En ocasiones se observan diversas manifestaciones cutáneas en pacientes con enfermedad inflamatoria intestinal (EII); sin embargo, entre dichas lesiones es rara la vasculitis cutánea aislada. Tanto la vasculitis cutánea de vasos pequeños como la poliarteritis nudosa cutánea (PNC) son manifestaciones infrecuentes de la EII1. Presentamos un caso de PNC en una paciente con colitis ulcerosa (CU).
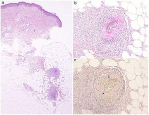
Una mujer de 33 años acudió a la clínica dermatológica aquejada de eritemas dolorosos y entumecimiento en ambas extremidades inferiores; los eritemas habían aparecido tres meses antes. Durante 2,5 años había sufrido de CU (tipo pancolitis) y había sido tratada con mesalazina (ácido 5-aminosalicílico). La enfermedad intestinal estaba bien controlada. La exploración física reveló una livedo racemosa con nódulos dolorosos que afectaban a la cara anterior y posterior de ambas piernas, abdomen y antebrazos (fig. 1). Los datos del laboratorio mostraron funciones hepática y renal normales, el análisis de orina fue normal. Las concentraciones séricas de la proteína C reactiva, de los factores del complemento, de la IgG y del factor reumatoide, estuvieron dentro de los rangos normales, siendo negativos los anticuerpos antinucleares, los autoanticuerpos citoplasmáticos antineutrófilos (ANCA-MPO, ANCA-PR3), la anticardiolipina y el anticuerpo anti-β2-glicoproteína 1 IgG. No se detectó crioglobulina. La muestra de la biopsia presentaba vasculitis necrosante en la dermis inferior sin afectación de los tejidos adyacentes (fig. 2a). Con mayor aumento se pudo observar un depósito fibrinoide creciente en la luz del vaso, infiltrado por neutrófilos y linfocitos (fig. 2b). La inflamación perivascular se localizó en la unión dérmica-subcutánea. La tinción Van Gieson para fibras elásticas mostró una lámina elástica interna parcialmente interrumpida (fig. 2c). La paciente fue tratada con prednisolona en dosis bajas (hasta 30 mg/día [0,6 mg/kg]), clorhidrato de sarpogrelato (300 mg/día) y nicotinato de tocoferol (300 mg/día); sin embargo, el entumecimiento fue resistente al tratamiento. La terapia con minipulsos (metilprednisolona 500 mg/día durante tres días consecutivos) fue eficaz frente al dolor, que recurrió tras la interrupción de la medicación por embarazo. Después del parto se reiniciaron los agentes antiplaquetarios y la vitamina E; sin embargo, la paciente rechazó el tratamiento con esteroides orales. El entumecimiento todavía persiste.
En el caso que presentamos, se desarrolló una arteritis de pequeño tamaño (150 μm de diámetro) en la unión dermosubcutánea. La tinción de Van Gieson para fibras elásticas puso de manifiesto la arteritis y una vasculitis que no involucraba a los vasos venosos. Los ANCA fueron negativos y un examen minucioso de la nariz, el tracto respiratorio, el riñón y el pulmón descartó la granulomatosis con poliangitis y la poliangitis microscópica. En ocasiones diversos desencadenantes, como las infecciones víricas y los fármacos o enfermedades sistémicas, se asocian con la PNC. Se sugirió que la vasculitis leucocitoclástica asociada a la EII era causada por inmunocomplejos circulantes2,3. Hasta la fecha únicamente se ha informado de unos pocos casos de PNC asociados a la EII; no obstante, en comparación con la enfermedad de Crohn, rara vez se informan casos de CU. Actualmente se desconocen los motivos por los que el número de casos de CU es significativamente menor que el de la enfermedad de Crohn. Por lo que sabemos solo se han descrito cinco casos, incluido el presente, de CU asociado con PNC1,4-6 (tabla 1). Los pacientes eran un hombre y cuatro mujeres. Todos ellos, menos uno, fueron diagnosticados de CU antes de la aparición de la PNC y el intervalo de tiempo transcurrido desde el diagnóstico de CU al de la PNC osciló entre los 10 meses y los 19 años. Las manifestaciones cutáneas fueron erupción macular, nódulos eritematosos y livedo racemosa. Otros síntomas sistémicos fueron artritis/artralgia (n = 3), mialgia (n = 2) y neuropatía periférica (n = 1). Por el contrario, la PNC no evolucionó en paralelo al empeoramiento de las enfermedades intestinales. Los pacientes fueron tratados con terapia pulsátil con metilprednisolona, prednisolona oral, inmunosupresores (ciclofosfamida, metotrexato, azatioprina, micofenolato de mofetilo), vasodilatadores y agentes antiplaquetarios. Uno de los casos recayó durante el seguimiento4. En el presente caso pudimos hacer un seguimiento de la paciente durante cuatro años y el entumecimiento no desapareció del todo. Se ha especulado sobre la patogenia compartida entre ambos trastornos, con una respuesta inmunitaria anormal a algún patógeno específico, con una etiología común del inmunocomplejo o con estados hipercoagulables; sin embargo, el mecanismo exacto sigue siendo incierto ya que el número de casos descritos de asociación entre la PNC y la CU es reducido. A pesar de ello, debemos tener presente que la EII es una enfermedad sistémica rara en pacientes con PNC. Además, los médicos deben tener en cuenta a la vasculitis cutánea en el contexto de la EII, conjuntamente con el pioderma gangrenoso o el eritema nudoso.
Características clínicas de los pacientes con poliarteritis nodosa cutánea (PNc) y colitis ulcerosa (CU)
| Caso | Edad/sexo | Tiempo entre la PNC y la CU | Artralgia/Artritis | Mialgia | Neuropatía periférica | Tratamiento | Referencia |
|---|---|---|---|---|---|---|---|
| 1 | 48/H | 19 años | + | + | - | PSL, CPA | 4 |
| 2 | 69/M | 6 años | + | + | - | PSL, CPA | 5 |
| 3 | 9/M | 10 meses | + | - | - | PSL | 6 |
| 4 | 26/M | 9 años | - | - | - | PSL, MTX, AZA, MMF | 1 |
| 5 | 33/M | 2,5 años | - | - | + | PSL, vasodilatadores | Caso presente |
PSL: prednisolona; CPA: ciclofosfamida; MTX: metotrexato; AZA: azatioprina, MMF: micofenolato de mofetilo.
Los autores declaran no tener ningún conflicto de intereses.





