INTRODUCCION
La foliculitis pustulosa eosinofílica (FPE) o enfermedad de Ofuji es una dermatosis crónica, poco frecuente y de etiología desconocida 1. Consiste en la aparición de brotes recurrentes de pápulas y pústulas estériles de localización folicular predominantemente en áreas seborreicas, y a nivel histopatológico se caracteriza por un infiltrado inflamatorio mixto con numerosos eosinófilos en los folículos pilosos y alrededor de los mismos 2,3. En 1970 Ofuji y sus colaboradores aportaron 3 nuevos casos de esta nueva entidad, denominando a esta enfermedad «foliculitis pustulosa eosinofílica» 4,5. Debido a que las pústulas se localizaban en áreas donde no existen folículos, como las palmas y las plantas, algunos autores consideran más apropiado el término «pustulosis eosinofílica estéril o dermatosis pustulosa eosinofílica» 2,6. La mayoría de los casos descritos son de raza japonesa, aunque se han publicado varios en pacientes europeos, afectando en más del 80 % de los casos a varones en la tercera o cuarta década de la vida 7.
Generalmente suele asociarse a enfermedades hematológicas malignas, más raramente a medicamentos y es excepcional su aparición en individuos sanos inmunocompetentes 8,9. Presentamos un caso de enfermedad de Ofuji en una mujer nacida en Vitoria, en la que no se pudo demostrar ningún tipo de patología asociada. El tratamiento con indometacina ha conseguido la remisión de la enfermedad, sin recidiva después de más de un año de seguimiento.
CASO CLINICO
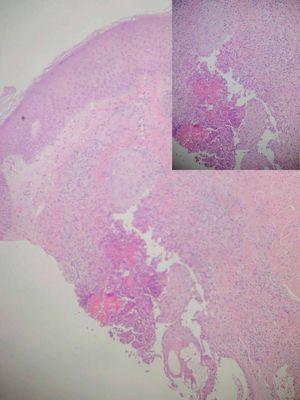
Mujer de 35 años sin ningún antecedente médico-quirúrgico de interés y sin tratamiento farmacológico habitual, que consultó por una dermatitis pruriginosa de 4 meses de evolución, refractaria a diversos tratamientos prescritos (antibióticos y corticoides orales, así como dapsona). La erupción se inició en glúteos y posteriormente se fue extendiendo a cara, tronco y extremidades. La exploración cutánea reveló la presencia de múltiples pápulas y pústulas foliculares, que llegaban a formar placas en alguna zona y se apreciaba en otras un crecimiento excéntrico, adoptando una morfología anular. Afectaba principalmente la cara, cuello y tronco, pero también las extremidades superiores e inferiores, incluyendo además ambas palmas de las manos (figs. 1 y 2). No presentaba adenopatías, ni se palpaban organomegalias. El cuadro clínico evolucionaba de forma progresiva, con aparición de nuevas lesiones, persistiendo muchas de ellas, e involucionando otras dejando hiperpigmentación residual. Se habían realizado 2 biopsias en otro centro con diagnóstico histológico de dermatosis pustular subcórnea. En nuestro Servicio se efectuaron nuevas biopsias y en todas ellas se apreciaban hallazgos semejantes, con pústulas subcorneales sin ninguna relación con folículos, acompañadas por un denso infiltrado eosinofílico. Continuaron realizándose estudios histológicos hasta demostrar la presencia de un infiltrado de leucocitos polimorfonucleares con elevada proporción de eosinófilos a nivel del infundíbulo, llegando a destruirlo en alguna zona (fig. 3). Este infiltrado también se observaba focalmente en las glándulas sebáceas y producía en alguna ocasión espongiosis, pústulas y/o abscesos foliculares eosinofílicos.
Fig. 1.--Pápulas-pústulas foliculares agrupadas en frente y mejillas.
Fig. 2.--Lesiones de aspecto arciforme afectando extensamente el tronco.
Fig. 3.--Se observa destrucción de pared de folículo piloso por un infiltrado inflamatorio, con abundante material granular eosinofílico procedente de eosinófilos degranulados (figuras en llama). Ver aproximación.
La inmunofluorescencia directa fue negativa. Entre los datos de laboratorio realizados destacaba una anemia discreta (Hb:10,1) con macrocitosis (103,6) y discreto aumento de transaminasas de origen medicamentoso. Fueron negativas las serologías para virus de la inmunodeficiencia humana (VIH), así como varios cultivos de exudados y tejido. Se inició tratamiento con indometacina (150 mg/día) en dosis decreciente hasta alcanzar en 8 semanas la dosis de 50 mg diaria. A partir del cuarto mes de tratamiento se consiguió una remisión completa del cuadro clínico, que persiste tras un año de seguimiento.
DISCUSION
La FPF o enfermedad de Ofuji se caracteriza por la aparición de brotes recurrentes de pápulo-pústulas foliculares estériles, que configuran placas de morfología anular o circinada y que tienden a la progresión centrífuga y a la involución central 10. La distribución preferente de las lesiones es en las zonas más seborreicas de la piel: cara, tronco y la superficie de extensión de las extremidades superiores 11,12. Existe también afectación palmoplantar en la quinta parte de los pacientes, que en ocasiones incluso puede ser la única manifestación 13. El prurito y la eosinofilia periférica son hallazgos bastante habituales, se encuentran en el 50 % de los casos 10. Desde el punto de vista histopatológico, existe un infiltrado no sólo folicular, sino además perifolicular y perivascular. A nivel del infundíbulo folicular se puede apreciar espongiosis y posterior vesiculación de la vaina epitelial externa a expensas de un infiltrado de eosinófilos y algunas células mononucleares. La glándula sebácea suele estar afectada y a veces se llega incluso a su destrucción 14,15.
Existen 3 principales variantes clínicas de FPE; la FPE clásica o enfermedad de Ofuji, la FPE asociada a VIH y la FPE infantil 7. Sin embargo, se trata más bien de tres entidades individualizadas que comparten únicamente sus características histopatológicas. La FPE asociada a VIH se manifiesta fundamentalmente como pápulas aisladas foliculares y no foliculares, siempre pruriginosas, que evolucionan a la cronicidad y que en ocasiones tienen buena respuesta al tratamiento con ultravioleta B (UVB) e isotretinoína 16. La FPE infantil, que aparece en los primeros años de vida, afecta a cuero cabelludo y frente y se relaciona con alguna inmunodeficiencia 17.
Creemos que en nuestro caso tanto la clínica como el patrón histológico de reacción folicular eosinofílica corresponden a la variante de FPE clásica o enfermedad de Ofuji. No se pudo demostrar la existencia de otra enfermedad acompañante con las pruebas realizadas; no obstante, es necesario un futuro seguimiento para poder confirmarlo, dada su posible aparición tardía. Al igual que otros autores habían referenciado previamente, pudimos ver también una afectación clínica en las palmas de las manos de nuestra paciente 13. Además, hay que señalar que desde el punto de vista histopatológico, el cuadro fue confundido con otras formas de dermatosis pustular subcórnea, debido a que en etapas iniciales no se observaba una afectación folicular ni un infiltrado eosinofílico. Podrían interpretarse estos cambios histológicos encontrados como un estadio evolutivo que precede a la formación de la pústula folicular o como formando parte del espectro de la enfermedad. Por tanto, como las alteraciones histológicas de FPE no siempre están localizadas a nivel del folículo, sobre todo en estadios iniciales, se plantea el diagnóstico diferencial con la dermatosis pustular subcórnea 1,18. Destacamos el hecho de que al ser una enfermedad poco conocida y poco frecuente los pacientes son sometidos a múltiples consultas, biopsias y diferentes tratamientos hasta conseguir un correcto diagnóstico y una terapia adecuada 19. La respuesta en la FPE es muy variable, por lo que se han empleado múltiples tratamientos 20; entre otros: corticoides orales y tópicos, dapsona 21,22, sulfapiridina, oxifenbutazona, aspirina, colchicina, clofazimina, tetraciclina, metronidazol 23, isotretinoína 24, acitretino, ciclosporina 25, interferón gamma, interferón alfa 2b 26,27, cetotifeno, fototerapia UVB 28 y fotoquimioterapia PUVA. La indometacina es uno de los tratamientos más eficaces y sin apenas efectos secundarios, siendo considerado de elección por algunos autores 29,30. Recientemente se han publicado varios casos con buena respuesta al tacrolimus tópico 31.
La etiología de la FPE es desconocida. Entre las hipótesis fisiopatológicas, inicialmente se especulaba sobre un papel de la actividad sebácea, puesto que en los lípidos de la superficie cutánea obtenidos de áreas seborreicas de los enfermos se demostró la existencia de factores quimiotácticos para los eosinófilos 10,32. Aunque la FPE es considerada una foliculitis con pústulas estériles, se han comunicado algunos ejemplos interpretados como FPE, en los cuales se pudo establecer relación con agentes etiológicos específicos (Demodex foliculorum, dermatofitos, Pseudomonas aeruginosa, larva migrans, etc.) 33-35. Se trataría de una reacción de hipersensibilidad foliculocéntrica a estímulos antigénicos de localización folicular.
La FPE es consecuencia probablemente de una disregulación del sistema inmunológico que favorece el protagonismo del eosinófilo como célula efectora 36. Como consecuencia de ello, ciertas citocinas, como la interleucina 5 (IL-5) y el interferón gamma presentan niveles alterados 37. Además la expresión de ciertas moléculas de adhesión (ICAM-1) y otros metabolitos derivados de la ciclooxigenasa también determinarían la migración selectiva de los eosinófilos hacia la vaina epitelial externa folicular 38. En los últimos estudios se ha sugerido que la producción de oxido nítrico por los eosinófilos pueda tener un cierto papel patogénico 39.
Finalmente, aunque en general se trata de una enfermedad poco descrita en nuestro medio; ante un cuadro de pustulosis que evoluciona con brotes intermitentes y con resistencia a los tratamientos antimicrobianos debemos plantearnos su diagnóstico.
Declaración de conflicto de intereses
Declaramos no tener ningún conflicto de intereses.
Correspondencia:
I. García-Río. Servicio de Dermatología. Hospital Santiago Apóstol. Olaguibel, 29. 01004 Vitoria-Gastiez. España.
irene@aedv.es
Recibido el 31 de enero de 2006.
Aceptado el 17 de mayo de 2006.





