HISTORIA CLINICA
Paciente varón de 68 años de edad, ex fumador de un paquete al día desde los 54 años. Entre sus antecedentes patológicos destacaba una hipertensión arterial de larga evolución en tratamiento con enalapril a dosis de 10 mg/día desde hacía 3 años, una hipertrofia benigna de próstata por la que no realizaba ningún tratamiento y una herniorrafia inguinal izquierda.
El paciente consultó por la aparición de unas lesiones cutáneas discretamente pruriginosas y persistentes, localizadas en el tronco, de aproximadamente un mes de evolución. Negaba el rascado de esta zona. Además refería astenia, debilidad muscular y dolor en la región de ambos psoas ilíacos.
EXPLORACION FISICA
En la piel, las manifestaciones clínicas más prominentes se encontraban en la espalda y el abdomen. En estas localizaciones se podían observar unas lesiones lineales muy evidentes, de aproximadamente 1 cm de ancho y de varios centímetros de longitud, eritematosas, edematosas y de distribución centrípeta (fig. 1). En la inspección detenida se podía apreciar, además, un eritema muy discreto en el cuero cabelludo, las regiones retroauriculares, los párpados, el escote y el tercio superior de la espalda, en esta última localización con un tono algo violáceo. El paciente no presentaba dermografismo y en la reinspección de las lesiones de la espalda al cabo de 24 h no se observaron cambios.
Fig. 1.--Lesiones en forma de bandas eritematosas, lineales, situadas en la espalda.
El resto de la exploración física no reveló ninguna alteración significativa, a excepción de una discreta debilidad de los músculos deltoides y psoas, con reflejos y sensibilidad conservados.
EXPLORACIONES COMPLEMENTARIAS
Se realizó un hemograma completo y una bioquímica básica, que fueron normales, excepto por la presencia de unas cifras de CPK séricas de 285 U/l y una velocidad de sedimentación globular (VSG) de 60 mm. El estudio inmunológico reveló la existencia de una proteína C reactiva muy elevada, unos anticuerpos antinucleares (ANA) de 1/320 en patrón moteado y un C3 bajo. Las determinaciones de los marcadores tumorales antígeno carcinoembrionario (CEA), alfafetoproteína y antígeno prostático específico (PSA) fueron normales.
Se practicó un electromiograma del músculo deltoides que demostró la presencia de un patrón miógeno y de una actividad espontánea en forma de fibrilación. La biopsia muscular reveló la existencia de infiltrados mononucleares de disposición perivascular, discretos infiltrados linfocitarios endomisiales y alguna fibra necrótica.
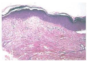
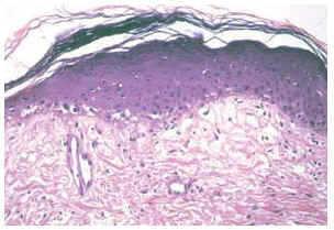
Asimismo, se realizó una biopsia cutánea de una lesión lineal de la región superior de la espalda (figs. 2 y 3).
Fig. 2.--Biopsia de una lesión lineal. (Hematoxilina-eosina, ×10.)
Fig. 3.--Detalle de los cambios histológicos. (Hematoxilina-eosina, ×40.)
Además, se solicitó una radiografía simple de tórax, una ecografía abdominal, una fibrogastroscopia y una fibrocolonoscopia, que fueron normales.
DIAGNOSTICO
Eritema flagelado en el contexto de una dermatomiositis.
HISTOPATOLOGIA
El estudio histopatológico de una lesión lineal de la espalda demostró la presencia de una dermatitis de interfase, en forma de una vacuolización de la membrana basal y unos infiltrados linfocitarios de disposición perivascular en la dermis superficial (figs. 2 y 3).
EVOLUCION
Con el diagnóstico de dermatomiositis basándose en los criterios clínicos, analíticos, electromiográficos y anatomopatológicos, se inició tratamiento con prednisona a dosis de 1 mg/kg/día. Con ello, se observó una mejoría progresiva de las lesiones cutáneas, que desaparecieron por completo en unas 4 semanas, así como del dolor y la fuerza muscular. Del mismo modo, se produjo una normalización de las cifras de creatinfosfocinasa séricas. A los 12 meses se pudo retirar el tratamiento por hallarse el paciente en remisión completa.
Tras 7 años de seguimiento sin evidencia de actividad de la enfermedad, el paciente presentó una recidiva de la misma, en forma de una afectación típica de la piel y de una debilidad de los músculos psoas y cuádriceps. De nuevo, se descartó la existencia de una neoplasia oculta y se inició tratamiento con prednisona y azatioprina a dosis de 1 mg/kg/día y 50 mg/día, respectivamente. Al cabo de un mes y medio, el paciente volvió a consultar por un dolor abdominal difuso y un síndrome diarreico. Falleció al cabo de unos días, afectado de un shock séptico, en el contexto de una perforación del intestino delgado.
COMENTARIO
La dermatomiositis es una enfermedad autoinmune que se caracteriza por la inflamación de la piel y del músculo esquelético. Aunque las lesiones cutáneas más típicas son el eritema heliotropo palpebral y las pápulas de Gottron, se pueden encontrar otras muchas manifestaciones que afectan a la piel1. De este modo, el eritema violáceo de distribución simétrica en los hombros, en los brazos y en la región superior de la espalda, las telangiectasias periungueales, las lesiones de poiquilodermia y las ulceraciones necróticas, constituyen manifestaciones características de esta enfermedad2. Además, se han descrito lesiones menos frecuentes como paniculitis3, lesiones vesiculosas y ampollares4, eritrodermia5 y lesiones lineales como el eritema flagelado, entre otras.
El eritema flagelado es una erupción lineal excepcional, que se ha descrito asociada a la dermatomiositis. Según nuestro conocimiento, en la literatura médica mundial se han publicado menos de 10 casos, en ocasiones con otros nombres como zebra-like stripe eruption6 o linear streaks.
Desde el punto de vista clínico, se presenta en forma de bandas lineales, eritematosas y edematosas, que se distribuyen de forma centrípeta en el tronco y en la región proximal de las extremidades. Estas lesiones aparecen asociadas a la actividad de la enfermedad y a otras lesiones características de ella. Por otro lado, se trata de lesiones persistentes y que no se desencadenan con el rascamiento de la piel, por lo que no corresponden a un dermografismo7. No obstante, se ha sugerido que un fenómeno de Koebner aparecido en las zonas poiquilodérmicas de la piel podría constituir uno de los mecanismos responsables de esta erupción. Por otro lado, y aunque existen muy pocos casos publicados, su presencia no parece guardar relación con la gravedad de la enfermedad8 ni con la existencia de una neoplasia subyacente9.
En el estudio histopatológico se observa una dermatitis de interfase, es decir, una vacuolización focal de la capa basal junto con infiltrados linfocitarios perivasculares situados en la dermis superficial. Estos hallazgos son superponibles a los que se encuentran en las lesiones típicas de una dermatomiositis, lo que apoya la idea de que el eritema flagelado es, en realidad, una lesión cutánea más de esta enfermedad9.
El diagnóstico diferencial se debe establecer con aquellas entidades que pueden expresar lesiones lineales. Entre ellas destacan las dermatitis de contacto y las facticias, el dermografismo, aquellas dermatosis que pueden exhibir el fenómeno de Koebner y el eritema flagelado secundario al tratamiento con bleomicina9.
Cuando se halla presente, el eritema flagelado puede ser muy útil para el diagnóstico de una dermatomiositis y, sobre todo para establecer el diagnóstico diferencial con otras enfermedades del tejido conjuntivo, ya que no se ha descrito asociado a ninguna otra enfermedad de este grupo7.
Actas dermosifiliográficas..... hace 50 años
«Eczema de las manos. Alergia alimenticia como factor etiológico y formas clínicas que determina».
J. Gómez Orbaneja y P.A. Quiñones Caravia
Hospital San Juan de Dios (Madrid)
(Servicio del Prof. Gómez Orbaneja)
Actas Dermosifiliogr 1954;45:359-75.
COMENTARIO
En este artículo los autores, con una larga trayectoria en el estudio de las dermatitis de contacto, utilizan como técnica de investigación las reacciones de microprecipitinas, que habían sido desarrolladas con éxito por el equipo del Dr. Jiménez Díaz del Instituto de Investigaciones Médicas. Su objetivo es el de «establecer una relación entre los casos de génesis alimenticia bien definida y los distintos tipos clínicos individualizados en función de sus caracteres morfológicos, evolutivos y distributivos».
Entre sus resultados destacan: 1) 10 % de reacciones alimenticias positivas; 2) lesiones distribuidas «en placas» (tipo V de la clasificación de los autores) en la mitad de los casos; 3) ausencia de correlación entre la alergia alimenticia y los antecedentes de atopia, y 4) utilidad en la mayoría de los casos de la exclusión de los alimentos responsables.
Rosa María Díaz Díaz
Servicio de Dermatología. Hospital La Paz. Madrid. España.





