Sr. Director:
Los quistes del rafe medio (QRM) son lesiones infrecuentes que ocurren como consecuencia de anomalías del desarrollo embriológico. La mayoría de los casos muestra un revestimiento epitelial de tipo urotelial o escamoso, pero se han descrito algunas variantes histológicas más infrecuentes. Una de ellas, referida rara vez en la literatura, se caracteriza por la presencia de melanocitos y pigmento melánico en el epitelio de revestimiento.
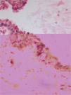
Un niño de 3 años de edad fue enviado a nuestro centro para tratamiento quirúrgico de una tumoración quística en el rafe medio escrotal de dos años de evolución. La lesión era inicialmente un quiste único, pero posteriormente aparecieron otros nuevos a lo largo del rafe medio del escroto, que crecieron y se pigmentaron progresivamente. Todos los quistes eran menores de 1,5 cm de diámetro, blandos, no dolorosos y sin signos de inflamación. Se realizó extirpación completa de la lesión. A la sección de la pieza se identificaba un canal longitudinal de 0,2 cm de diámetro que recorría en su totalidad el fragmento remitido y mostraba varias dilataciones quísticas en su trayecto, la mayor de 1,5 cm. El contenido del canal y de los quistes era un material pastoso amarillento. Histológicamente, tanto el canal como las dilataciones quísticas mostraban un revestimiento epitelial en el que alternaban áreas de epitelio pseudoestratificado cilíndrico (fig. 1) con otras de epitelio plano estratificado queratinizado (fig. 2). Se observaban múltiples áreas con melanina intracitoplasmática epitelial, tanto a nivel basal como en estratos superiores (fig. 3). Además, se observaban algunos melanocitos vacuolados en la capa basal. En algunas zonas se objetivó la presencia de melanófagos subepiteliales aislados junto con un infiltrado inflamatorio mixto moderado. No se evidenciaba secreción por decapitación, células ciliadas, secreción mucosa ni presencia de células mioepiteliales en la pared del quiste. No se observaron atipias citológicas ni mitosis. El diagnóstico histopatológico fue de QRM tipo mixto, variante pigmentada.
El QRM es una lesión rara que puede desarrollarse en cualquier lugar comprendido entre el ano y el meato urinario 1. La región de mayor incidencia es la cara ventral del pene, frecuentemente cerca del glande. El QRM se diagnostica generalmente en las tres primeras décadas de la vida 1. Se han descrito tres formas de presentación clínica: la más frecuente es el quiste solitario, pero también pueden aparecer quistes múltiples o un canal a lo largo del rafe medio 2. Nuestro caso es peculiar, ya que se trata de un canal con múltiples dilataciones quísticas en su trayecto.
Se han propuesto tres teorías sobre la etiopatogenia del QRM: la primera propone que se produce durante la vida embrionaria tras el cierre primario de los pliegues uretrales y genitales, como consecuencia de una evaginación del epitelio uretral seguida de un crecimiento posterior; la segunda postula que la lesión se origina de restos epiteliales derivados del cierre incompleto de los pliegues uretrales 3, 4 y la tercera plantea que estas lesiones podrían deberse a la presencia de glándulas periuretrales de Littre ectópicas dilatadas 3. Coincidimos con Nagore et al en que estos tres mecanismos pueden ser complementarios y no necesariamente exclusivos 5.
Histológicamente se describen tres patrones:
- 1.
1.El tipo uretral, revestido por epitelio columnar pseudoestratificado (70 %).
- 2.
2.El tipo epidermoide, con epitelio escamoso estratificado (10 %).
- 3.
3.El tipo mixto (4,6 %), como el que presenta nuestro paciente, que asocia ambos tipos de epitelio 6.
Además de las anteriores se han comunicado algunas variantes histológicas infrecuentes del QRM 7, 8. La variante pigmentada, a la que corresponde el caso que presentamos, es una de ellas, y en nuestro conocimiento sólo se han publicado tres casos previamente 9, 10. Histológicamente muestra un revestimiento pseudoestratificado columnar, escamoso o mixto, con gránulos de melanina en el citoplasma de las células basales y ocasionalmente en las capas más altas. También se observan melanocitos dendríticos intercalados con las células epiteliales y melanófagos subepiteliales 9, 10.
Aunque durante mucho tiempo se creyó que en los vertebrados superiores de sangre caliente los melanocitos procedentes de la migración de la cresta neural se limitaban a la epidermis y órganos especializados, como el ojo o la piamadre, se ha demostrado su presencia en otras localizaciones como el esófago, la laringe, la próstata, la vagina, el cuello uterino y el epitelio urotelial. La migración de los melanoblastos indiferenciados desde la cresta neural hasta el urotelio explica la etiología de esta variante del QRM 9, 10.
El tratamiento recomendado por la mayoría de los autores para el QRM es la escisión simple seguida del cierre primario, con el fin de prevenir infecciones o síntomas derivados de su localización 4. En nuestro paciente este procedimiento resultó curativo. Hasta la fecha no se han descrito casos de transformación maligna del QRM.
Conflicto de intereses
Declaramos no tener ningún conflicto de intereses.





