INTRODUCCIÓN
El diagnóstico precoz del melanoma es uno de los retos más importantes para los dermatólogos, pues sigue siendo la maniobra más eficaz para aumentar la supervivencia. La dermatoscopia es una técnica complementaria de la exploración clínica que aumenta la precisión diagnóstica en la evaluación de las lesiones pigmentadas (1-3). Con esta técnica es posible diagnosticar algunos melanomas muy incipientes que no serían detectables con la simple inspección visual. También se puede asegurar la benignidad de algunas lesiones clínicamente atípicas o sospechosas, evitando extirpaciones innecesarias (4, 5). Es bien conocido que muchas lesiones melanocíticas y no melanocíticas pueden simular un melanoma. Es destacable que algunas pueden ser confundidas con un melanoma nodular incipiente, de comportamiento biológico particularmente agresivo (6). Entre estas lesiones destacan el nevo de Reed, el nevo de Spitz, el carcinoma basocelular pigmentado, el angioqueratoma, el hemangioma trombosado y el granuloma piogéno. La dermatoscopia puede ser muy útil en la evaluación inicial de estas lesiones, pues a menudo muestra hallazgos morfológicos que permiten establecer el diagnóstico correcto (4, 5). Sin embargo, existe la posibilidad de falsos positivos y negativos. Aunque la dermatoscopia ayude a orientar el diagnóstico no siempre evita la necesidad de su confirmación histológica. Presentamos un caso de nevo de Reed cuyo diagnóstico fue correctamente sugerido por la dermatoscopia, aunque la presencia de algún dato atípico hizo obligatorio descartar un melanoma mediante el estudio histológico.
DESCRIPCIÓN DEL CASO
Varón de 32 años de edad que acudió al Servicio de Urgencias solicitando valoración de una tumoración cutánea pigmentada localizada en el muslo izquierdo. En la anamnesis realizada el paciente refería la aparición de una lesión negruzca de 2 meses de evolución que había experimentado un crecimiento y aumento progresivo de la pigmentación, especialmente llamativos en las últimas 2 semanas. No se acompañaba de datos subjetivos tales como prurito o dolor.
En la exploración se observó una lesión de 4 mm de diámetro, cupuliforme, hipercrómica, no discrómica, con cierta irregularidad en la periferia (Fig. 1). Con este aspecto clínico y la referida evolución, la lesión planteaba, entre otros, los posibles diagnósticos de nevus de Reed o de melanoma nodular incipiente.
FIG. 1--Aspecto clínico de la lesión.
La exploración dermatoscópica mostró una lesión intensamente pigmentada y asimétrica en dos ejes. El centro estaba constituido por un área homogénea negra, difuminándose a gris oscura en su parte más interna. La periferia era irregular, presentando en dos tercios imágenes digitiformes con disposición radial, de color negro, rodeadas de un halo grisáceo, recordando a los pseudópodos (Fig. 2). Este signo dermatoscópico cuando está presente regularmente en toda la periferia es muy sugestivo de nevo de Reed. Sin embargo, el hecho de que existiera alguna zona periférica desprovista de estas estructuras digitiformes suponía un rasgo atípico, por lo que se realizó extirpación y estudio histológico para descartar un melanoma nodular incipiente.
FIG. 2--Imagen dermatoscópica. Obsérvese la presencia de extensiones periféricas digitiformes en dos tercios de la lesión.
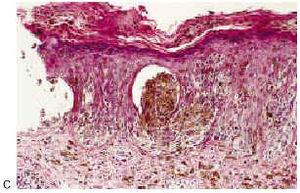
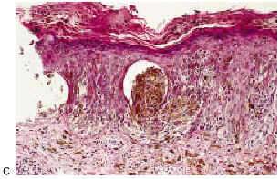
El estudio histopatológico mostró una tumoración simétrica, compuesta por melanocitos maduros fusiformes intensamente pigmentados, dispuestos en nidos y en fascículos interconectados en la epidermis y en la dermis papilar. Se acompañaban de numerosos melanófagos, dando una imagen típica de melanosis en banda en la dermis superficial (Fig. 3). El diagnóstico histológico resultante fue de nevus fusocelular pigmentado (nevo de Reed).
FIG. 3--A: Panorámica histológica. B: Presencia de abundantes melanófagos dando la imagen típica de melanosis «en banda» en la dermis superficial. Melanocitos fusiformes pigmentados dispuestos en nidos y fascículos interconectados en la epidermis y la dermis papilar. C: Correlación dermatoscópico-histológica: tecas compactas de melanocitos fusiformes situados en los extremos de la lesión que se corresponden con las extensiones periféricas digitiformes observadas en la dermatoscopia.
FIG. 3--A: Panorámica histológica. B: Presencia de abundantes melanófagos dando la imagen típica de melanosis «en banda» en la dermis superficial. Melanocitos fusiformes pigmentados dispuestos en nidos y fascículos interconectados en la epidermis y la dermis papilar. C: Correlación dermatoscópico-histológica: tecas compactas de melanocitos fusiformes situados en los extremos de la lesión que se corresponden con las extensiones periféricas digitiformes observadas en la dermatoscopia.
DISCUSIÓN
Tanto el nevo de Reed (fusocelular pigmentado) como el nevo de Spitz (de células fusiformes y/o epitelioides) pueden simular clínica e histopatológicamente un melanoma (7-12). Algunos autores consideran al nevo de Reed como una variante del nevo de Spitz, mientras que otros prefieren individualizarlo (13). El nevo de Reed suele manifestarse como una mácula o pápula de coloración marrón oscura a negra y puede mostrar un crecimiento relativamente rápido e inquietante, lo que obliga a excluir la posibilidad de un melanoma incipiente (7, 8).
Diversos autores han abordado la utilidad de la dermatoscopia para mejorar la precisión diagnóstica en este tipo de nevo (4, 5, 14-16). En general estos estudios han incluido conjuntamente a casos de nevos de Reed y de Spitz. Uno de los hallazgos más característicos es la presencia en la periferia de un anillo de glóbulos pigmentados, a menudo de gran tamaño, o bien la presencia periférica de abundantes estructuras globulares y lineales de pequeño tamaño que parecen extenderse hacia el exterior, semejando pseudópodos y proyecciones radiales. Cuando estas últimas estructuras aparecen en un melanoma lo suelen hacer de forma focal y asimétrica, mientras que en los nevos de Reed y de Spitz tienden a ocupar toda su periferia (4, 5, 14-16). El centro de la lesión puede mostrar una pigmentación que oscila desde una tonalidad muy oscura (marrón, azulada o negruzca) a una más clara, marrón o rojiza. En ocasiones se aprecia una depigmentación central reticular o una red pigmentaria negativa. Este signo aparece también en algunos melanomas (4, 5). En nuestro caso no estaba presente. Para Stolz et al (4) es muy característico de estos nevos que los diferentes colores y estructuras se distribuyan a modo de diana, ocupando la periferia los glóbulos y proyecciones excéntricas ya mencionados, como se aprecia en nuestro caso.
Pellacani et al (15) distinguen tres patrones básicos en estos nevos mediante videomocroscopía digital: 1) lesiones intensamente pigmentadas; 2) lesiones de coloración marrón clara o rojiza, y 3) lesiones con áreas marrones oscuras sobre un fondo marrón claro. La presencia de formaciones globulares y lineales periféricas proyectadas hacia el exterior fueron más frecuentes en las lesiones del primer grupo, entre las que se incluían la mayoría de los nevos caracterizados histológicamente por la presencia de células fusiformes. El nevo aquí presentado es un ejemplo característico de este patrón. La pigmentación tan intensa observada con dermatoscopia es debida a la presencia de gran cantidad de melanina en los melanocitos y a la abundancia de melanófagos. Las estructuras periféricas proyectadas hacia el exterior se corresponden con nidos compactos de células fusiformes próximos a la unión dermoepidérmica (16). Algunos autores han señalado que estos nidos pueden presentar una morfología en forma de pera al observarlos con el microscopio óptico (17). En el presente caso se aprecian estas tecas compactas en los extremos de la lesión en los que se observan las extensiones periféricas mencionadas, dato con una importante correlación dermatoscópico-histológica.
Argenciano et al (16) han sugerido otra clasificación para los nevos de Reed y las formas pigmentadas de los nevos de Spitz, que incluye tres patrones básicos: 1) patrón en estallido de estrella o en llamarada; 2) patrón globular periférico, y 3) patrón atípico, con imágenes que pueden sugerir el diagnóstico de melanoma (silueta asimétrica, distribución irregular de colores y estructuras, velo azul blanquecino, extensiones periféricas irregulares). La lesión de nuestro paciente se asemeja a las lesiones del primer grupo, si bien el hecho de que no toda la periferia esté rodeada por estructuras globulares o lineales proyectándose hacia el exterior supone un elemento de atipia dermatoscópica que permite su inclusión en el tercer grupo. Es destacable que Argenciano et al (16) también muestran tres melanomas con imágenes dermatoscópicas encuadrables en los dos primeros patrones. Así pues, la evaluación dermatoscópica de estas lesiones puede mostrar algunos falsos positivos (simuladores de melanoma) y falsos negativos (melanomas que no lo parecen). La precisión diagnóstica no es absoluta, aunque supere a la de la simple inspección visual (14-16).
En conclusión, el caso aquí presentado es un ejemplo de la utilidad de la dermatoscopia para orientar el diagnóstico ante una lesión intensamente pigmentada y de aparición o crecimiento recientes, con un procedimiento rápido y no invasivo. La mayor parte de los nevos de Reed muestran un patrón fácilmente reconocible que los distingue de otras lesiones pigmentadas no melanocíticas, de otros nevos melanocíticos y de la mayoría de los melanomas (4, 5, 14-16). Sin embargo, el estudio histológico sigue siendo obligatorio en presencia de cualquier dato clínico y/o dermatoscópico atípico, y se debe ser muy cauto antes de excluir dicho estudio en base a la información dermatoscópica, ya que una imagen muy sugestiva de nevo de Reed o de Spitz no descarta de forma absoluta la posibilidad de la existencia de un melanoma (16).






