INTRODUCCION
Los factores estimulantes de colonias de granulocitos (G-CSF) y de granulocitos y macrófagos (GM-CSF) son factores hematopoyéticos recombinantes que pertenecen a la familia de los factores estimulantes de colonias, la cual incluye otros factores como la interleucina-3 (IL-3), la interleucina-6 (IL-6), el factor estimulante de colonias de macrófagos (M-CSF) y la eritropoyetina1. El G-CSF y el GM-CSF aumentan la proliferación, maduración y diferenciación de las líneas de células madre hematopoyéticas de granulocitos y monocitos, aumentando su número y su actividad biológica1-4.
La principal indicación de tratamiento con G-CSF y GM-CSF es la neutropenia inducida por quimioterapia y radioterapia, aunque las neutropenias de otro origen, como las congénitas, las asociadas a leucemias y a la infección por virus de la inmunodeficiencia humana (VIH) y las secundarias a fármacos3-5 también pueden responder al tratamiento con estos factores.
Se han descrito diversas reacciones cutáneas asociadas a estos fármacos, que pueden ser clasificadas en tres grupos: empeoramiento de dermatosis previas, reacciones cutáneas locales en el punto de inyección y erupciones cutáneas diseminadas3,5,6. El estudio histopatológico de estas reacciones cutáneas diseminadas asociadas con G-CSF y GM-CSF normalmente muestra infiltrados dérmicos polimorfos con un incremento en el número y tamaño de los macrófagos. El carácter específico de estas células en el infiltrado es controvertido2,4.
Se presenta un paciente que desarrolló un exantema generalizado durante el tratamiento con G-CSF y mostraba en el estudio histopatológico un infiltrado dérmico polimorfo con aspecto granulomatoso.
DESCRIPCION DEL CASO
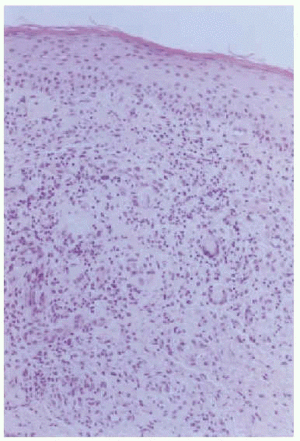
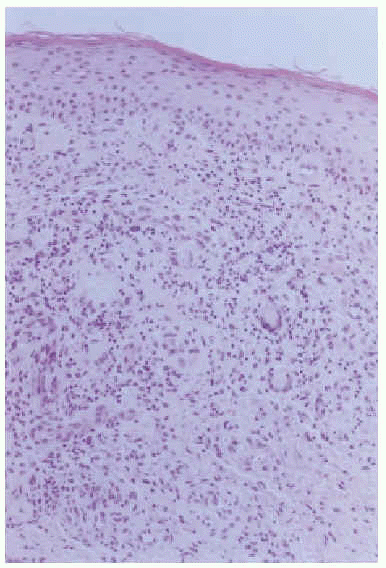
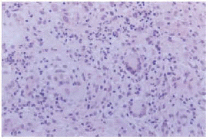
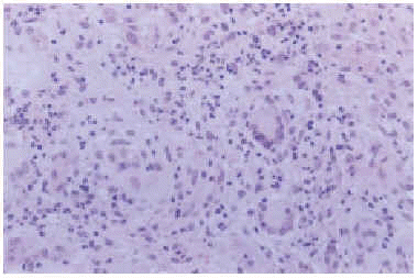
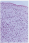
Una mujer de 67 años, con síndrome mielodisplásico (anemia refractaria con exceso de blastos) que había evolucionado a una leucemia aguda no linfoblástica de tipo M5 de la FAB, consultó por neutropenia y fiebre. Se inició tratamiento empírico con ceftacidima, amikacina, vancomicina, anfotericina B y G-CSF en dosis de 300 mg/día, por vía subcutánea, por una leucopenia grave. Cinco días después de comenzar el tratamiento con G-CSF la paciente desarrolló un exantema diseminado de aspecto polimorfo, localizado en el tronco y las extremidades. Estaba formado por áreas morbiliformes, asociadas con elementos purpúricos y liquenoides (fig. 1). El estudio histopatológico mostró un infiltrado de aspecto granulomatoso en la dermis papilar (fig. 2) formado por histiocitos, células gigantes multinucleadas, neutrófilos, eosinófilos, linfocitos y ocasionales células plasmáticas (fig. 3). La epidermis y la unión dermoepidérmica no presentaban alteraciones. Las tinciones con reacción del ácido peryódico de Schiff (PAS) y Ziehl-Nielsen fueron negativas. El estudio inmunohistoquímico demostró una moderada positividad para CD68 en las células de las estructuras granulomatosas.
Fig. 1.--Detalle del exantema con áreas morbiliformes y elementos purpúricos.
Fig. 2.--Panorámica del estudio histológico donde se observa la ocupación de toda la dermis por un infiltrado de aspecto granulomatoso.
Fig. 3.--Detalle del infiltrado en la dermis papilar con aspecto granulomatoso, compuesto por histiocitos, células gigantes multinucleadas, neutrófilos, eosinófilos, linfocitos y de forma ocasional células plasmáticas.
Las determinaciones serológicas para virus de hepatitis B y C, virus de Epstein Barr, citomegalovirus, sífilis, Legionella, fiebre Q, Mycoplasma y Chlamydia fueron negativas.
Se suspendió el tratamiento antibiótico y la anfotericina B sin modificación de las lesiones cutáneas, las cuales desaparecieron 72 h después de suspender el tratamiento con G-CSF. Sin embargo, pasados 15 días, debido a la intensa neutropenia (30 neutrófilos/ml), se reinició la administración de G-CSF, al igual que el tratamiento antibiótico, sin que se produjera recurrencia de las lesiones cutáneas. Se añadió, además, tratamiento con arabinósido de citocina y mitoxantrona sin obtener respuesta. La paciente falleció pocos días después a causa de una infección respiratoria.
DISCUSION
Se han descrito diversas reacciones cutáneas asociadas al tratamiento con G-CSF y GM-CSF. Éstas incluyen: empeoramiento de dermatosis previas (psoriasis7,8, acné9 y vasculitis leucocitoclástica)10; reacciones localizadas en los puntos de inyección (picor, eritema, lesiones urticariformes, flebitis6, vasculitis8, dermatosis liquenoides9 y erupciones pustulosas similares a la dermatosis pustulosa subcórnea)11, y erupciones cutáneas generalizadas (exantemas, vasculitis leucocitoclástica12, foliculitis diseminada8, eritema"6, epidermólisis ampollosa adquirida13, dermatosis ampollosa IgA lineal14 y dermatosis neutrofílicas como pioderma gangrenoso ampolloso superficial6 y síndrome de Sweet15-19).
Los exantemas pueden tener un patrón variable, que puede ser morbiliforme, purpúrico, urticariforme, maculopapular y verdaderas eritrodermias exfoliativas3. Normalmente se acompañan de fiebre, mal estado general, prurito y neutrofilia, debido a los efectos farmacológicos de las citocinas3. Tras la suspensión o disminución de la dosis de las citocinas las lesiones cutáneas suelen resolverse con descamación5,20. Estas erupciones pueden o no reaparecer tras la nueva administración de G-CSF o GM-CSF, según la respuesta neutrofilica del paciente, ya que estos cuadros no son verdaderas reacciones de hipersensibilidad a estos fármacos3.
En nuestro caso se consideraron varios diagnósticos diferenciales desde el punto de vista clínico. La infiltración leucémica específica fue excluida tras los hallazgos histopatológicos, los exantemas infecciosos con aspecto granulomatoso se descartaron de forma racional por el curso clínico y las serologías negativas, y del mismo modo se excluyó el exantema inducido por antibióticos o por anfotericina B. El exantema no se modificó cuando se suspendieron estos fármacos, ni cuando se reintrodujeron posteriormente. Por ello, no es probable que los antibióticos o la anfotericina B fueran la causa del exantema.
Los hallazgos histopatológicos de las erupciones diseminadas por factores estimuladores de colonias son variables, pero normalmente presentan un infiltrado dérmico polimorfo formado por neutrófilos y eosinófilos2,3,5,21. Además, pueden aparecer edema dérmico, polvillo nuclear y cambios epidérmicos importantes1,2. En algunos casos se ha descrito la presencia de histiocitos de tamaño mediano a grande con citoplasma amplio y pálido y nucleolo prominente. Algunos autores consideran estos hallazgos histopatológicos una reacción específica de G-CSF y GM-CSF1,2,5 mientras que otros4 consideran estos histiocitos como un hallazgo inespecífico, ya que también aparecen en pacientes que reciben quimioterapia sin asociación de factores estimulantes. De forma ocasional, estos histiocitos muestran mitosis y aspecto atípico, simulando un proceso maligno20.
Se ha descrito de forma ocasional un incremento de tamaño de los macrófagos en exantemas diseminados inducidos por factores estimulantes de colonias. No se ha encontrado referido previamente un infiltrado granulomatoso asociado con G-CSF y GM-CSF. Postulamos que, dado que estos factores estimulan las líneas monocito-macrófago, teóricamente podrían inducir infiltrados granulomatosos. Aunque no pueda demostrarse con certeza, la exclusión de otras causas de infiltrado granulomatoso en nuestra paciente sugiere que la reacción granulomatosa observada podría ser debida al tratamiento con G-CSF.





