Historia clínica
Se trata de una mujer de 30 años que consultó por la presencia de un tumor de 4 meses de evolución en la región vulvar (fig. 1) que no le producía molestias subjetivas, pero que deseaba extirpar.
Figura 1.
Exploración física
En la comisura posterior de los labios mayores de la vulva se observaba un nódulo firme, eritematoso, bien delimitado, no adherido a planos profundos e indoloro al tacto. No se palpaban adenopatías locorregionales.
Histopatología
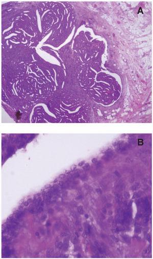
El estudio histológico mostraba una tumoración, localizada en la dermis, sin atipias ni infiltrado inflamatorio (fig. 2). En el interior se apreciaba la presencia de estructuras tubulares y quísticas, así como pliegues papilares que se proyectaban hacia la cavidad. Estas estructuras estaban formadas por una sola hilera de células secretoras y otra de pequeñas células cuboideas mioepiteliales (fig. 2). Rodeando la tumoración se observaba una cápsula fibrosa no conectada a la epidermis.
Figura 2. (A) Hematoxilina-eosina, x100. (B) Hematoxilina-eosina, x400.
¿Cuál es su diagnóstico?
Diagnóstico
Hidroadenoma papilífero de la vulva.
Evolución y tratamiento
Cuatro semanas después de la extirpación la paciente permanecía totalmente asintomática y sin evidencia de recidiva, por lo que se procedió a su alta.
Comentario
El hidroadenoma papilífero de la vulva, también denominado «adenoma tubular de la vulva», es una neoplasia benigna, solitaria, poco frecuente, con diferenciación apocrina1. La localización más frecuente es la vulva. Existen casos de localización perianal, en el pezón2 y en los párpados3. Afecta sobre todo a mujeres de entre 20 y 50 años.
La descripción del primer caso se remonta a 1878 por Werth4, que lo define como un tumor quístico con un epitelio cilíndrico que comparte similitudes anatomopatológicas con el adenoma papilar de mama. En 1941, McDonald5 sugiere por primera vez la posibilidad de que dicha neoplasia tenga una secreción apocrina.
Clínicamente se presenta como un nódulo rojizo, firme, bien delimitado, de color similar a la piel circundante y que ocasionalmente puede ulcerarse y sangrar, pudiendo exacerbarse durante la menstruación, debido a la presencia de receptores estrogénicos y progestágenos en el interior de las células tumorales, lo que sugeriría un control hormonal. También se han encontrado receptores androgénicos de forma similar a lo que ocurre en el caso del papiloma ductal de mama6.
En la mayoría de los casos se trata de una lesión benigna, aunque alguna vez se ha descrito la transformación hacia un adenocarcinoma7. También se han publicado dos trabajos en los que coexiste un hidroadenoma papilífero con una enfermedad de Paget extramamaria8 y con un melanoma vulvar9, circunstancia que los autores atribuyen a una casualidad.
Desde un punto de vista clínico, el diagnóstico diferencial lo realizaremos con: a) quistes de las glándulas de Bartholino, más frecuentes en mujeres en edad reproductora, que se caracterizan por la formación de un absceso en el interior de las glándulas de Bartholino, localizadas en la zona posterior del introito vulvar. Son extremadamente dolorosos, lo que complica su manejo terapéutico; b) angioqueratomas de la vulva o angioqueratomas de Fordyce, tumores vasculares que pueden afectar a la vulva y al escroto, habitualmente múltiples y de color violáceo, y c) con melanomas malignos, cuando son amelanóticos el diagnóstico clínico resulta difícil de establecer.
Desde un punto de vista histológico, el principal diagnóstico diferencial es el siringocistoadenoma papilífero, caracterizado por ser un hamartoma benigno, cuya localización más frecuente es el cuero cabelludo y la cara, aunque existen casos descritos en la región genital femenina. Suele estar presente en el momento del nacimiento o desarrollarse durante la primera infancia, creciendo después de la pubertad, para luego permanecer estable. Puede ulcerarse, sangrar y ocasionalmente adquirir un aspecto verrugoso. Está descrita su asociación a nevus sebáceo de Jadasshon10. Anatomopatológicamente se caracteriza por la presencia de una cavidad quística con papilas revestidas por un epitelio secretor apocrino; las papilas están constituidas por una capa interna de células epiteliales columnares con secreción por decapitación y una segunda capa externa formada por células cuboideas. Es característica la presencia de un infiltrado linfoplasmocitario en el estroma de dichas papilas.
Conflicto de intereses
Declaramos no tener ningún conflicto de intereses.
Correspondencia:
María Victoria Guiote Domínguez.
San Isidro, 9, 2.º dcha.
18005 Granada. España.
Correo electrónico: viviguiote@yahoo.es
Aceptado el 15 de noviembre de 2006.




