Una mujer de 22 años, sin antecedentes de interés, consultó por la aparición de una erupción cutánea asintomática localizada en la extremidad superior derecha. Las lesiones habían aparecido 2 meses antes. Durante su evolución aumentaron en número y extensión. La paciente negaba antecedentes de sangrados o traumatismos previos en el área afectada.
Exploración físicaLa exploración cutánea mostró la presencia de unas máculas eritematoparduzcas distribuidas llamativamente de manera lineal por la cara anterior e interna del brazo y el antebrazo derechos (fig. 1A). A más detalle, se visualizaba que dichas lesiones estaban compuestas por unas petequias puntiformes (fig. 1B). En la dermatoscopia se observaron puntos y líneas rojas sobre un área marrón homogénea (fig. 2).
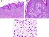
HistopatologíaSe identificó un ligero infiltrado linfohistiocitario perivascular con la presencia focal de extravasación eritrocitaria, sin otros hallazgos llamativos (fig. 3A y B). La tinción de Perls permitió ver algunos depósitos de hierro en la dermis superficial (fig. 3C).
Otras pruebas complementariasEn una analítica completa, incluyendo el recuento de plaquetas, el estudio de coagulación y los niveles de vitamina C, no se observaron hallazgos patológicos.
¿Cuál es su diagnóstico?
DiagnósticoCapilaritis lineal unilateral (CLU).
Evolución y tratamientoDada la naturaleza de la entidad, la ausencia de síntomas y la tendencia a la resolución espontánea, se decidió no tratar a la paciente. Las lesiones desaparecieron a los 6 meses sin dejar cicatriz ni hipo/hiperpigmentaciones postinflamatorias.
ComentarioLa CLU es una variante rara de dermatosis purpúrica pigmentada (DPP), descrita por primera vez por Riordan et al. en 19921. Se caracteriza por máculas purpúricas de distribución lineal o pseudometamérica que afectan a una única extremidad2. Asientan de manera más habitual en las extremidades inferiores de varones jóvenes, aunque también pueden localizarse en los miembros superiores3.
Las DPP son unos trastornos ocasionados por una capilaritis de causa desconocida. Todas las diferentes entidades incluidas en las DPP presentan unos hallazgos histológicos similares, como son la presencia de infiltrados linfocíticos perivasculares, extravasación de eritrocitos y depósitos de hemosiderina4. Las características clínicas conforman los diferentes subtipos de la enfermedad.
El diagnóstico diferencial de esta entidad incluye otras dermatosis de distribución lineal o blaschkoide, como la psoriasis, el nevus epidérmico verrucoso inflamatorio lineal, el liquen estriado, el liquen plano lineal, algunos exantemas víricos, la telangiectasia nevoide unilateral y el angioma serpiginoso. Asimismo, también se deben descartar otras variantes de DPP, en especial el liquen aureus, que clínicamente puede adquirir una morfología lineal o segmentaria. En este sería característico encontrar un denso infiltrado dérmico en banda, separado de la epidermis por un área de dermis papilar no afecta (zona Grenz)5. Sin embargo, en nuestro caso, la rápida resolución de las lesiones y la presencia de degeneración vacuolar, junto con la presencia de pocos hemosiderófagos, orientan más a una CLU que a un liquen aureus.
Como en otras variantes de DPP, los corticosteroides tópicos se han mostrado eficaces para el tratamiento del prurito. También se han utilizado psoralenos y fototerapia con UVA, ácido ascórbico, rutósido y griseofulvina, con efectividad variable. El pronóstico de la CLU es bueno, resolviéndose habitualmente de manera espontánea en menos de 2 años1,3,5.
En conclusión, se ha descrito el caso de una variante poco frecuente de DPP como es la CLU, en una mujer y con localización atípica, pero con los hallazgos clínicos, dermatoscópicos e histológicos muy característicos de esta enfermedad.
FinanciaciónEste trabajo no ha sido financiado por ninguna entidad.
AutoríaLos autores declaran haber realizado contribuciones sustanciales en la concepción y diseño del estudio, el borrador y la revisión crítica del artículo, y aprueban la versión definitiva del mismo.
Conflicto de interesesLos autores declaran no tener conflicto de intereses.






