El lupus miliar diseminado de la cara (LMDF) es un trastorno que se ha descrito con poca frecuencia en la literatura médica. Se trata de una dermatosis inflamatoria crónica que afecta con mayor frecuencia a adultos jóvenes y que fue descrito por primera vez a principios del siglo pasado. Durante años se ha asimilado sucesivamente a tuberculosis, sarcoidosis y rosácea. Más recientemente algunos autores han propuesto su consideración como entidad individualizada1,2 . Se presenta el caso de un varón de 25 años con las características clinicopatológicas de LMDF.
DESCRIPCIÓN DEL CASO
Un varón de 25 años de edad, con antecedentes personales de pirosis ocasional tratada con ranitidina, consultó por la aparición progresiva de pequeñas lesiones asintomáticas en área facial de 4 o 5 meses de evolución. Se trataba de pápulas aisladas de 1 a 3 mm de tamaño que se iniciaron en ambas regiones malares y que posteriormente se extendieron hacia dorso nasal, párpados y áreas perioculares, afectando también al borde libre de ambos pabellones auriculares (fig. 1). Las lesiones tenían una coloración eritematosa parduzca, y algunas se encontraban excoriadas. Al resolverse dejaban pigmentación y cicatrices puntiformes residuales. No se apreció eritema, lesiones pustulosas ni telangiectasias. La anamnesis descartó la existencia de episodios de flushing , exacerbación de las lesiones con la exposición solar o aplicación de medicamentos o cosméticos tópicos.
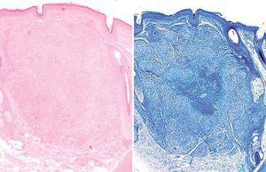
El estudio histopatológico de una de las lesiones a pequeño aumento mostró una lesión multinodular dérmica con aparente relación con los folículos pilosos (fig. 2). Existía una zona de necrosis central, de morfología estrellada. A mayor aumento se apreciaba que la lesión estaba constituida por múltiples granulomas (fig. 3). Algunos de ellos estaban formados a expensas de células epitelioides y células gigantes multinucleadas, pero sin necrosis, a modo de granulomas sarcoides. Sin embargo otros granulomas presentaban zonas de necrosis central a modo de granulomas tuberculoides. Llamaba la atención que los granulomas tenían especial tendencia a asociarse a estructuras anexiales, tanto folículos pilosos como glándulas sudoríparas. El estudio de la pieza con tinciones de Ziehl-Nielsen, PAS y Giemsa no detectó la presencia de microorganismos.
Fig. 1.—Pequeñas pápulas eritematosas parduzcas en zona mejilla, área periocular y párpado inferior.
El resto de exploración clínica y las exploraciones complementarias solicitadas, incluyendo radiografía de tórax, intradermorreacción de Mantoux, hemograma, química básica con función hepática y niveles de enzima conversora de la angiotensina (ECA) resultaron normales. El paciente fue remitido al servicio de gastroenterología donde fue diagnosticado de esofagitis por reflujo y gastritis antral por Helicobacter pylori , por lo que recibió tratamiento erradicador que fue efectivo, aunque no modificó el curso de la enfermedad cutánea. Se inició tratamiento con tetraciclinas vía oral, metronidazol tópico y una pasta al agua con azufre. Tras un mes y medio de tratamiento la mejoría fue escasa. Las lesiones seguían curando lentamente dejando cicatrices puntiformes.
COMENTARIO
El LMDF es una dermatosis inflamatoria crónica que afecta preferentemente al área facial de varones adultos jóvenes. Ha recibido diferentes denominaciones a lo largo del tiempo: acné agminata 3 , tubercúlides micropapulosas 4 , rosácea lupoide 5,6 y, más recientemente, granulomas faciales idiopáticos con evolución regresiva 2 .
Fig. 2.—A) Imagen panorámica a pequeño aumento mostrando una lesión multinodular dérmica en aparente relación con un folículo piloso; B) Tinción de Ziehl-Nielsen en la se aprecia claramente una zona de necrosis central. (Hematoxilina-eosina, ×40; tinción de Ziehl-Nielsen, ×40.)
Fig. 3.—A) Imagen de detalle a mediano aumento en la que se aprecia que la lesión está formada por granulomas; B) Granuloma sarcoide; C) Granuloma tuberculoide; D) Granuloma en relación directa con un folículo piloso. (Hematoxilina-eosina, A, ×100; C B, C y D, × 250.)
Se caracteriza clínicamente por una erupción de pápulas eritematosas parduzcas de entre 1 y 4 mm de diámetro, principalmente localizadas en la parte central de la cara, aunque en algunos casos1,7,8 se ha descrito afectación extrafacial (axilas, cuello, hombros y miembros superiores e inferiores). Las lesiones se distribuyen preferentemente alrededor del área periocular con frecuente afectación de los párpados.
A la diascopia puede observarse en ocasiones una coloración en jalea de manzana9 . Durante meses pueden aparecer nuevas lesiones pero, en un intervalo de tiempo que oscila entre 6 y 24 meses10 , se produce una autoinvolución de las mismas, que curan dejando cicatrices puntiformes residuales.
Histopatológicamente se caracteriza por la presencia de granulomas epitelioides en la dermis con necrosis central. El estudio histopatológico de lesiones precoces11 muestra un infiltrado perivascular y peranexial de linfocitos y, en menor número, histiocitos y neutrófilos. En las lesiones establecidas puede observarse una fibrosis importante alrededor de las áreas perifoliculares. En este sentido, se ha especulado sobre la posibilidad de que la reacción granulomatosa pudiera ser el resultado de la liberación en la dermis de algún antígeno tras la rotura de la pared folicular11,12 .
El LMDF se ha asimilado sucesivamente a lo largo de los años a diferentes entidades patológicas. Inicialmente se consideró una variedad de tuberculosis cutánea. Aunque la histopatología puede ser compatible, el curso clínico autolimitado, sin tendencia a las recurrencias, la ausencia de otros focos, la ausencia de respuesta a tuberculostáticos, la negatividad de la intradermorreacción de Mantoux en la mayoría de casos y la negatividad de los estudios por PCR permiten descartarla13 . Con respecto a la sarcoidosis, los hallazgos clínicos tienen similitudes con la variedad maculopapulosa14 . Además en la sarcoidosis se produce una resolución de las lesiones hasta en el 80 % de los casos14 . En cambio, la histopatología, la curación dejando cicatrices puntiformes y la ausencia de afectación sistémica irían en contra del diagnóstico. Más similitudes tiene el LMDF con la rosácea. De hecho, la tendencia reciente de la literatura especializada15,16 es considerar el LMDF como una variedad de rosácea granulomatosa. Sin embargo, existen datos que no favorecen esta interpretación, como son la afectación de personas más jóvenes, el curso autolimitado con cicatrización residual, los casos con afectación extrafacial, la ausencia de signos y síntomas vasculares y la respuesta a los corticoides de algunos casos de LMDF.
Por estos motivos, diferentes autores1,2 han propuesto que el LMDF se considere una entidad diferenciada. El LMDF estaría ubicado en el espectro que estaría formado por una parte por la rosácea granulomatosa, con la que compartía fundamentalmente la histopatología, y por otra por la sarcoidosis cutánea, con unos hallazgos en ocasiones similares al LMDF1 . Otros autores han propuesto englobar bajo la denominación común de dermatitis granulomatosa facial17 a diferentes entidades entre las que estaría el propio LMDF, la rosácea granulomatosa, la dermatitis granulomatosa perioral y la erupción facial afro-caribeña de la infancia18 (FACE). Estas dos últimas entidades se han agrupado recientemente bajo la denominación de dermatitis granulomatosa periorificial19 . Se trata de una entidad más propia de niños en la que, aunque hay casos publicados con afectación más extensa, sobre todo hay afectación perioral19 . Histopatológicamente se caracteriza por la presencia de granulomas no caseificantes perifoliculares con algunas células gigantes, además de espongiosis y exocitosis epidérmica en vecindad20 . Otra entidad con la que cabría realizar un diagnóstico diferencial es el granuloma por Demodex21 .
El tratamiento del LMDF es desalentador en la mayoría de casos. De hecho, la historia natural de la enfermedad no se suele modificar con el mismo. Las tetraciclinas son usualmente el tratamiento de primera elección, aunque los resultados son pobres. Las sulfonas (dapsona 50 mg/día) han sido eficaces en detener la aparición de nuevas lesiones y acortar la duración de la enfermedad22 . Cabe destacar también la eficacia de dosis bajas de corticoides (prednisona, 10 mg/día durante 15 días y posteriormente 5 mg/día durante 3 meses) en la prevención de las cicatrices residuales cuando se inicia el tratamiento precozmente23 . Otros casos aislados en la literatura médica han respondido a la isotretinoína oral24 y, más recientemente, a la clofazimina25 .
Correspondencia:
Vicent Alonso. Servicio de Dermatología. Hospital Clínic Universitari de Valencia. Avda. Blasco Ibáñez, 17. 46010 Valencia. España. alonso_vic@gva.es
Recibido el 6 de octubre de 2004. Aceptado el 3 de febrero de 2005.








 
 
		
