El diagnóstico de las enfermedades del cabello y el cuero cabelludo se basa, en la mayoría de las ocasiones, en el reconocimiento de signos clínicos. A veces dichos signos no son característicos y tenemos que recurrir a técnicas más invasivas como el tricograma o la biopsia1. El estudio histológico del cuero cabelludo es a menudo difícil de interpretar y a veces no concluyente. Por otro lado, la dermatoscopia es una técnica diagnóstica no invasiva que facilita el diagnóstico de muchas de las alteraciones del pelo2.
En este artículo comentamos un caso de una foliculitis decalvante que desarrolló un osteoma cutáneo (OC) secundario en las zonas de alopecia cicatricial.
Varón de 45 años de edad, sin antecedentes personales de interés, en seguimiento por el servicio de dermatología debido a una alopecia cicatricial en cuero cabelludo de 9 años de evolución. Había realizado tratamiento, sin éxito, con corticoides y antibióticos tópicos, e hidroxicloroquina oral.
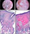
A la exploración física observamos una placa de alopecia cicatricial que afectaba al vértex y áreas frontal y parietal. En los márgenes de la placa presentaba pápulas y pústulas foliculares, y foliculitis en penacho (fig. 1). A la dermatoscopia apreciamos politriquia, pústulas foliculares y áreas rojo-lechosas con pérdida de orificios foliculares (fig. 2A). El estudio histopatológico mostró en dermis un infiltrado inflamatorio crónico granulomatoso histiocitario perifolicular. En dermis reticular dicho infiltrado ocupaba la localización de los tallos pilosos (fig. 2B).
A) Imagen dermatoscópica. Politriquia, pústulas foliculares y áreas rojo-lechosas con pérdida de orificios foliculares. B) En dermis, infiltrado inflamatorio crónico granulomatoso histiocitario perifolicular (hematoxilina-eosina ×100). C) Imagen dermatoscópica. Áreas blanquecinas. D) Tejido óseo maduro con médula ósea inmerso en colágeno dérmico y tejido celular subcutáneo (hematoxilina-eosina ×100).
En el área de alopecia cicatricial presentaba numerosas lesiones papulosas blancas de menos de 2mm de diámetro (fig. 1), cuya imagen dermatoscópica evidenciaba únicamente áreas blanquecinas (fig. 2C). El estudio histopatológico mostró tejido óseo maduro con médula ósea inmerso en el colágeno dérmico y el tejido celular subcutáneo (fig. 2D). El TAC craneal evidenció lesiones cutáneas puntiformes de alto valor de atenuación en relación con calcio (fig. 3A). Cuanto más alto era el corte más lesiones se visualizaban. En la imagen en 3D se veían las lesiones a nivel frontal y parietal (fig. 3B). Y en otra más superficial se apreciaba su localización a nivel cutáneo (fig. 3C). Los estudios analíticos incluido Ca (Ca en orina de 24h), P, PTH y 25-hidroxi-vitamina D fueron normales.
Con el diagnóstico de foliculitis decalvante se pautó la combinación de rifampicina y clindamicina orales. Dado que las lesiones de OC eran asintomáticas, el paciente prefirió no realizar tratamiento.
La foliculitis decalvante es una alopecia cicatricial neutrofílica, más frecuente en varones jóvenes o adultos de edad media. Su etiología se relaciona con una infección por Staphylococcus aureus, alteraciones inmunitarias y una predisposición genética. Se presenta en el vértex y el área occipital en forma de una o varias placas de alopecia cicatricial, irregulares, atróficas, de crecimiento lento y con datos de actividad en el margen. Es típica la presencia de foliculitis en penacho que le da un aspecto de «pelo de muñeca»3–5.
Algunos hallazgos dermatoscópicos característicos de esta entidad son la salida de múltiples pelos de un solo orificio folicular dilatado (politriquia), eritema, costras y escamas perifoliculares, y áreas rojo-lechosas sin orificios foliculares6. Histopatológicamente, en las fases iniciales, se observa dilatación infundibular y un infiltrado neutrofílico intrafolicular y perifolicular en las partes superiores y medias del folículo. En fases avanzadas se afecta todo el folículo y demás de los neutrófilos se aprecian linfocitos, histiocitos, células plasmáticas y células gigantes multinucleadas. Finalmente, los tractos fibrosos sustituyen los folículos pilosos7.
En la osificación cutánea, los depósitos de Ca y P se disponen de forma organizada como si fuese hueso normal. Clínicamente, las lesiones son duras, y el estudio histopatológico muestra una proliferación de tejido óseo con osteoblastos y a veces osteoclastos. Se clasifica en formas primarias o secundarias en función de la ausencia o presencia de una lesión cutánea previa. Estas últimas son más frecuentes y se han relacionado, entre otras, con cicatrices y procesos inflamatorios, cuadros en los que se podría incluir la foliculitis decalvante. A diferencia de la osificación, en la calcificación cutánea la fase mineral se deposita de forma desorganizada y el material es blando y pastoso8.
En este caso el diagnóstico diferencial debe establecerse con otros tipos de OC, como el OC en placa, forma primaria e idiopática que suele presentar lesiones tipo placa en cuero cabelludo, aunque inicialmente se consideró un proceso congénito, se han descrito casos adquiridos9; y el OC miliar múltiple, forma primaria o asociada a acné, caracterizada por múltiples pápulas duras distribuidas fundamentalmente en área facial, pero también en cuero cabelludo10.
El tratamiento del OC no está claramente definido, y dado que las lesiones habitualmente son asintomáticas y permanecen sin generar complicaciones, este suele realizarse por motivos estéticos. En las lesiones de OC miliar múltiple se ha utilizado, en ocasiones de forma combinada, la extirpación quirúrgica, la incisión con aguja u hoja de bisturí, la biopsia en sacabocados, el curetaje, la laserterapia (láser erbio:YAG y láser CO2), la dermoabrasión, los retinoides sistémicos y tópicos (tretinoína), los bifosfonatos y la antibioterapia oral10.
En conclusión, el caso trata de un varón con una foliculitis decalvante y un OC múltiple secundario, asociación que no hemos encontrado descrita en la literatura, y cuya clínica simula un OC en placa o miliar múltiple en cuero cabelludo.
Conflicto de interesesLos autores declaran no tener ningún conflicto de intereses.






