El eritema necrolítico migratorio es una dermatosis infrecuente pero de gran importancia por su asociación con tumores de células alfapancreáticas. El glucagonoma es un tumor pancreático excepcional que habitualmente se diagnóstica por el síndrome que produce como consecuencia de la liberación de múltiples hormonas peptídicas. En la mayoría de los casos se trata de una neoplasia maligna, pero con una evolución lenta que permite una larga supervivencia con tratamiento médico y quirúrgico, incluso en presencia de metástasis.
Se describe una paciente cuyas lesiones en piel orientaron el diagnóstico de glucagonoma maligno situado en cola de páncreas.
DESCRIPCIÓN DEL CASO
Una mujer de 58 años fue remitida a la consulta de dermatología por presentar lesiones eritematosas de varias semanas de evolución en ambas extremidades inferiores. Como antecedentes personales destacaban infecciones urinarias de repetición e intolerancia hidrocarbonada de reciente comienzo. A la exploración se observaban máculas rosadas con fina descamación en láminas localizadas en cara anterior de ambos miembros inferiores, tronco y cuello (fig. 1). Además presentaba discretas lesiones de rascado y glosopirosis. La paciente mostraba un deficiente estado de nutrición.
Fig. 1.—Lesiones con centro curativo, descamación periférica y eritema circundante.
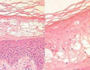
Fig. 2.—Necrosis del tercio externo de la epidermis con despega-miento superficial. (Hematoxilina-eosina, A, ×40; B, ×100.)
En la analítica se detectó hiperglucemia de 140 mg/ dl. El hemograma fue normal, con velocidad de sedimentación globular de 31 mm/h. Se realizó biopsia cutánea que fue informada como compatible con eczema crónico. Se pautó deflazacort, 30 mg diarios durante 10 días, prednicarbato tópico y enjuagues con nistatina, con lo que la paciente mejoró de sus lesiones. Sin embargo, pasado un mes surgieron ampollas flácidas que se rompían con facilidad y drenaban escaso líquido transparente. Además se observó queilitis angular y glositis. Se realizó nueva toma de biopsia en la que se observaba un despega-miento epidérmico con necrosis epidérmica superficial (fig. 2). Se solicitaron nuevas analíticas, destacando lo siguiente: insulina, 6 U/ml (normal, 6-27); péptido C, 1,3 ng/ml (normal, 0,5-14); biotina, 91 ng/ml (normal, > 200), cinc, 86 g/dl (normal, 60-150); glucagón, 310 pg/ml (normal, 60-170); triglicéridos, 19 mg/dl; glucosa, 189 mg/dl y hemograma dentro de la normalidad. La ecografía mostró un quiste parapiélico izquierdo de 6 mm y una imagen sugerente de colesterolosis sin otras anomalías. En la tomografía computarizada (TC) abdominal se observaba una tumoración pancreática que se confirmó mediante gammagrafía abdominal como captante de octreótida.
Con la sospecha de glucagonoma se preparó para la intervención con infusión de aminoácidos y ácidos grasos esenciales y se administró la vacuna antineumocócica. Se realizó una pancreatectomía corporocaudal con esplenectomía, encontrándose un tumor de 7 × 5 cm de diámetro, que correspondía histológicamente a un glucagonoma maligno. Tras la intervención, las lesiones cutáneas se resolvieron mediante descamación en láminas. En la actualidad la paciente sigue tratamiento con octreótida subcutánea mensual sin recidiva clínica tras un año de seguimiento.
COMENTARIO
El glucagonoma representa aproximadamente el 4 % de los tumores endocrinos intestinales1 , siendo el tercero tras el insulinoma y el gastrinoma. A su vez los tumores endocrinos son el 2 % de los tumores del sistema digestivo. Es más frecuente en mujeres a partir de los 45 años, con una edad media de 52,5 años2 . Se origina en las células alfapancreáticas localizadas principalmente en cuerpo y cola de páncreas. Es un tumor productor de glucagón y de otras hormonas peptídicas3 . Puede ser benigno o maligno; el primero rara vez presenta lesiones cutáneas; pero en al menos un 60 % de los malignos aparece eritema necrolítico migratorio. En un 13 % forma parte de neoplasias endocrinas múltiples tipo 1 (MEN I), con tumores múltiples y benignos. El crecimiento es lento, con una larga supervivencia que supera el 50 % a los 10 años en presencia de metástasis y está próxima al 65 % en ausencia de éstas3 . La localización más habitual de las metástasis es el hígado (79,9-90 %), seguida de las linfáticas (30-37,8 %), vértebras, ovarios y peritoneo2 .
El eritema necrolítico migratorio consiste en máculas eritematosas de crecimiento centrífugo localizadas principalmente en zonas periorificiales, cara, abdomen, glúteos y piernas, que evolucionan en brotes de entre 1 y 4 semanas de duración. Es habitual la confluencia de las máculas para formar placas de crecimiento serpinginoso con pápulas, ampollas y despegamiento superficial con descamación en el borde activo. Al curar deja una hiperpigmentación postinflamatoria residual. Suele haber lesiones por excoria-ción4,5 . En el 90 % de los casos se relaciona con glucagonoma, pudiendo ser el primer signo de éste. El 10 % restante se asocia a enfermedades que producen déficit nutricionales, principalmente de aminoácidos, cinc y/o ácidos grasos esenciales, entre otros (tabla 1)6 . En ocasiones las lesiones cutáneas adoptan un aspecto psoriasiforme, debiendo sospecharse glucagonoma ante una psoriasis extensa que no mejora con tratamiento mantenido y que se asocia a algún otro síntoma del síndrome7 (tabla 2).
La analítica revela elevación de las cifras de glucemia, glucagón y otras hormonas peptídicas, hiperglucemia y disminución de albúmina, cinc y aminoácidos esenciales.
La fisiopatología del síndrome del glucagonoma puede ser explicada por la secreción elevada de glucagón, que produciría un aumento de la gluconeogénesis, glucogenolisis y cetogénesis y conllevaría un estado catabólico con un consumo aumentado de metabolitos esenciales que conduciría por una parte a caquexia y por otra a diabetes mellitus. El descenso de aminoácidos esenciales produce una ralentización de la síntesis proteica, destacando la albúmina, que es el principal transportador de cinc. Este es fundamental para muchas metaloproteínas, entre ellas la -6-de-saturasa necesaria para la transformación de unos ácidos grasos esenciales en otros8 . Frente al descenso de aminoácidos en sangre se produce un aumento de ácido araquidónico en la epidermis produciendo un efecto inflamatorio sobre la misma. A favor de esta teoría tenemos casos de pacientes que de forma iatrogénica desarrollan este síndrome al suministrar glucagón, la desaparición del síndrome al extirpar el tumor y su reaparición al recidivar, su control con somatostatina y análogos que inhiben la síntesis de glucagón o su desarrollo al trasplantar células tumorales productoras de glucagón en ratones. Sin embargo, existen glucagonomas secretores y otras enfermedades con glucagón elevado que no provocan síndrome de glucagonoma y, por otra parte, hay enfermedades en las que el glucagón no se altera y se asocian al síndrome de glucagonoma (tabla 1)6 . Además, dentro de los pacientes con síndrome de glucagonoma hay periodos de remisión en los que las cifras de glucagón no se modifican.
Las células alfa secretan al menos cuatro péptidos derivados del glucagón cuyas proporciones se alteran en el glucagonoma y otros péptidos con actividad hormonal. Por ejemplo, tras trasplantar un glucagonoma en ratones, la elevación del péptido similar al glucagón 1 tiene efectos sobre el hipotálamo produciendo anorexia y adipsia central que no se ve compensada con la elevación de neuropéptido Y9 . Esto explicaría la existencia de glucagonomas sin síndrome típico. Kasper y McMurry10 sugieren que un metabolismo hepático alterado podría modificar las proporciones de las distintas formas de glucagón en sangre y es la causa del eritema necrolítico migratorio en pacientes con cirrosis o hepatitis. Por otra parte, las enfermedades citadas en la tabla 1 vendrían a producir por otros mecanismos un efecto similar al del glucagón bien por aumento de consumo, bien por falta de absorción, disminución de síntesis o aumento de catabolismo, una reducción de nutrientes esenciales. En estos casos, al administrar las sustancias deficitarias se atenúan o desaparecen los síntomas.
El diagnóstico del eritema necrolítico migratorio seapoya en la biopsia cutánea. Ésta debe tomarse de la zona periférica de las lesiones activas, preferentemente de zonas de despegamiento. En ocasiones se requieren tomas repetidas hasta establecer el diagnóstico. Se observa necrosis epidérmica superficial en el tercio superior de la epidermis con despegamiento superficial y formación de hendiduras en el estrato córneo, dando el típico aspecto “en bandera”. La necrosis superficial es clave para el diagnóstico de esta entidad y su distinción en los casos de aspecto clínico psoriasiforme11 . Hay hiperqueratosis orto o paraqueratósica, abscesos con neutrófilos en las capas superficiales. Existe edema y acantosis irregular con hiperplasia de células ba-sales. En la dermis se observa moderado infiltrado inflamatorio perivascular de predominio linfocítico. El diagnóstico del glucagonoma se basa en la elevación de las cifras de glucagón en sangre y en la demostración de la lesión tumoral mediante endoscopia, ecografía, TC, resonancia magnética (RM), angiografía selectiva y, recientemente, por gammagrafía selectiva con somatostatina y octreótida.
TABLA 1. PATOLOGÍA ASOCIADA A ERITEMA NECROLÍTICO MIGRATORIO
TABLA 2. ALTERACIONES POSIBLES EN EL SÍNDROME DE GLUCAGONOMA
El tratamiento es quirúrgico, mediante la extirpación que habitualmente incluye esplenectomía12 . Está indicado incluso en presencia de metástasis de pequeño tamaño. Como coadyuvante o cuando la cirugía esté contraindicada pueden utilizarse análogos de la somatostatina como la octreótida o el pentetreótido en forma de inyecciones mensuales que inhiben el paso de proglucagón a glucagón13 . También se ha usado el interferón, con peores resultados, y quimioterápicos como la estreptozozina, doxorubicina y 5 fluorouracilo. Para mejorar el estado de salud y disminuir los síntomas cutáneos, previamente a la intervención se pueden administrar dieta parenteral que incluya infusión de aminoácidos, ácidos grasos omega tres y ácido -linolénico y sulfato de cinc8 . Las metástasis pueden ser tratadas mediante cirugía, embolización, crioablación, ablación por radiofrecuencia en el caso de las hepáticas o quimioterapia14 . La evolución de los pacientes afectados de síndrome de glucagonoma suele ser progresiva; sin embargo, el crecimiento del tumor es lento y se beneficia de cirugía paliativa incluso en presencia de metástasis. El tratamiento de mantenimiento con somatostatina alarga la supervivencia y evita la reaparición de la clínica cutánea. Es conveniente monitorizar periódicamente los niveles de glucagón en sangre e instruir al paciente para que acuda en caso de aparecer alguno de los signos de síndrome de glucagonoma.
El pronóstico viene dado por el tamaño del tumor (límite en 4 cm), la invasión de estructuras vecinas, sobre todo arteriales, la presencia, número, localización y tamaño de las metástasis y la respuesta al tratamiento biológico. Entre los criterios microscópicos destacan el grado de diferenciación del tumor, el número de mitosis, penetración capsular, atipias nucleares e inmunorreactividad a la calcitonina. Se ha descrito una supervivencia superior a 24 años pese a la presencia de metástasis15 .
AGRADECIMIENTO
Agradecemos al Dr. Manuel López Cantarero la aportación de las imágenes de la intervención.
Correspondencia:
Francisco Mendoza-Guil. Pintor Zuloaga, 14, 6.º H. 18005 Granada. España. mendozafrancisco@wanadoo.es
Recibido el 27 de octubre de 2004. Aceptado el 26 de enero de 2005.










 
 
		
