Mujer de 83 años de edad con antecedentes de hipotiroidismo y depresión en tratamiento, que acudió a nuestra consulta remitida por el servicio de reumatología, donde estaba en seguimiento por osteoporosis. Refería la aparición progresiva hacia un año de unos nódulos asintomáticos en antebrazos que no relacionaba con traumatismo previo ni otro factor desencadenante.
Exploración físicaEn la región cubital de ambos antebrazos presentaba unos 8-10 nódulos subcutáneos, cuyo tamaño oscilaba entre 0,5 y 1,5cm de diámetro, de consistencia gomosa, color piel, con superficie lisa, rodaderos y siguiendo un trayecto lineal (fig. 1). No se observaron otras lesiones cutáneas, solo deformidades articulares en metacarpofalángicas sin signos de artritis.
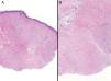
HistopatologíaSe observaba afectación de todo el espesor de la dermis con focos de degeneración parcial del colágeno, rodeado de un discreto infiltrado linfohistiocitario (fig. 2).
Exploraciones complementariasEn la analítica destacaba una elevación de la PCR (30,7mg/l); ANA (+) a título 1/320 y anti-ENA (+), SS-A: 68U/ml. El resto (hemograma, bioquímica, VSG, FR, anti-CCP-2, sedimento urinario, proteinograma, inmunoglobulinas, C3, C4, anticardiolipinas y coagulación) resultó normal o negativo. Las radiografías de manos, antebrazos y columna revelaron la existencia de signos degenerativos y disminución de la densidad ósea.
¿Cuál es su diagnóstico?
DiagnósticoGranuloma anular subcutáneo.
Evolución y tratamientoTras un periodo de seguimiento inicial de un año, debido al dolor referido por la paciente, se decidió realizar tratamiento con 2 infiltraciones intralesionales con triamcinolona en suspensión a una concentración de 1:2 y, posteriormente, vitamina E oral (200mg/día) durante 6 meses. Presentó resolución completa del cuadro, sin observarse recidiva en los últimos 10 meses de seguimiento (fig. 3).
ComentarioEl granuloma anular (GA) es una dermatosis benigna, de origen incierto, y generalmente autolimitada, que puede presentar diversas formas clínicas, siendo las más frecuentes la localizada, la generalizada, la subcutánea y la perforante1. Existen diversos patrones poco habituales o atípicos de GA, tales como el GA folicular, el GA maculoso, el GA en placa y la variante lineal entre otros1,2. El granuloma anular subcutáneo (GAS) es una variante rara de GA, más frecuente en la edad pediátrica. Se caracteriza por la aparición de unos nódulos asintomáticos, de tamaño variable, de consistencia firme-elástica, no adheridos y con piel suprayacente normal3,4. Las localizaciones más frecuentes son la cabeza, las extremidades inferiores, los antebrazos y el dorso de las manos y los pies3,4. El diagnóstico es clínico e histológico y presenta un amplio diagnóstico diferencial clínico con abscesos, hematomas calcificados, tumores de partes blandas, necrosis grasa, reacción a cuerpo extraño y dermatitis granulomatosa intersticial entre otros. Sin embargo, el histopatológico debe realizarse principalmente con los nódulos reumatoides (NR)4,5. La diferenciación puede ser difícil ya que ambos presentan un infiltrado granulomatoso dérmico constituido por un área de necrobiosis del colágeno rodeada de una empalizada histiocitaria4,5. El NR presenta un tejido conectivo alterado mejor circunscrito que se ubica más profundamente y es muy característico el depósito de fibrina entre el colágeno4,5. El NR suele tener células gigantes en su empalizada histiocitaria, pero el dato histológico clave para diferenciarlos es la presencia de mucina en la zona de necrobiosis del GAS4,5. En nuestro caso se identificaron depósitos de mucina con las técnicas de hierro coloidal y azul alcián, que junto con la negatividad del FR y anti-CCP-2 y la ausencia de hallazgos clínicos de enfermedad reumatológica nos ayudaron al diagnóstico diferencial entre ambos procesos. Con respecto al tratamiento, son múltiples los fármacos propuestos con resultados variables, siendo la abstención terapéutica la actitud más aceptada3,4. En nuestro caso se optó por tratar con una excelente respuesta; sin embargo, no es posible descartar la posibilidad de que se tratara de una resolución espontánea. Existen pocos casos descritos tanto de GAS como de GA lineal, pero no hemos hallado ninguno que se asemeje al caso que presentamos. Queremos destacar la excepcionalidad de la presentación clínica, no descrita hasta el momento, a modo de nódulos lineales arrosariados. A pesar de tratarse de una forma de presentación atípica, es importante tener en cuenta el posible diagnóstico GAS con el fin de evitar tratamientos innecesarios.
Conflicto de interesesLos autores declaran no tener ningún conflicto de intereses.





