INTRODUCCION
La sífilis maligna es una manifestación infrecuente de la sífilis secundaria. Cursa con la erupción de lesiones cutáneas en forma de máculas, manchas, pápulas y placas, características de la sífilis secundaria, a las que se añaden pústulas y úlceras cubiertas por costras rupiáceas. Las lesiones se distribuyen de forma generalizada, aunque muestran predilección por la cara y el cuero cabelludo. La clínica cutánea se acompaña de síntomas generales graves, como fiebre alta, malestar e incluso hepatitis aguda. Su aparición es más frecuente en pacientes infectados por el virus de la inmunodeficiencia humana (VIH), por lo que puede plantear serias dificultades diagnósticas. La serología lúetica suele ser positiva, sobre todo en fases tardías. Su espectro clínico se conoce a través de casos esporádicos o pequeñas series. Presentamos el caso de un varón joven diagnosticado de sífilis maligna e infección por VIH.
CASO CLINICO
Varón de 37 años, sin antecedentes de interés, que consulta por lesiones cutáneas de dos meses de evolución y fiebre de hasta 39 grados. Inicialmente fue diagnosticado por su médico de Atención Primaria de varicela. Presentaba lesiones cutáneas vesículo-pustulosas y fiebre. Pasadas 6 semanas las lesiones cutáneas persistían. Se instauró tratamiento con ácido fusídico y aciclovir, ambos por vía oral, durante 5 días sin mejoría. Acudió entonces a valoración en nuestro hospital. En la anamnesis no refería antecedentes de lesiones en genitales ni de enfermedades de transmisión sexual. Contaba relaciones sexuales sin preservativo, con parejas esporádicas, tanto homo como heterosexuales. Interrogado por órganos y aparatos no refería ninguna otra sintomatología.
La exploración física general era normal, salvo por el hallazgo de poliadenopatías palpables, elásticas, no adheridas, de pequeño tamaño, axilares, laterocervicales e inguinales. No aparecían lesiones en la cavidad bucal ni en los genitales. En la piel presentaba pápulas y placas ulceradas, cubiertas por costras necróticas de gran tamaño (hasta 4 cm) (fig. 1). Las lesiones se distribuían por todo el tegumento, con predominio en el tronco, la cara y el cuero cabelludo. Las lesiones afectaban a las palmas (fig. 2), pero no a las plantas.
Fig. 1.--Lesiones costrosas y ulceradas en la cara posterior del tronco y en piernas.
Fig. 2.--Afectación palmar.
Se solicitó estudio analítico de rutina y radiografía de tórax. El hemograma mostraba anemia normocítica normocrómica, ligera leucopenia y plaquetas normales. La bioquímica era normal, salvo un ligero aumento de la creatinfosfocinasa (CPK) y la gammaglutamiltranspeptidasa (GGT). La proteína C reactiva estaba elevada a cifras de 76,2. La radiografía de tórax y la orina fueron normales.
Los diagnósticos diferenciales que se establecieron fueron de varicela, PLEVA (pitiriasis liquenoide y varioliforme aguda) papulosis linfomatoide o sífilis maligna. Se decidió practicar una biopsia cutánea, una serología lúes y para VIH.
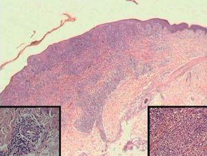
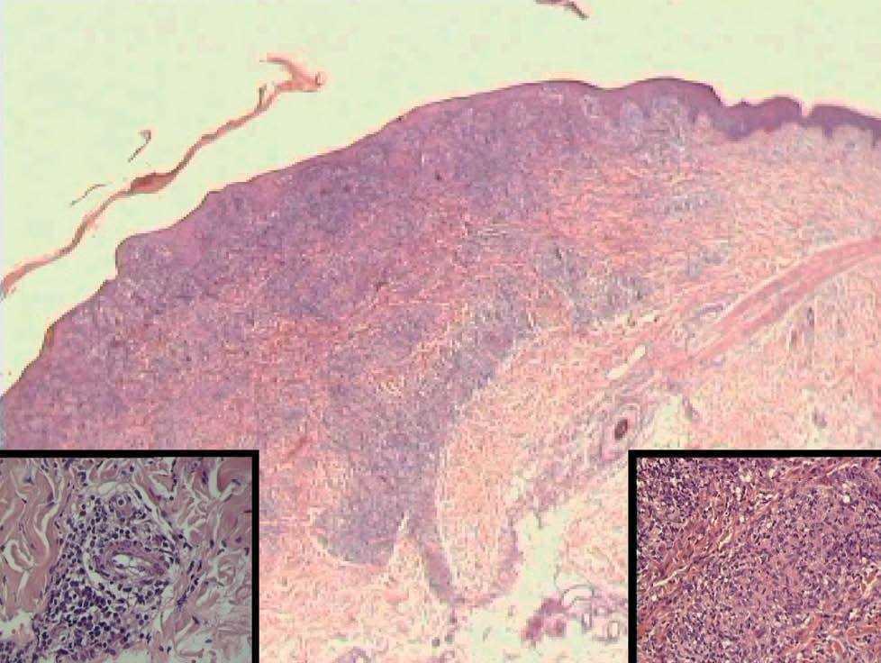
La histología mostraba leve paraqueratosis, con focos de neutrófilos formando costra, abundantes queratinocitos necróticos y un intenso infiltrado inflamatorio, que afectaba a las dermis superficial y profunda. El infiltrado era linfohistiocitario, con acentuación perivascular y presencia de células plasmáticas, produciendo cambios vacuolares basales y escasos focos de espongiosis (fig. 3). Se identificaba tumefacción endotelial en la dermis superficial y ocasionales fenómenos vasculíticos.
Fig. 3.--En la visión panorámica, a pequeño aumento se aprecia un infiltrado inflamatorio en la interfase y en la dermis profunda (Hematoxilina-eosina, x10). Detalle a la izquierda de un endotelio tumefacto con un infiltrado inflamatorio perivascular linfoplasmocitario (H-E, x40). A la derecha se aprecia una lesión granulomatosa en la dermis (H-E, x40).
Las pruebas no treponémicas (RPR) fueron positivas a título 1/32, la inmunoglobulina G (IgG) específica para Treponema Pallidum resultó positiva y las pruebas treponémicas (hemaglutinación) positivas a título 1/2600. La serología VIH también fue positiva.
Se diagnosticó sífilis maligna y se procedió al ingreso del paciente. Siguiendo las recomendaciones del Center for Disease Control (CDC), se pautó tratamiento con penicilina benzatina 2,4 millones de unidades intramusculares semanales, en tres dosis. A las 24-48 de la primera dosis de penicilina presentó una reacción de Jarish-Herxheimer, con picos febriles de hasta 41 grados de cuatro días de duración. Se trató con antitérmicos y medidas físicas. Las lesiones cutáneas tardaron dos meses más en desaparecer, dejando cicatriz
DISCUSION
La sífilis maligna fue descrita en 1859 por Bazin 1. Entonces se consideraba una forma precoz de sífilis terciaria. Fue en el tercer Congreso Internacional de Dermatología de 1896 cuando se clasificó como una forma agresiva de sífilis secundaria 2. El primer caso de sífilis maligna en un paciente infectado por el VIH fue publicado en 1988 por Shulkin et al 3.
La sífilis maligna es una variante infrecuente y ulcerativa de la sífilis secundaria. En la literatura médica también se la denomina sífilis maligna precoz y sífilis nódulo-ulcerativa. Su descripción clínica clásica 4 es la del inicio con lesiones en forma de pápulas, que se transforman en nódulos con pústulas en su superficie. Posteriormente desarrollan un centro necrótico. Las pápulas aparecen en oleadas sucesivas, de forma que coexisten lesiones en diferentes estadios de evolución. Las lesiones se distribuyen por todo el cuerpo, aunque tienden a afectar a la cara y al cuero cabelludo con más intensidad que al tronco y las extremidades. La afectación mucosa es variable. La erupción se acompaña de los síntomas sistémicos típicos de la sífilis secundaria, aunque pueden ser más severos. Dejada evolucionar, a los tres meses las lesiones se hacen monomórficas, y son las úlceras las lesiones predominantes. Romero-Jiménez et al resumen las manifestaciones clínicas de la lúes maligna 5 (tabla 1).
La lúes maligna es 60 veces más frecuente en pacientes infectados por el VIH que en el resto de la población 6. La causa de este aumento de frecuencia no está aclarada. Hay evidencias experimentales claras de que no se produce por cepas más virulentas de Treponema pallidum7. Parece que el factor más importante es el huésped y la alteración de la inmunidad provocada por el VIH. Las alteraciones cualitativas de la inmunidad en pacientes infectados por el VIH parecen alterar el curso clínico de la enfermedad y acelerar el paso a sífilis secundaria 8. La investigación sobre modelos animales parece apoyar esta hipótesis 9, sin embargo, la mayoría de los pacientes no están severamente inmunocomprometidos. El 80 % tiene más de 200 CD4 y la práctica totalidad no han tenido una infección oportunista previa 5.
Cuando la sífilis se presenta de forma atípica, no se suele considerar en el diagnóstico inicial, y es causa frecuente de retraso en el diagnóstico y en el tratamiento. Los diagnósticos que se suelen considerar incluyen varicela, herpes simple y zóster, criptococosis, pitiriasis rosada, meningococemia, eritema multiforme, coccidiomicosis, infección por micobacterias atípicas, toxicodermia, micosis fungoide, PLEVA y papulosis linfomatoide.
La mayoría de los pacientes muestra serologías positivas, incluso a títulos altos, al contrario de la descripción clásica de la sífilis maligna 10. No hay correlación entre los títulos y la severidad o duración de la enfermedad. La histología es similar a la de la sífilis secundaria clásica, con una mayor afectación vascular y un infiltrado más severo y granulomatoso. Las lesiones ulceradas están provocadas por infartos de las arterias de mediano calibre, que se afectan por la infección 11. Es raro visualizar treponemas debido a la intensidad del infiltrado inflamatorio y la pobreza en espiroquetas 2.
Las recomendaciones para el tratamiento de la sífilis publicadas por el CDC no hacen distinciones entre formas clínicas ni entre pacientes infectados por el VIH y no infectados 12. Por ello, el tratamiento más aplicado en la sífilis maligna es la penicilina, con buena respuesta clínica en todos los casos publicados. Estudios recientes avalan dicho tratamiento, encontrando fracasos en raras ocasiones y con la misma frecuencia que en pacientes seronegativos. Sólo la respuesta serológica es menor que en pacientes no infectados por el VIH 13. Los casos tratados con eritromicina o azitromicina, en pacientes alérgicos a la penicilina, no obtuvieron ninguna mejoría clínica y fueron considerados fracasos terapeúticos 14.
La sífilis maligna es una rara variante de lúes que representa un reto diagnóstico para el clínico. En pacientes infectados por VIH con fiebre y lesiones cutáneas ulceradas, hay que considerar la sífilis maligna entre las posibilidades diagnósticas. La práctica rutinaria de serología sífilis en pacientes hospitalizados podría disminuir el retraso en el diagnóstico. La mayoría de lo que hasta ahora sabemos de la sífilis maligna, es a través de casos esporádicos y pequeñas series. Son necesarios más estudios de esta enfermedad para mejorar su conocimiento y manejo.
Declaración de conflicto de intereses
Declaramos no tener ningún conflicto de intereses.
Correspondencia:
M. Fernández Guarino. Servicio de Dermatología. Hospital Ramón
y Cajal. Carretera de Colmenar km 9,100. 28034. Madrid. España.
montsefdez@msn.com
Recibido el 5 de diciembre de 2005.
Aceptado el 17 de mayo de 2006.






