La enfermedad de Grover (EG) fue clasificada por años como una dermatosis acantolítica y transitoria. Hoy se sabe que no necesariamente es transitoria1, y que puede mostrar diferentes patrones histológicos además de los 4 acantolíticos clásicos (Hailey-Hailey, Darier-like, espongiótico y pénfigo-like)2,3. Durante los últimos años se han dado a conocer diferentes tipos histológicos no clásicos como: el dismadurativo, el liquenoide, el vesicular, el de tipo poroqueratósico2, el lentiginoso4 e incluso una forma seudoherpética5. El factor común entre ellos es que la acantólisis y disqueratosis pueden no ser el hallazgo principal, ser focal o incluso estar ausente2, razón por la cual esta entidad puede representar un desafío a la hora del diagnóstico histológico.
La importancia de esto radica en que el polimorfismo en los hallazgos histopatológicos no se asocia a variaciones clínicas significativas en la mayoría de los casos. Por lo cual la correlación clínico-patológica es fundamental, en especial en lesiones tempranas, para poder llegar a un diagnóstico adecuado2,4.
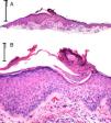
Caso clínicoUn varón de 53 años, sin enfermedad de base conocida, presenta lesiones tipo pápulas en región superior del tórax, axilas (fig. 1) y pubis, pruriginosas, de más de 10 años de evolución. Las mismas se exacerban con la exposición al calor y la sudoración.
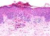
En la histopatología se observó la formación de una lamela cornoide con una columna de paraqueratosis (fig. 2) asociado a espongiosis, daño vacuolar focal y extravasación de eritrocitos (fig. 3). La dermis mostró un infiltrado inflamatorio perivascular inespecífico. Se realizó el diagnóstico de una enfermedad de Grover de tipo poroqueratósico.
La EG fue descrita en 1970 inicialmente, siendo 2 los patrones histológicos relacionados con la misma: tipo Darier y Hailey-Hailey6. En 1977 el mismo autor describió los otros patrones acantolíticos clásicos bien conocidos7.
Desde entonces la EG fue estudiada en sus aspectos clínicos y epidemiológicos, describiendo 3 formas clínicas diferentes: transitoria, persistente y crónica-asintomática1, y de predominio estacional8. En los últimos años han sido reevaluadas las características histológicas inicialmente propuestas por Grover y Park en 19706, encontrando como resultado una entidad polimorfa distinguiendo al menos 9 patrones histológicos relacionados con la enfermedad. En 2010, Melwani et al. en su análisis de 22 casos, describen el patrón lentiginoso, como un patrón temprano4. Ese mismo año, Fernández-Figueras et al., en su revisión de 120 casos, agrega 5 subtipos histológicos a los 4 inicialmente descritos por Grover et al.7: lentiginoso, liquenoide, vesicular, dismadurativo y poroqueratósico2.
Fernández-Figueras et al.2 describen por primera vez el patrón poroqueratósico como una forma histológica infrecuente de EG, caracterizada por la formación de una lamela cornoide, no asociada a hiperplasia epidérmica, disqueratosis ni acantólisis, pudiendo existir espongiosis y daño vacuolar basal, como en el caso reportado.
Aunque la presencia de columnas de paraqueratosis en la EG ya había sido descrita en el patrón tipo Darier, asociada con disqueratosis, cuerpos redondos y acantólisis1,7, no se había descrito la presencia de la misma como hallazgo único. Debe tenerse en cuenta que la presencia de columnas de paraqueratosis es un hallazgo histológico llamativo, pero no es específico y puede ser encontrado en múltiples entidades (tabla 1)9.
La EG de tipo poroqueratósico es una entidad poco frecuente, menos del 5% en la serie de casos de Fernández-Figueras et al.2, con pocos casos reportados en la literatura.
Estos patrones poco comunes pueden ser difíciles de reconocer, ya que los cambios pueden ser sutiles, focalmente representados o estar combinados1,2,4. Así, en el presente caso además del patrón tipo poroqueratósico existen áreas con patrón espongiótico y daño vacuolar de la capa basal (fig. 3).
La presencia de estos patrones acantolíticos y no acantolíticos abren la posibilidad de encontrarnos ante una entidad polimorfa que puede ser frecuentemente infradiagnosticada en la práctica diaria.
El interés de nuestro caso radica en que la EG de tipo poroqueratósico es una variante histológica infrecuente que no presenta los cambios clásicos de disqueratosis y acantólisis2. La variabilidad en el aspecto histológico de la EG ha conducido a que esta sea incluida en el diagnóstico diferencial de múltiples entidades1,2.
Reconocer la existencia de los patrones histológicos no clásicos evita la interpretación errónea y la realización de nuevas biopsias2, siendo la correlación clínico-patológica fundamental para llegar al diagnóstico.
Conflicto de interesesLos autores declaran no tener ningún conflicto de intereses.






