El uso de los ultrasonidos (US) en dermatología está ampliamente extendido, especialmente para el diagnóstico de neoplasias malignas y benignas1, además, la utilización del Doppler color y del power Doppler nos permiten evaluar la vascularización del tejido2. En la literatura se han documentado múltiples artefactos del Doppler2. Describimos dos casos de pseudoflujo en el contexto de hidrocistomas cutáneos, que puede llevar a un diagnóstico erróneo. No hemos encontrado reportes previos sobre este artefacto Doppler en tumores cutáneos en la literatura revisada.
CASO 1: presentamos el caso de una mujer de 80 años con una pápula azulada de tiempo de evolución indeterminado, localizada en la mejilla izquierda (fig. 1). La lesión era asintomática. La ecografía mostró una lesión quística hipoecoica subdérmica con un Doppler color que demostraba un flujo turbulento (fig. 2). Se sospechó una ectasia venosa y se realizó una extirpación quirúrgica. El diagnóstico anatomopatológico final fue hidrocistoma.
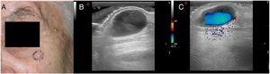
CASO 2: el segundo caso fue un hombre de 72 años con un nódulo translúcido en la sien derecha (fig. 3). El diagnóstico clínico era sugestivo de un hidrocistoma. En la exploración ecográfica también observamos una lesión quística hipoecoica con un flujo turbulento en el Doppler color (fig. 4). El diagnóstico anatomopatológico final fue consistente con el diagnóstico clínico de hidrocistoma.
Chin et al. evaluaron varios hidrocistomas empleando US. Sugirieron que dichas estructuras mostraban una lesión quística con una superficie hiperecoica y un centro hipoecoico (restos de lipofuscina) o un centro ecolúcido (líquido claro)3. Perez-Lopez et al. insistieron en la ausencia de flujo dentro de estas estructuras4. Sin embargo, en nuestros casos hemos visto que a veces estas estructuras pueden mostrar una señal Doppler positiva.
El Doppler color y el power Doppler se emplean para valorar la vascularización de los tejidos; por ello, es tentador, cuando nos encontramos con una señal Doppler positiva, asumir que el color de la imagen corresponde con el flujo sanguíneo. Sin embargo, esta asunción puede conducir a una interpretación errónea2.
El pseudoflujo es un artefacto Doppler relacionado con el movimiento de otro líquido diferente a la sangre en ausencia de una estructura vascular, y se asemeja al flujo real de sangre en el Doppler color o en el power Doppler. La señal del Doppler color o del power Doppler aparecerá mientras se mantenga el movimiento del fluido. Sin embargo, si usamos el análisis espectral, este mostrará un patrón inconsistente con el flujo vascular2.
Histológicamente, los hidrocistomas se caracterizan por presentar un aspecto quístico, con una pared compuesta por epitelio, y una luz que contiene cantidades variables de secreciones. Wortsman et al. informaron recientemente sobre el movimiento del líquido intralesional en una serie de hidradenomas apocrinos, en los que el movimiento del líquido podía detectarse incluso en modo-B, lo que confirma el movimiento del líquido intralesional en este tipo de tumores cutáneos anexiales5.
En nuestros casos, el movimiento del material en el interior del hidrocistoma condujo a una imagen en el Doppler color que puede interpretarse incorrectamente como flujo vascular.
El conocimiento de los artefactos del Doppler color y el power Doppler, y el empleo del análisis espectral son necesarios para evitar los errores interpretativos y mejorar la precisión del diagnóstico2.
FinanciaciónEste trabajo no ha recibido ningún tipo de financiación.
Conflicto de interesesLos autores declaran no tener ningún conflicto de intereses.




