A 9-year-old girl with no family history of interest was undergoing follow-up in pediatrics for functional chronic constipation since childhood. She was referred to dermatology for multiple lesions on the tip of the tongue that had developed at 7 years of age.
Physical ExaminationThe initial physical examination revealed marfanoid habitus (Fig. 1A), with thickening and mild eversion of the lip and the free margin of the eyelid. Several firm, opaque, papular lesions were observed on the tip of the tongue (Fig. 1B). A single skin-colored papular lesion was observed in the right nasal choana (Fig. 1C) and several others on the lips (Fig. 1).
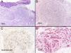
Additional TestsA punch biopsy of one of the lingual papules revealed well-circumscribed nodular lesions in the dermis, consisting of hyperplastic nerve fibers that were positive for neurofilament and S100 staining (Fig. 2).
Based on these histological finding magnetic resonance imaging of the adrenal glands was performed, and levels of urine catecholamines and blood calcitonin were determined. All test results were normal. However, thyroid ultrasound revealed 3 vascularized, hypodense, bilateral nodules, strongly suggesting malignancy. A genetic study revealed a mutation in the RET proto-oncogene (p.Met918Thr).
What Is Your Diagnosis?
DiagnosisMucosal neuromas in a case of multiple endocrine neoplasia.
CourseBased on the histological confirmation of mucosal neuromas and the patient́s clinical history of chronic constipation, several additional tests were conducted to confirm the presence of multiple endocrine neoplasia (MEN). A thyroidectomy, performed given the strong suspicion of malignant infiltration of the thyroid, confirmed the presence of medullary thyroid cancer. The final diagnosis was MEN type 2B with cutaneous, thyroid, and gastrointestinal involvement.
CommentsMEN type 2B syndrome is an inherited autosomal dominant disorder caused by a mutation in the RET proto-oncogene.1 MEN type 2 is classified into 3 types: 2A, 2B, and familial medullary thyroid cancer. MEN type 2B has a low incidence (1 case per 200 000), and represents 5% of all MEN type 2 cases. This disorder is characterized by endocrine neoplasias such as pheochromocytoma (50% of cases) and medullary thyroid cancer (95% of cases).2 The latter is usually the first neoplasia to develop, and has a poor prognosis owing to its aggressive and multicentric nature and its high rate of metastasis (mainly in the lung and liver). A prophylactic thyroidectomy is thus recommended in such cases.2 MEN type 2B is also characterized by intestinal ganglioneuromatosis resulting in chronic constipation, and a peculiar phenotype with marfanoid habitus and thickening of the lips and eyelids, as seen in our patient.3
Mucosal neuromas are the guiding sign for the early diagnosis of this disease, and are usually located in the midface region, predominantly in the lingual and labial mucosa, and less frequently in the conjunctiva and palate. In severe cases, mucosal neuromas may be present at birth; the number and/or size of these neuromas may increase over time or remain unchanged.4
Mucosal neuromas, given their almost pathognomonic character, can thus constitute the key to early identification of MEN. The dermatologist plays a crucial role in such cases.
Conflicts of InterestThe authors declare that they have no conflicts of interest.
Please cite this article as: Padilla-España L, del Boz-González J, de Troya Martín M. Pápulas mucosas en una niña de 9 años. Actas Dermosifiliogr. 2015;106:227–228.




