INTRODUCCION
Las reticulohistiocitosis son trastornos poco comunes, de etiología y patogenia desconocidas 1,2 que afectan en la mayoría de los casos a personas adultas. Definidas en etapas iniciales por algunos autores como un proceso neoplásico 3, más recientemente son consideradas un trastorno reactivo 4. En 1982, Goette et al 4 dividieron las reticulohistiocitosis en tres patrones clínicos: reticulohistiocitoma cutáneo solitario (RHCS), caracterizado por ser una lesión cutánea única, en forma de nódulo, que se localiza con más frecuencia en la cabeza o cuello; reticulohistiocitosis multicéntrica (RHCM), que cursa con lesiones múltiples, se acompañan de artritis, y ocasionalmente de otras manifestaciones internas; por último, la reticulohistiocitosis cutánea difusa (RHCD), que es la menos frecuente de las tres y se caracteriza por la presencia de una erupción papular sin que se evidencie afectación sistémica o articular. Los hallazgos histológicos, histoquímicos y ultraestructurales característicos de estas lesiones son idénticos tanto en las formas solitarias como en las múltiples o difusas, por lo que algunos autores las definen como manifestaciones dentro de un mismo espectro de enfermedad 4,5.
A continuación presentamos el caso de un paciente con reticulohistiocitosis cutánea difusa en seguimiento durante un periodo de 2 años.
DESCRIPCION DEL CASO
Un varón de 59 años, sin antecedentes personales ni familiares de interés, presentaba desde hacía 2 años lesiones cutáneas que se iniciaron en el dorso de las manos y fueron evolucionando de forma progresiva hasta afectar antebrazos, piernas y tronco. Las lesiones eran totalmente asintomáticas y no se acompañaban de fiebre ni otras manifestaciones sistémicas asociadas. Desde su aparición las lesiones habían permanecido estables.
A la exploración se podían observar múltiples pápulas eritematosas, de pequeño tamaño (de 1 a 5 mm), diseminadas, con tendencia a confluir en placas, algunas de ellas con patrón anular o arciforme (figs. 1 y 2). No se apreciaba descamación ni otro signo de afectación epidérmica. Las lesiones estaban distribuidas de forma simétrica en miembros y en menor medida tronco, estando respetadas la cabeza y las mucosas. No se palpaban adenopatías.
Fig. 1.--Múltiples pápulas eritematosas diseminadas de pequeño tamaño, confluentes en algunas regiones donde forman placas con patrón anular o arciforme.
Fig. 2.--Detalle de las lesiones en antebrazo.
En la analítica realizada, que incluía hemograma con recuento y fórmula leucocitaria, bioquímica hepática y renal, todos los valores estaban dentro de la normalidad salvo una leve dislipemia.
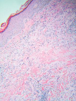
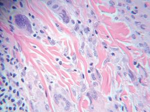
Se le practicó una biopsia en la que la epidermis se encontraba respetada mientras que la dermis estaba ocupada por un denso infiltrado compuesto por linfocitos, histiocitos mononucleares y células gigantes multinucleadas. Estas células eran PAS positivas y presentaban un citoplasma finamente granular que recordaba a la imagen en vidrio esmerilado; algunas tenían vacuolas lipídicas intracitoplasmáticas (figs. 3 y 4).
Fig. 3.--Dermis ocupada por un denso infiltrado de linfocitos y células gigantes, que se tiñen con PAS. (PAS, x10.)
Fig. 4.--Detalle de las células que presentan citoplasma finamente granular (similar a la imagen en vidrio esmerilado) y vacuolas lipídicas intracitoplasmáticas. (PAS, x40.)
Para descartar afectación sistémica o neoplasia oculta, se realizó un estudio de extensión que incluía: tomografía computarizada (TC) toracoabdominal, marcadores tumorales, frotis de sangre periférica y un proteinograma sin que se apreciara alteraciones patológicas.
Se propuso al paciente iniciar tratamiento con PUVAterapia pero lo rechazó. No se consideró oportuno otro tipo de tratamientos, dado el carácter involutivo de la enfermedad en muchas ocasiones y la ausencia de sintomatología. En el seguimiento realizado durante 2 años las lesiones cutáneas han permanecido estables sin que además se aprecien signos o síntomas de afectación sistémica.
DISCUSION
Reticulohistiocitosis, reticulohistiocitoma o granuloma reticulohistiocitario son algunos de los términos que se utilizan para definir un trastorno que puede incluirse dentro de las histiocitosis de clase II o histiocitosis de células mononucleares y otras células no Langerhans 6. El espectro clínico de esta patología abarca desde pacientes levemente afectados por lesiones cutáneas únicas o solitarias hasta otros con afectación cutánea múltiple o difusa con o sin afectación sistémica.
La RHC difusa 4,7,8 se caracteriza desde el punto de vista clínico por la aparición de múltiples pápulas de color marrón-rojizo, de consistencia firme, distribuidas por cara, tronco y extremidades. Estas pápulas tienden a confluir y formar placas que adoptan una morfología anular, serpiginosa o arciforme 4. En la mayoría de las ocasiones son asintomáticas, aunque algunos pacientes pueden experimentar sensación de quemazón o prurito de carácter leve 9.
El examen histológico se caracteriza por un infiltrado dérmico circunscrito, compuesto por abundantes histiocitos y células gigantes multinucleadas, con citoplasma eosinófilo, discretamente granular con apariencia en vidrio esmerilado. Junto a éste pueden verse linfocitos, células plasmáticas, eosinófilos y neutrófilos dispersos. El estudio ultraestructural revela un denso infiltrado dérmico con histiocitos y células gigantes multinucleadas. Algunos de estos histiocitos contienen de forma característica vacuolas lipídicas intracitoplasmáticas pero no hay gránulos de Birbeck. Los cambios epidérmicos son variables y poco llamativos de forma que a veces tan sólo se aprecia un adelgazamiento secundario de la misma.
De las tres formas, la reticulohistiocitosis multicéntrica es la más común. Se caracteriza por presentar en la piel nódulos múltiples, indurados, de pocos milímetros a 2 cm de diámetro, de color amarillento a marrón-rojizo. Estos se encuentran distribuidos de forma simétrica, sobre todo en manos y cabeza aunque también pueden afectar brazos, tronco y piernas. Asimismo, muchos de los pacientes presentan una poliartritis erosiva, grave y progresiva que suele ser simétrica afectando fundamentalmente a articulaciones de las manos, rodillas, muñecas, hombros, codos y tobillos que con los años termina originando una deformidad residual. Las manifestaciones articulares suponen la forma de presentación en el 40-60 % de los casos 10 y se acompañan de sintomatología inespecífica (pérdida de peso, debilidad muscular, mialgias, fiebre, anorexia y adenopatías) hasta en el 30 % de las veces. Esta patología puede afectar a mucosas (entre el 30-50 %) así como a órganos internos como músculo, grasa perineural, estómago, ganglios linfáticos o endocardio 11,12.
Un hecho importante que se debe tener en cuenta es la asociación entre RHCM y neoplasia, que se estima en alrededor del 30 % de los casos 13-16. Se han descrito casos de carcinoma de pulmón, estómago, mama, colon, cérvix, ovario, mesotelioma pleural y linfoma recogidos en dos revisiones 13,15 sin prevalecer un tipo determinado. También se ha asociado con melanoma en un caso 17. Generalmente, la RHCM precede durante meses, incluso años, al desarrollo de la neoplasia, y no se conoce ningún caso de neoplasia que preceda al desarrollo de la misma. El curso de ambas entidades, en los casos publicados, es independiente, por lo que no se considera un síndrome paraneoplásico. Así pues, la RHC puede persistir a pesar de una cirugía con éxito de la neoplasia, o puede involucionar de forma espontánea aún cuando persista el tumor 18,19. Se ha descrito en el contexto de otras enfermedades sobre todo de etiología autoinmune (patología tiroidea, lupus eritematoso sistémico, síndrome de Sjögren o esclerodermia), tuberculosis y otras pero la mayoría de los autores coinciden en señalar que esta asociación es casual 20. Por todo ello, es aconsejable realizar un estudio de extensión para la detección de neoplasia oculta y afectación sistémica así como un seguimiento ya que estos trastornos pueden no manifestarse hasta varios años después.
En cuanto a la actitud terapéutica, existen diferentes opciones aunque ninguna satisfactoria. Éstas incluyen la terapia con inmunosupresores sistémicos (metotrexato, corticoides orales, ciclofosfamida, etc.) 21-23 que puede estar justificada en los casos de afectación articular mutilante o una clínica sistémica grave. En los cuadros donde se encuentra involucrada sólo la piel hay que valorar riesgo-beneficios, ya que son medicamentos no exentos de efectos secundarios. Hay un caso publicado8 de respuesta favorable a la PUVAterapia y existen casos recientes tratados con etanercept o infliximab, si bien son necesarios más estudios para valorar la efectividad de este tipo de medicamentos en estos procesos 24-26. La intervención quirúrgica quedaría restringida a aquellos casos de lesiones sintomáticas únicas o en número escaso, inestéticas o de la neoplasia subyacente. El curso clínico de la enfermedad es variable siendo lo más frecuente la resolución espontánea a los 5-10 años del inicio de la sintomatología.
En conclusión, en el caso presentado, el paciente presenta una clínica que se corresponde con la forma de reticulohistiocitosis cutánea difusa ya que las lesiones cutáneas son múltiples sin que se evidencie artritis ni otras manifestaciones clínicas sistémicas. Algunos autores definen las formas puramente cutáneas como un estadio inicial de la reticulohistiocitosis multicéntrica, en la cual la afectación articular o visceral no ha aparecido aún o todavía no se ha desarrollado.
Declaración de conflicto de intereses
Declaramos no tener ningún conflicto de intereses.
Correspondencia:
María del Carmen Vázquez-Bayo. Servicio de Dermatología M-Q
y Venereología. Edificio de consultas externas, 2.ª planta.
Hospital Universitario Reina Sofía.
Avda. Menéndez Pidal, s/n. 14004 Córdoba. España.
mamenvb@supercable.es
Recibido el 20 de julio de 2005.
Aceptado el 21 de octubre de 2005.






