Sr. Director:
Los leiomiomas cutáneos son una neoplasia benigna poco frecuente originada a partir del músculo liso. Tienen un patrón hereditario de tipo autosómico dominante con penetrancia incompleta, aunque también pueden presentarse de manera espontánea1,2. Se presenta un caso de leiomiomas cutáneos múltiples unilaterales que ocasionaban un intenso dolor que se resolvió tras el tratamiento con gabapentina en breve plazo de tiempo.
Un varón de 70 años de edad, sin antecedentes patológicos de interés, consultó por presentar lesiones cutáneas en hemicara y costado izquierdo desde los 25 años de edad. Inicialmente estas lesiones eran asintomáticas, pero actualmente se acompañaban de un intenso dolor durante los meses de invierno, con el mínimo roce, y también de forma muy llamativa presentaba crisis de dolor paroxístico durante el sueño, especialmente si éste se acompañaba de pesadillas, ocasionándole constantes despertares nocturnos. La exploración física reveló una placa compuesta por lesiones papulonodulares de color eritematovioláceo, dolorosa a la palpación y de consistencia firme, localizada en la región mandibular izquierda (fig. 1). Se observaron también numerosas lesiones papulosas de diámetro inferior a 1 cm, unas de coloración marrón claro y otras de color de la piel adyacente, con superficie lisa y bien circunscritas, localizadas en brazo y en costado izquierdo, afectando tanto a su cara anterior como posterior, donde varias de estas lesiones se agrupaban siguiendo una disposición segmentaria. Al interrogatorio realizado el paciente refería varios miembros de su familia afectados con las mismas lesiones, en concreto su abuelo paterno, su padre y una hermana, en la que coexistían además leiomiomas uterinos. Se confirmó el diagnóstico de leiomiomas cutáneos múltiples unilaterales familiares mediante exéresis-biopsia de una de las lesiones (fig. 2). Los estudios complementarios realizados (analítica completa de sangre y orina, proteinograma y radiografía de tórax) no detectaron anomalías. Dada la intensa sintomatología que presentaba el paciente, y la limitación del tratamiento quirúrgico para extirpar todas las lesiones dolorosas, se decidió realizar tratamiento médico con gabapentina. Las dosis iniciales fueron de 300 mg al día, ascendiendo progresivamente hasta alcanzar la dosis diaria de 900 mg. A las 2 semanas del iniciarse el tratamiento el paciente refería una importante disminución del dolor, de las molestias subjetivas que le ocasionaban las lesiones e incluso una disminución del tamaño de las mismas que no fue comprobado clínicamente. El paciente no presentó efectos secundarios y actualmente está con dosis de mantenimiento de 900 mg/día, realizando controles periódicos sin recidiva de su sintomatología.
Fig. 1.--Lesión de la región mandibular izquierda consistente en una placa compuesta por numerosas lesiones papulonodulares de color eritematovioláceo.
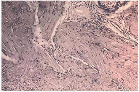
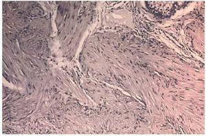
Fig. 2.--Detalle histopatológico de la dermis profunda, donde se aprecia una neoformación circunscrita compuesta por fibras musculares lisas entremezcladas con el colágeno circundante. (Hema-toxilina-eosina, ×80.)
La mayoría de los piloleiomiomas cutáneos son dolorosos, bien de forma espontánea o ante estímulos como el roce, la presión, los cambios de temperatura o el estrés emocional3. En ocasiones este dolor es muy intenso y se acompaña de una clínica vegetativa (hipotensión, vómitos, palidez) que afecta de forma importante a la calidad de vida4. El mecanismo por el cual estos tumores provocan dolor permanece aún incierto, pero se han propuesto como posibilidades la contracción del músculo liso, lo cual explicaría la sintomatología inducida por el frío4 y la compresión de las fibras nerviosas5. El tratamiento de los piloleiomiomas está orientado a controlar su sintomatología dolorosa y a mejorar la apariencia estética. Es de elección la extirpación quirúrgica cuando hay un escaso número de lesiones o cuando alguna de ellas es extremadamente dolorosa, reservando la utilización de diversos fármacos como el nifedipino6, la fenoxibenzamida7 y la nitroglicerina para aquellos casos en los que hay un gran número de lesiones. Otros tratamientos como el láser, electrocoagulación o la crioterapia son totalmente inefectivos8. Recientemente Alam et al9 describieron el primer caso de una mujer con leiomiomas cutáneos dolorosos tratados con gabapentina con excelentes resultados, apoyándose en el uso de este fármaco para el tratamiento del dolor neuropático, lo que nos motivó a realizar este tratamiento en nuestro paciente. La gabapentina, fármaco anticomicial de uso relativamente nuevo tiene un mecanismo de acción que es aún desconocido. Se ha visto que, además de bloquear los canales de calcio en el sistema nervioso central (SNC), ejerce una inhibición de la síntesis de neurotransmisores excitadores y potencia la acción inhibitoria del GABA. Ha demostrado también ser eficaz en el tratamiento de la espasticidad, por ello se ha utilizado en una gran variedad de enfermedades como tratamiento coadyuvante en el control del dolor, entre los que se incluyen la neuralgia postherpética10 o el dolor neuropático (neuralgia del trigémino, neuritis facial o neuropatía por VIH)11. Otras enfermedades cutáneas en las que este fármaco puede ser beneficioso y que en la actualidad provocan un dolor de difícil tratamiento en la práctica clínica, son la glosodinia y la vulvodinia, las parestesias poscirugía reconstructiva y el prurito braquiorradial11.
Los efectos adversos más comúnmente observados son fatiga, somnolencia, mareos, descoordinación de movimientos y pérdida de apetito. A nivel cutáneo de forma muy excepcional puede originar púrpura y edema en extremidades inferiores.
Dada la respuesta obtenida, creemos que la gabapentina puede ser considerada como una buena opción terapéutica con escasos efectos secundarios, en particular si se dirige a aquellos casos en los que, como nuestro paciente, por el gran número de lesiones y por su intensa sintomatología presenten un importante desafío terapéutico.




