Historia clínica
Se trata de una mujer de 71 años de edad, en tratamiento farmacológico por padecer diabetes mellitus tipo 2, hipertensión e hipercolesterolemia, que había sufrido hacía siete años una quemadura por etanol en región facial, anterocervical y V del escote. Acudió a consulta por presentar desde hacía cuatro meses inflamación y prurito en las cicatrices, así como lesiones nuevas en piel sana, sin sintomatología sistémica asociada.
Exploración física
A la exploración se apreciaban cicatrices engrosadas, de coloración eritematoviolácea y consistencia firme, elásticas e infiltradas a la palpación (figs. 1 y 2), con escasas pápulas y placas eritematosas en áreas de piel sana. No se evidenciaron adenopatías, visceromegalias, signos de uveítis, tumefacción parotídea, fiebre o lesiones sugerentes de eritema nodoso.
Figura 1.
Figura 2.
Exploraciones complementarias
Los exámenes complementarios mostraron un hemograma normal, sin elevación en la velocidad de sedimentación globular, linfopenia, anemia ni eosinofilia, una glucemia de 312, enzimas hepáticas elevadas (transaminasa glutámico oxalacética [GOT] 63, transaminasa glutámico pirúvica [GPT], 48, gammaglutamiltranspeptidasa [GGT] 118) y aumento de la betaglobulina (17,9) y de la enzima convertidora de angiotensina (76,2). El resto de parámetros bioquímicos, incluyendo el calcio, fueron normales.
En la radiografía de tórax se observó un ensanchamiento mediastínico sin signos de infiltración pulmonar, y en una tomografía axial computarizada (TAC) toraco-abdominal, presencia de adenopatías mediastínicas, sin otras alteraciones añadidas.
Histopatología
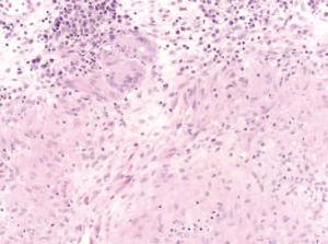
La biopsia de una de las lesiones mostró granulomas epitelioides sin caseificación central en dermis superficial y profunda (fig. 3), así como la existencia de células gigantes multinucleadas (fig. 4).
Figura 3. Hematoxilina-eosina, 4 100.
Figura 4. Hematoxilina-eosina, 20 100.
¿Cuál es su diagnóstico?
Diagnóstico
Sarcoidosis cicatricial.
Evolución y tratamiento
La paciente fue tratada con corticoides tópicos y antihistamínicos orales, con mejoría de las lesiones y resolución del prurito.
Comentario
La sarcoidosis cicatricial es una forma de sarcoidosis cutánea característica aunque poco frecuente1-9. Generalmente afecta a cicatrices traumáticas antiguas2-9, aunque también se ha descrito en las debidas a cirugía, vacunas, intradermorreacciones, tatuajes10, zóster11, cuerpos extraños12 y en áreas de traumatismos crónicos. Las cicatrices afectadas se vuelven eritematosas o purpúricas, aumentan de tamaño y su consistencia se torna firme y elástica, simulando un queloide.
La sarcoidosis cicatricial suele asociarse a enfermedad de larga evolución con afectación multiorgánica, aunque también se ha descrito en formas agudas y como signo de reactivación de una sarcoidosis en remisión. En raras ocasiones, como ocurre en nuestra paciente, es el primer hallazgo de una sarcoidosis sistémica7.
El principal diagnóstico diferencial de la sarcoidosis cicatricial se establece con el granuloma por cuerpo extraño12-14. Aunque antes se creía que la presencia de partículas polarizables en el granuloma epitelioide excluía el diagnóstico de sarcoidosis, hoy pensamos que dicho material puede desempeñar un papel importante en la patogenia de la enfermedad, actuando como desencadenante y focalizador el granuloma sarcoideo12-14. Si entendemos la sarcoidosis como una respuesta inmunológica exagerada frente a antígenos de diversa naturaleza, podemos aceptar que el cuerpo extraño sea el estímulo necesario para la formación del granuloma. Esta hipótesis parece estar avalada por la mayor frecuencia de sarcoidosis cicatricial sobre cicatrices traumáticas contaminadas, así como la posible presencia de partículas extrañas en granulomas cutáneos, ganglionares y pulmonares de enfermos de sarcoidosis13-14.
Conflicto de intereses
Declaramos no tener ningún conflicto de intereses.
Correspondencia:
Iván Cervigón González.
Servicio de Dermatología.
Hospital Nuestra Señora del Prado.
Ctra. de Madrid, km 114.
45600 Talavera de la Reina. Toledo. España.
Correo electrónico: icervigon@sescam.jccm.es
Aceptado el 3 de abril de 2007.






