INTRODUCCION
Abenoza y Ackerman añadieron en 1990 una nueva variante histopatológica al grupo de los poromas, que ellos denominaron hidroadenoma poroide 1. Se trata de una neoplasia totalmente intradérmica constituida por escaso número de islotes grandes de células poroides y cuticulares con áreas sólidas y quísticas 2. Se presenta un caso de hidroadenoma poroide localizado en la nalga izquierda.
DESCRIPCION DEL CASO
Una mujer de 74 años, sin antecedentes personales de interés consultó por la presencia de una lesión asintomática localizada en la nalga izquierda, de 5 años de evolución y crecimiento paulatino.
En la exploración se observó un nódulo de coloración rojo-violácea, de 2 cm de diámetro, bien circunscrito, sésil y de consistencia firme, localizado en la nalga izquierda (fig. 1).
Fig. 1.--Nódulo rojizo de 2 cm de diámetro localizado en la nalga izquierda.
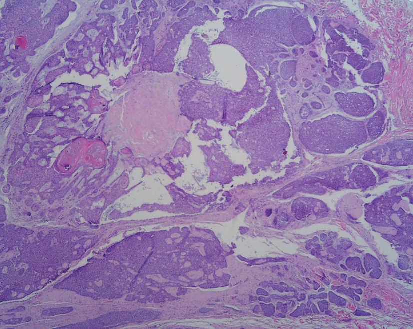
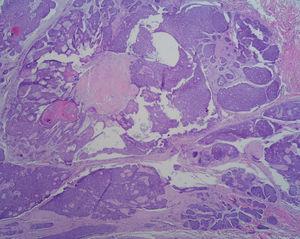
El estudio histopatológico puso de manifiesto una tumoración formada por varios nódulos dérmicos, de distintos tamaños, con componentes sólidos y quísticos (fig. 2). Las áreas sólidas estaban formadas mayoritariamente por células poroides basófilas, de núcleo redondeado u oval, con escaso citoplasma y aisladas formaciones ductales interpuestas (fig. 3).
Fig. 2.--Tumoración formada por varios nódulos dérmicos, con componentes sólidos y quísticos. (Hematoxilina-eosina, x4.)
Fig. 3.--Las áreas sólidas están formadas por células poroides basófilas, y aisladas formaciones ductales interpuestas. (Hematoxilina-eosina, x100.)
DISCUSION
Se han descrito cuatro variantes histopatológicas del poroma ecrino 1, que tienen como hallazgos comunes células poroides, células cuticulares, monomorfismo de las células poroides y cuticulares en todos los islotes de la neoplasia, hallazgos de diferenciación ductal en las células cuticulares y necrosis grasa 1-3. Se diferencian fundamentalmente por la disposición de las células neoplásicas en la dermis y la epidermis: hidroacantoma simple o poroma intraepidérmico; poroma ecrino, cuando las células conectan con la epidermis y se extienden a la dermis superficial; tumor del conducto dérmico, cuando el tumor está compuesto de nódulos situados en la dermis sin conexión con la epidermis y sin evidencia de formaciones quísticas e hidroadenoma poroide, que se trata de un poroma ecrino solidoquístico 1,2.
Sin embargo, se han descrito poromas en los que sucesivos cortes de una misma lesión han mostrado patrones neoplásicos diferentes, con combinaciones de poroma clásico, hidroacantoma simple, hidroadenoma poroide y tumor del conducto dérmico, lo que indica que las lesiones descritas no son más que diferentes expresiones histopatológicas de una misma neoplasia 2-4. En nuestro caso, tras estudiar la totalidad de la lesión con cortes seriados de la misma, no se encontraron otros patrones histopatológicos de poroma.
El hidradenoma poroide presenta hallazgos estructurales de hidroadenoma (áreas sólidas y quísticas) y características citológicas de los poromas (células poroides y cuticulares, estas últimas con diferenciación ductal) 5. Hasta la fecha se han descrito en la literatura médica alrededor de 13 casos de hidroadenoma poroide 1,5-10. Es una neoplasia benigna 11, cuya presentación suele ser como un nódulo asintomático, de coloración rojiza y con un diámetro que varía de 1 a 2 cm. La mayoría están localizados en las extremidades, la cabeza y el cuello. La edad de los pacientes varía desde los 28 a los 77 años, con un pico en la séptima década. La proporción entre varones y mujeres es de 5:8 9,10.
En los tumores con formación quística la citología por aspiración con aguja fina puede ser un método útil para ayudar en el diagnóstico 7,8.





