Introducción
La clasificación de las proliferaciones vasculares cutáneas es un tema controvertido, con numerosas ambigüedades y errores conceptuales que han creado importantes confusiones. Siguiendo la clasificación propuesta por Requena y Sangueza en 19971 sobre proliferaciones cutáneas, los hemangiomas deben ser considerados como neoplasias benignas que resultan de la proliferación de células endoteliales.
El hemangioma capilar de extensión superficial es una variante de hemangioma adquirido que ha sido descrito por primera y única vez por Mihara et al en 19862. Presentamos el segundo caso de hemangioma capilar de extensión superficial en una mujer de 23 años de edad.
Caso clínico
Se trata de una mujer de 23 años de edad, de raza caucásica, sin antecedentes personales ni familiares de interés, que acudió a nuestra consulta por la presencia de una lesión en la planta del pie izquierdo, de 10 años de evolución, asintomática, que no había experimentado crecimiento a lo largo de estos años. En la exploración física observamos una pápula de 1,2 cm de diámetro, de coloración marrón clara, superficie lisa y consistencia blanda, no adherida a planos profundos (fig. 1).
Figura 1. Pápula eritematosa localizada en la planta del pie izquierdo.
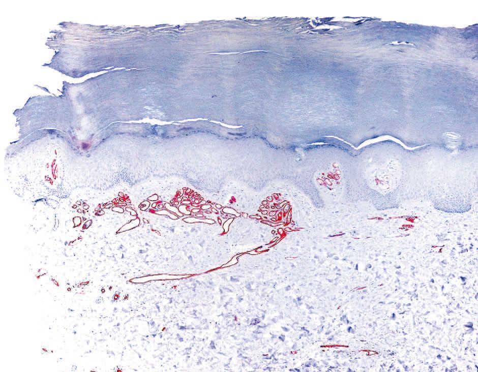
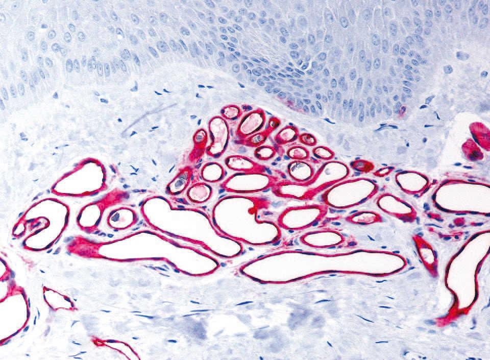
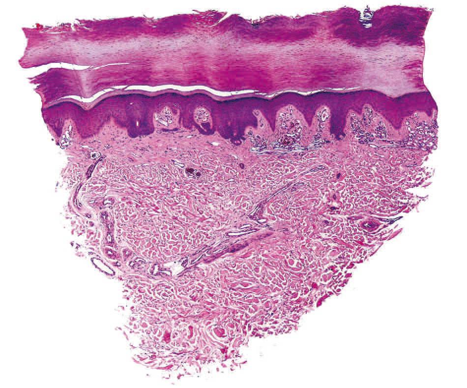
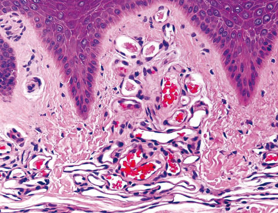
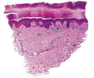
Realizamos una biopsia de la lesión y en el estudio histopatológico destacaba, bajo una epidermis conservada, una proliferación de vasos capilares agrupados en ovillos, con estroma laxo, localizados en las papilas dérmicas (figs. 2 y 3). En el resto de la dermis no existía infiltrado linfocitario ni ningún otro hallazgo patológico. La inmunotinción con CD 31 resultó positiva para las células endoteliales (figs. 4 y 5).
Figura 2. Vasos capilares agrupados en ovillos localizados en las papilas dérmicas. Hematoxilina-eosina, 10.
Figura 3. Detalle de la proliferación de vasos capilares agrupados en ovillos, con estroma laxo. Hematoxilina-eosina, 60.
Figura 4. Detalle de la proliferación de vasos capilares. (Inmunotinción CD 31.)
Figura 5. Inmunotinción CD 31 positiva para las células endoteliales.
Con estos hallazgos establecimos el diagnóstico de hemangioma capilar lobulillar de extensión superficial.
Discusión
Mihara et al describieron el hemangioma capilar de extensión superficial como una proliferación de capilares en las papilas dérmicas, separados por finas crestas epidérmicas elongadas. Clínicamente aparecía como una placa solitaria, roja, de pequeño tamaño, localizada en la planta del pie, asintomática, de años de evolución y lento crecimiento. La paciente era una mujer japonesa de 57 años de edad con historia de cáncer de mama2. La enferma descrita en este artículo muestra unas características clínicas e histológicas similares al caso descrito previamente.
Desde el punto de vista histopatológico, el diagnóstico diferencial debe establecerse fundamentalmente con la dermatitis de estasis o acroangiodermatitis de Mali, que suele desarrollarse en áreas distales de las extremidades inferiores, de personas de edad avanzada, como consecuencia de insuficiencia venosa crónica. En el estudio histopatológico de la fase crónica de la dermatitis de estasis se suele observar hiperplasia epidérmica psoriasiforme, a diferencia de lo que sucede en nuestro caso, donde la epidermis se encuentra conservada. En la dermis de la dermatitis de estasis encontramos capilares dilatados con células endoteliales globulosas y prominentes, depósitos de hemosiderina, vénulas hiperplásicas y, a veces, trombóticas. En los últimos estadios se produce fibrosis del tejido conectivo de la dermis y esclerosis del tejido celular subcutáneo, desarrollándose el proceso conocido como paniculitis esclerosante o lipodermatoesclerosis, que ocasiona una deformidad en «botella de champán» invertida del tercio distal de la extremidad inferior afectada. Sin embargo, en el hemangioma capilar de extensión superficial sólo encontramos capilares dilatados de pared fina agrupados formando pequeños lóbulos en las papilas dérmicas, sin otros hallazgos patológicos.
En conclusión, es una variante de hemangioma adquirido, que basándose en las características clínicas de los dos casos descritos en la literatura parece presentar especial predilección por asentar en la planta del pie. Su comportamiento clínico es completamente benigno y la simple extirpación parece ser curativa.
Conflicto de intereses
Declaramos no tener ningún conflicto de intereses.
Correspondencia:
Elena González-Guerra.
Servicio de Dermatología.
Fundación Jiménez Díaz.
Avda. Reyes Católicos, n.º 2.
28040 Madrid. España.
Correo electrónico: elenagonzalezguerra@yahoo.es
Aceptado el 3 de abril de 2007.







