atopia, hiperqueratosis palmoplantar, distrofia corneal y fotofobia (9, 14).
CONCLUSIÓN
Presentamos un caso de síndrome de Graham-Little que no presentó lesiones clásicas de liquen, aunque el estudio histopatológico puede considerarse superponible al encontrado en esta entidad con afectación limitada al folículo.
Consideramos que el síndrome de Graham-Little es una variante de liquen plano. La aparición de lesiones de liquen en los casos de síndrome de Graham-Little descritos en la literatura no es un hecho casual que se superpone al síndrome, sino que como variante de liquen es una más de sus manifestaciones.







