HISTORIA CLINICA
Un varón de 11 años de edad, sin antecedentes de interés, consultó por la presencia de dos lesiones asintomáticas de tres años de evolución en el prepucio. El hermano pequeño, de 2 años de edad, presentaba dos lesiones similares en la misma localización y de menor tamaño, que según referían los padres habían observado desde hacía 4 meses.
EXPLORACION FISICA
En la exploración del hermano mayor se observaban dos pápulas hemisféricas de 0,5 cm de diámetro, del color de la piel circundante y con umbilicación central, que se disponían de manera simétrica en la cara ventral del prepucio (fig. 1). El hermano pequeño presentaba, en la misma localización, dos lesiones similares de menor tamaño y con una umbilicación central menos llamativa (fig. 2).
Fig. 1.--Pápulas hemisféricas del color de la piel circundante y con umbilicación central, que se disponen de manera simétrica en la cara ventral del prepucio en el niño mayor.
Fig. 2.--Pápulas del color de la piel circundante con umbilicación muy poco llamativa en su hermano de 2 años de edad.
EXAMENES COMPLEMENTARIOS
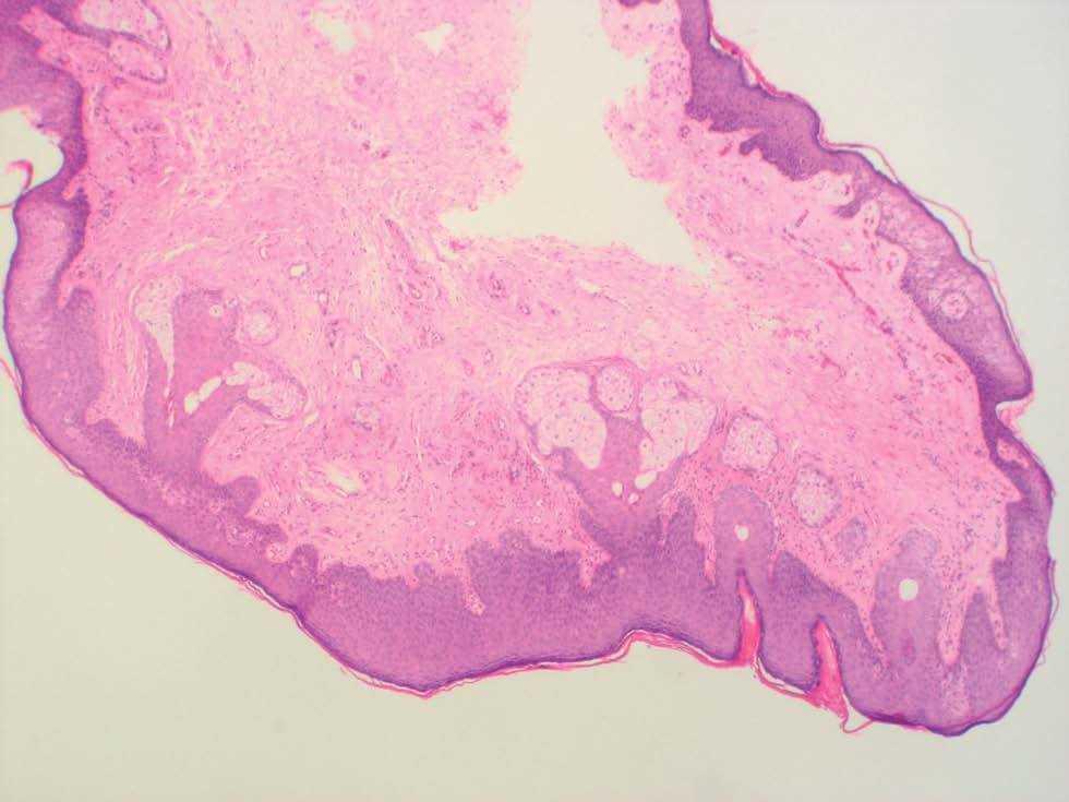
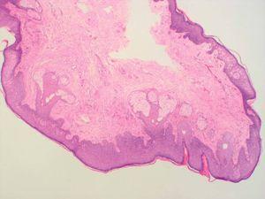
Se realizó exéresis y biopsia de las lesiones en ambos pacientes (fig. 3).
Fig. 3.--Glándulas sebáceas maduras que desembocan directamente en la superficie cutánea con áreas de hiperplasia epidérmica suprayacente.
DIAGNOSTICO
Glándulas sebáceas ectópicas.
HISTOPATOLOGIA
El estudio anatomopatológico mostró la presencia de glándulas sebáceas maduras que desembocaban directamente en la superficie cutánea. A su vez se observaban áreas de hiperplasia epidérmica suprayacente (fig. 3). Esta fue la imagen histológica que se apreció en tres de las cuatro lesiones extirpadas. Una de las dos que le fueron extirpadas al hermano pequeño resultó ser un quiste de inclusión epidérmico.
EVOLUCION Y TRATAMIENTO
Con la sospecha clínica inicial de mollusco contagioso se intentó efectuar un curetaje, que no fue posible, por lo que se procedió a la extirpación quirúrgica mediante sacabocados de todas las lesiones. No se creyó oportuno la realización de ninguna otra prueba complementaria. En las revisiones clínicas posteriores no se ha observado la recidiva de ninguna de las lesiones extirpadas.
COMENTARIO
La presencia de glándulas sebáceas ectópicas en la mucosa oral y genital es un hecho bien conocido en adultos, pero muy raro en la infancia. Hasta en un tercio de los primeros se pueden apreciar lesiones compatibles con este diagnóstico a lo largo del cuerpo del pene 1. Se ha sugerido que la actuación de determinados estímulos hormonales sobre las glándulas sebáceas podría explicar el aumento de su incidencia con la edad 2. Habitualmente en estas localizaciones adoptan la morfología de micropápulas amarillentas, únicas o múltiples, no umbilicadas, que en ocasiones adquieren una disposición lineal 3. Suelen respetar el glande, al contrario que las pápulas perladas del pene, muy frecuentes en adultos jóvenes tras la pubertad, y que adquieren una disposición en múltiples hileras circunferenciales alrededor de la corona del glande.
Histológicamente las únicas diferencias con las glándulas sebáceas normales son la fina capa epitelial que las recubre, resultando casi transparentes a la exploración clínica, y la ausencia de folículos pilosos en los que desembocar, con lo que se abren directamente a la superficie cutánea.
Presentamos un caso en el que tanto sus características clínicas como histológicas resultan atípicas. Clínicamente no se trata de micropápulas amarillentas, sino de lesiones de mayor tamaño, umbilicadas y no pigmentadas. Histológicamente las glándulas no presentan una hiperplasia llamativa, lo cual no es de extrañar en el caso de una glándula sebácea ectópica, pero sí resulta atípico el hecho de presentar una hiperplasia epitelial suprayacente.
Todos estos datos, junto con la coexistencia de lesiones similares en los dos hermanos, hacen difícil el diagnóstico inicial y plantean serías dudas diagnósticas con otra lesión mucho más frecuente como sería el caso del molluscum contagioso. Realizando una revisión de la literatura hemos encontrado un solo caso, en un niño de la misma edad, con una presentación clínica e histológica similar 4, pero intuimos que se trata de una presentación clínica no tan infrecuente, incluso durante la infancia.
Dado que se han implicado mecanismos hormonales en la aparición de esta patología durante la edad adulta, la coexistencia de estas lesiones en dos hermanos a una edad tan temprana podría traducir una leve alteración hormonal subyacente.
En conclusión, la presencia de glándulas sebáceas ectópicas en mucosas es un hecho frecuente y, aunque su incidencia aumenta claramente con la edad, no es raro encontrarlas durante la infancia, por lo que debemos estar atentos ante la posibilidad de presentaciones atípicas simulando otras lesiones mucho más frecuentes.
Correspondencia:
Javier Mataix Díaz.
Servicio Dermatología.
Hospital General Universitario de Alicante.
Pintor Baeza, s/n. 03010 Alicante. España.
mataixdiaz@hotmail.com
Recibido el 29 de agosto de 2005.
Aceptado el 13 de febrero de 2006.





