INTRODUCCION
Se denomina melanocitosis dérmica a la presencia de melanocitos dendríticos con abundante pigmento melánico en su citoplasma localizados en la dermis y sin proliferación melanocítica en la unión dermoepidérmica. Aunque es frecuente en otros mamíferos, la presencia de melanocitos en la dermis de la piel humana es excepcional. Existen diversas teorías histogenéticas, pero la más admitida es que las melanocitosis dérmicas derivan de un trastorno embriológico en la migración de los melanocitos desde la cresta neural hasta al unión dermoepidérmica, quedando los melanocitos atrapados en la dermis. Se han descrito numerosas variantes morfológicas de la melanocitosis dérmica, siendo las más comunes el nevo azul, la mancha mongólica, el nevo de Ota y el nevo de Ito. No obstante, se han publicado también ejemplos de formas atípicas de melanocitosis dérmica que no se adaptan a las formas clásicas mencionadas1. Todos estos tipos, a excepción del nevo azul, comparten los mismos hallazgos histopatológicos, que consisten en la presencia de escasos melanocitos dendríticos localizados a diversos niveles de la dermis que contienen abundante melanina en su citoplasma y sin reacción fibrosa de la dermis. El diagnóstico diferencial entre ellos se establece, por tanto, atendiendo a las características clínicas de la lesión. Presentamos un caso de melanocitosis dérmica adquirida y persistente que afecta a un paciente de raza blanca que corresponde a la denominada melanocitosis dérmica de la parte alta de la espalda.
DESCRIPCION DEL CASO
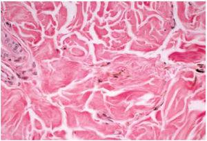
Se trata de un hombre, de raza blanca y 44 años de edad, que consultó por una lesión asintomática de larga evo-lución en la región interescapular. Aunque no era consciente del tipo exacto de evolución aseguraba que ésta no estaba presente en el nacimiento ni tampoco probablemente a edades tempranas de la vida. Clínicamente, la lesión consistía en un placa redondeada, de coloración uniforme azulgrisácea, de límites imprecisos y apariencia contusiforme que no blanqueaba a la vitropresión. La placa medía aproximadamente 4 cm de diámetro (fig. 1). A la palpación la lesión no mostraba induración. Se realizó biopsia de la lesión y el estudio histopatológico demostró la presencia de melanocitos fusiformes o bipolares, en escasa cuantía, dispersos entre los haces de colágeno de la dermis media y profunda, sin esclerosis acompañante (fig. 2). Existía abundante pigmento melánico en su citoplasma y muchos de ellos presentaban largas dendritas. El estudio inmunohistoquímico con proteína S-100 demostró la positividad de estas células.
Fig. 1.--Placa azulada en la parte alta de la espalda.
Fig. 2.--Sólo a gran aumento se observaba algún melanocito fusiforme que contenía pigmento melánico en su citoplasma entre los haces de colágeno de la dermis.
DISCUSION
Clínicamente la melanocitosis dérmica se manifiesta como una cerulodermia o hiperpigmentación azulada de la piel. El diagnóstico diferencial entre los distintos tipos de melanocitosis dérmica se establece en función de la distribución topográfica, la edad de comienzo y el curso evolutivo de las lesiones1. Los hallazgos histopatológicos son comunes para todos los tipos de melanocitosis dérmica exepto para el nevo azul. En todos los casos, excepto en el nevo azul, se observan melanocitos fusiformes o bipolares dispersos a distinta profundidad en la dermis entre los haces de colágeno y sin alteraciones dérmicas acompañantes ni aumento del número de melanófagos. El nevo azul, a diferencia del resto de melanocitosis dérmicas, se acompaña de esclerosis, disminución de las fibras elásticas y un aumento del número de melanófagos. Tradicionalmente se ha considerado que la mancha mongólica se localiza en la región lumbosacra, el nevo de Ota en la piel correspondiente a las áreas inervadas por las dos primeras ramas del trigémino y el nevo de Ito a la piel de la región acromioclavicular. Histopatológicamente se ha descrito que el nevo de Ota y el nevo de Ito se caracterizan por una hiperpigmentación del estrato basal de la epidermis y una localización de los melanocitos dérmicos más superficial que en el caso de la mancha mongólica. No obstante, habitualmente no es posible diferenciar entre una mancha mongólica y un nevo de Ota y/o Ito en función sólo de los hallazgos histológicos.
El caso descrito en el presente artículo plantea el diagnóstico diferencial entre un nevo de Ito, una mancha mongólica aberrante y la llamada melanocitosis dérmica de la parte alta de la espalda. La localización de la placa no corresponde al territorio de inervación de los nervios cutáneos acromioclavicular posterior y braquial lateral, esto es, la región acromiodeltoidea y el dorso del brazo, que es donde se localiza el nevo de Ito. Por tanto, la lesión descrita no corresponde a un nevo de Ito. Por otro lado, los melanocitos en la dermis se distribuían preferentemente en la dermis reticular profunda y la pigmentación de la placa del paciente era homogénea y uniforme, mientras que en el nevo de Ito, la distribución de los melanocitos en la dermis suele ser más superficial y la lesión muestra una pigmentación moteada. El diagnóstico diferencial con la mancha mongólica aberrante es más complejo puesto que la mancha mongólica aberrante se manifiesta clínicamente como una mácula de coloración homogénea azulgrisácea, e histológicamente los melanocitos en la dermis también se distribuyen en la dermis profunda como en la lesión del presente caso. Sin embargo, la mancha mongólica aberrante, aunque puede surgir durante la infancia, habitualmente es congénita, y la lesión que presentamos correspondía a una lesión adquirida. Las características clínicas e histopatológicas de la lesión descrita en este artículo concuerdan con las de la denominada melanocitosis dérmica de la parte alta de la espalda descrita por Ono et al en 19912. Estos autores publicaron una serie de siete pacientes adultos japoneses con manchas azuladas en la parte alta de la espalda. Aunque los autores indican en el título que se trataba de lesiones de aparición tardía, en el texto reconocen que en algunos de los casos que presentaron no pudo determinarse si las lesiones estaban ya presentes a edades tempranas de la vida. Tan sólo describen la histopatología de uno de los casos que consistía en la presencia de melanocitos dendríticos que contenían abundante pigmento melánico situados en la dermis reticular profunda. Las características clínicas e histopatológicas de nuestro caso concuerdan con las de la denominada melanocitosis dérmica de la parte alta de la espalda. Consideramos que la distribución única de esta melanocitosis dérmica en la parte alta de la espalda la distingue fácilmente de las otras variantes conocidas de melanocitosis dérmica.




