INTRODUCCION
La reticulohistiocitosis multicéntrica es un tipo de histiocitosis de células no de Langerhans, de etiología desconocida, que afecta predominantemente a la piel y las articulaciones1. Las lesiones cutáneas consisten en pápulas y nódulos de coloración eritematoviolácea distribuidas preferentemente en el dorso de las manos y la cabeza. Las mucosas se ven afectadas en la mitad de los pacientes. Las manifestaciones articulares consisten en una poliartritis erosiva y deformante de manos, rodillas, muñecas, hombros, codos y tobillo, entre otras, que produce deformaciones residuales. Una característica importante de esta entidad es su asociación, hasta en el 30 % de los casos, a una neoplasia maligna oculta. Microscópicamente, las lesiones se caracterizan por un infiltrado de histiocitos y células gigantes multinucleadas con presencia de microvacuolas en su citoplasma que le dan un aspecto muy característico en vidrio esmerilado.
Se presenta un nuevo caso de reticulohistiocitosis multicéntrica en el que las lesiones iniciales cursaron con un exantema eritematoso fotodistribuido similar al de la dermatomiositis. Aunque es infrecuente, esta erupción similar a una dermatomiositis ha sido descrita previamente2.
DESCRIPCION DEL CASO
Una mujer de 43 años, sin antecedentes personales de interés, presentaba una erupción en forma de áreas eritematosas con pápulas, localizada en zonas fotoexpuestas, incluyendo brazos, y parte superior de espalda y tórax de varias semanas de evolución (fig. 1). Las lesiones eran asintomáticas. La paciente había seguido tratamiento con dosis bajas de corticoides orales, con mejoría progresiva, hasta casi desaparecer. La biopsia cutánea de una lesión del escote mostró un infiltrado histiocitario difuso, con células gigantes, y signos de elastofagocitosis, que ocupaba la dermis papilar y reticular, con alguna célula de citoplasma amplio y de aspecto en vidrio esmerilado. Al cabo de 2 meses desarrolló unas lesiones en las manos, junto con una artritis de manos, muñecas, codos y rodillas. La paciente negaba la ingesta de fármacos. Las lesiones cutáneas se localizaban en el dorso de las manos y los dedos, con predominio sobre las articulaciones interfalángicas, y en la región periungueal. Clínicamente correspondían a pápulas y nódulos de coloración eritematoviolácea, de aspecto brillante, bien delimitadas y duras a la palpación (fig. 2). Se le practicó una radiografía de manos en la que se observó una leve reabsorción de las articulaciones interfalángicas proximales junto con geodas aisladas en las falanges medias.
Fig. 1.--Exantema eritematoso previo al inicio de la sintomatología característica de la reticulohistiocitosis multicéntrica.
Fig. 2.--Lesiones papulonodulares, eritematovioláceas en el dorso de las manos.
La analítica, con hemograma, recuento y fórmula leucocitaria, bioquímica hepática y renal, fue normal. Los anticuerpos antinucleares y el factor reumatoide fueron negativos, y los valores de complemento no mostraban alteraciones.
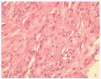
La biopsia de una lesión papulonodular de la mano mostraba una tumoración densamente poblada por células que alcanzaba dermis reticular media. Predominaban las células de citoplasma eosinófilo, de aspecto histiocítico (fig. 3), junto con células gigantes multinucleadas con microvacuolas en su citoplasma que le conferían un aspecto en vidrio esmerilado (fig. 4). Los estudios de inmunohistoquímica practicados mostraron positividad para el CD 68, mientras que la proteína S-100 y el CD 1 fueron negativos.
Fig. 3.--Tumoración densamente poblada de células de predominio histiocítico (hematoxilina-eosina, x40).
Fig. 4.--Célula gigante multinucleada con citoplasma en vidrio es- merilado (hematoxilina-eosina, x180).
El estudio con TC toracoabdominopélvica, mamografía, y marcadores tumorales, así como la exploración ginecológica y el estudio de sangre oculta en heces, no revelaron la existencia de procesos neoplásicos.
DISCUSION
La reticulohistiocitosis multicéntrica es una entidad de etiología y patogenia desconocida. No tiene prevalencia geográfica; afecta predominantemente a mujeres con un ratio mujer:hombre de 3:1 y suele presentarse en la tercera o cuarta década de la vida. La reticulohistiocitosis multicéntrica se encuadra en las histiocitosis de clase II, lo que anteriormente se denominaban histiocitosis no X, que agrupa entidades caracterizadas por la presencia de células no Langerhans, por lo tanto S100 y CD1a negativos1. Esta entidad consiste en una proliferación de histiocitos en la piel y el tejido sinovial.
Las manifestaciones cutaneomucosas suponen la forma de presentación en el 20-30 % de los pacientes1,3-5. Si existe sintomatología articular, como en nuestro caso, hasta el 60 % de los pacientes acuden a la consulta presentando las lesiones cutáneas características. Consisten en pápulas y nódulos, de pocos milímetros a 2 cm de diámetro, de coloración eritematoviolácea, rojas, incluso marrón. Tienen una superficie brillante, son duras a la palpación y se localizan de forma simétrica, sobre todo en las manos y la cabeza, aunque también se pueden observar en los brazos, el tronco y las piernas. En las manos se localizan de manera muy característica en la región periungueal3, formando una imagen en collar de perlas. En la cabeza aparecen principalmente en las orejas, el área paranasal y la línea de implantación del cuero cabelludo, produciendo una facies leonina. Las mucosas están afectadas en un 30-50 % de los pacientes, y son las localizaciones más frecuentes, la mucosa del labio y la nariz y en la lengua. En un 30 % de los pacientes las lesiones son pruriginosas y en el 15 % de éstos, la sintomatología es precedida de un exantema eritematoso difuso fotodistribuido similar al de nuestra paciente y que algunos autores han descrito como similar al de la dermatomiositis2. Por lo tanto, esta entidad debe incluirse en el grupo de las dermatosis fotodistribuidas. Se ha observado la presencia de xantelasmas palpebrales en el 25-35 % de los pacientes.
En cuanto a las manifestaciones articulares, suponen la forma de presentación en el 40-60 % de los pacientes. Se trata de una artritis simétrica, poliarticular y destructiva, que en muchos casos se diagnostica de forma errónea como artritis reumatoide. Las localizaciones más habituales son las manos (75-91 %), rodillas (65-74 %), hombros (36-70 %), muñecas (46-65 %), y con menor presencia las caderas, tobillos, pies y codos, etc.2,3. Se produce una destrucción del hueso y cartílago de las articulaciones que origina una artritis mutilante en el 35-50 % de los pacientes. Hasta el 30 % de los pacientes presentan síntomas inespecíficos como pérdida de peso, debilidad muscular, mialgias, fiebre, anorexia y adenopatías.
En la literatura médica se han descrito casos de reticulohistiocitosis multicéntrica asociada a diversas enfermedades como tuberculosis, síndrome de Sjögren, lupus eritematoso sistémico, enfermedades tiroideas, cirrosis biliar primaria, esclerodermia, o mielofibrosis idiopática y la mayoría de autores coinciden en señalar que esta asociación es casual3. Una de las características más importantes de la reticulohistiocitosis multicéntrica es la presencia de una neoplasia maligna en el 20-30 % de los pacientes2,4. Se han descrito casos de carcinoma de pulmón, estómago, mama, colon, cérvix, ovario, mesotelioma pleural, y linfoma, sin prevalecer un tipo determinado de cáncer. Por lo tanto, ante todo paciente diagnosticado de reticulohistiocitosis multicéntrica se procederá a descartar una neoplasia en cualquier localización mediante una historia clínica detallada, técnicas de imagen y laboratorio. La reticulohistiocitosis multicéntrica no se considera un síndrome paraneoplásico, puesto que tanto la reticulohistiocitosis multicéntrica como la neoplasia, en caso de ser diagnosticada, siguen un curso independiente y la curación de la neoplasia no produce mejoría de la sintomatología ni curación de la enfermedad2,4.






