INTRODUCCION
Los linfomas no hodgkinianos (LNH) constituyen un grupo heterogéneo de tumores malignos que asientan en el sistema linforreticular. Aproximadamente el 25 % de los casos tiene un origen extranodal, y es la piel la segunda localización extranodal más frecuente tras el aparato gastrointestinal, mientras que el testículo representa sólo el 1-2 % de todos los LNH1. Los dermatólogos, muy frecuentemente, evaluamos pacientes con lesiones clínicas e histológicamente compatibles con linfomas, tras lo que se realiza un estudio complementario para determinar si se trata de un linfoma cutáneo primario o ha aparecido asociado a un linfoma sistémico (cutáneo secundario). El pronóstico es invariablemente peor en el linfoma cutáneo secundario que en el primario, con independencia del diagnóstico histológico. La Organización Europea del Cáncer (EORTC) ha propuesto una definición de trabajo para el linfoma primario cutáneo que requiere descartar afectación sistémica 6 meses después de establecer el diagnóstico cutáneo. Se presenta un caso en el que se descubrió un linfoma testicular antes de los 6 meses tras el diagnóstico de las lesiones cutáneas gracias a la sospecha y al interrogatorio clínico, ya que el estudio complementario convencional fue incapaz de detectarlo.
DESCRIPCION DEL CASO
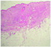
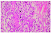
Un varón de 78 años, con antecedentes personales de hipertrofia benigna prostática, herniorrafia bilateral, desprendimiento vítreo e hipertensión arterial, acudió a la consulta de dermatología por presentar unas lesiones eritematovioláceas, edematosas, localizadas en ambos miembros inferiores, de 6 semanas de evolución (fig. 1). Algunas de estas lesiones tomaban el aspecto de una placa eritematosa escasamente infiltrada. No se palpaban adenopatías inguinales o axilares. En el estudio anatomopatológico de una biopsia cutánea destacaba la presencia de una infiltración de la dermis en prácticamente toda su extensión exceptuando una pequeña zona grenz (fig. 2). Este infiltrado se extendía hacia el tejido celular subcutáneo. Con mayor detalle, estaba constituido por unas células grandes de núcleo vesiculoso y nucléolo prominente (fig. 3), y se visualizaban fácilmente figuras mitóticas. En el estudio inmunohistoquímico las células eran positivas para CD20 y Ki67, y negativas para CD3 y CD30. Ante estos hallazgos el paciente fue diagnosticado de un linfoma B de células grandes difuso y se procedió a realizar un estudio de extensión con objeto de determinar si se trataba de un linfoma primario cutáneo o secundario. En la analítica sólo se detectó un aumento de b2-microglobulina de 2.496,7 mg/l (normal, 0-1.900) con lacticodeshidrogenasa (LDH) normal. En la tomografía computarizada (TC) sólo se detectaron hallazgos no significativos, sin observarse organomegalias ni adenopatías que pudieran tratarse del origen del linfoma.
Fig. 1.--Lesiones eritematoedematosas localizadas en miembro inferior derecho.
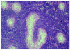
Fig. 2.--Visión panorámica histológica cutánea. Infiltración difusa de todo el espesor de la dermis que se extiende hacia tejido celular subcutáneo. (Hematoxilina-eosina, x40.)
Fig. 3.--Detalle histológico cutáneo. Destaca la aparición de células de núcleo vesiculoso con nucléolo prominente (flechas). (Hematoxilina-eosina, x400.)
En una de las visitas a la consulta, el paciente refirió notar una zona indurada en el testículo derecho. Un estudio ecográfico testicular detectó una infiltración difusa del testículo, y se realizó una orquidectomía derecha. El estudio anatomopatológico demostró una infiltración testicular por células de morfología muy similar a las que se encontraban a nivel cutáneo, con las mismas positividades a los marcadores inmunohistoquímicos (fig. 4). Tras estos hallazgos el paciente fue diagnosticado de un linfoma de células B (CD30, CD20+, CD3) en estadio IV. El paciente recibió tratamiento quimioterápico con CHOP (ciclofosfamida, adriamicina, vincristina y prednisona) y rituximab (anti-CD20) durante cuatro ciclos. No se pudieron completar los seis ciclos de quimioterapia inicialmente propuestos debido a una neumonía. Las lesiones cutáneas clínicamente han desaparecido, y sólo permanecen máculas residuales. El paciente está en espera de realizar radioterapia del testículo contralateral ante el riesgo de futuras recidivas en esta topografía.
Fig. 4.--Histología testicular. Infiltración difusa del parénquima testicular por células semejantes a las encontradas a nivel cutáneo. (Hematoxilina-eosina, x40.)
DISCUSION
El linfoma primario testicular representa entre el 1 y el 2 % de todos los linfomas no hodgkinianos, con una incidencia estimada de 0,26/100.000 personas al año. Aproximadamente el 85 % de los pacientes son mayores de 60 años. A pesar de que los linfomas sólo representan entre el 1 y el 7 % los tumores testiculares malignos, se trata del tumor más frecuente en pacientes mayores de 50 años. Histológicamente, el 80-90 % corresponden a linfomas de células grandes difusas con inmunofenotipo B de acuerdo con la clasificación de la REAL o bien linfoma centroblástico o inmunoblástico si nos basamos en la clasificación de Kiel, aunque se han publicado casos aislados de otros subtipos histológicos2-7. Este linfoma presenta una tendencia importante a diseminarse sistemáticamente a otros lugares extranodales, incluyendo el testículo contralateral sistema nervioso central, piel, anillo de Waldeyer, pulmón y pleura8,9. Presenta mal pronóstico, con una mediana de supervivencia entre 4 y 5 años según el estadio del diagnóstico, y una alta tendencia a metastatizar a pesar del tratamiento. En un estudio multicéntrico que incluye 373 pacientes, la afectación cutánea en el momento del diagnóstico ocurre sólo en el 2,5 % de los casos4.
El tratamiento de los pacientes con linfoma testicular origina múltiples retos terapéuticos. Debido al mal pronóstico del proceso tumoral debería considerarse un tratamiento agresivo. Sin embargo, al tratarse de un tumor propio de pacientes entre la quinta y sexta décadas de la vida, la tolerancia al tratamiento quimioterápico es baja, con la aparición de numerosos efectos colaterales. Actualmente la pauta más extendida es la aplicación de poliquimioterapia, generalmente con CHOP10. Además, se asocia rituximab (anti-CD20) en los casos en los que el tumor exprese este marcador, ya que así parece mejorar el pronóstico de los pacientes11.
Queremos destacar el hecho de que el testículo es un lugar de origen de linfomas, sobre todo en pacientes de edad avanzada. Además, el estudio de imagen convencional con TC no sirve para estudiar de forma adecuada esta topografía anatómica. La alta sospecha clínica y el interrogatorio cutáneo permitirá poder diagnosticarlo de manera adecuada y administrar un tratamiento apropiado.






