INTRODUCCION
La endometriosis se define como la presencia de tejido endometrial funcionante (glándulas y estroma) fuera de su ubicación habitual, la cavidad uterina. Aunque generalmente se localiza en la pelvis no es infrecuente la afectación de otros órganos, entre los que se encuentra la piel.
La endometriosis cutánea es rara y constituye la localización más común de la endometriosis extrapélvica, distinguiéndose entre formas primarias y secundarias. Las formas secundarias, que son las más frecuentes, están representadas por aquellos casos en los que la enfermedad surge sobre cicatrices quirúrgicas previas de histerectomía, cesárea, laparotomía o episiotomía. Mucho más raras son las formas espontáneas o primarias, que suelen localizarse en el ombligo 1, en la región perianal o en la inguinal.
La verdadera prevalencia de la endometriosis extrapélvica es aún desconocida, ya que la mayoría de los artículos publicados hacen referencia a casos aislados. Se estima que puede aparecer en torno a un 12 % de las mujeres en edad fértil 2 y su localización más frecuente es la intrapélvica. La edad de presentación oscila entre los 30-40 años, ligeramente superior a los casos de afectación pélvica, que oscila entre los 25-30 años 3.
La endometriosis puede afectar a prácticamente todos los órganos a excepción de corazón y del bazo, lo que podría explicarse por el efecto inmunológico del mismo 4. Aunque se considera una patología típicamente femenina hay 4 casos descritos en varones que han recibido altas dosis de estrógenos como tratamiento del cáncer de próstata 1.
CASO CLINICO
Una mujer de 39 años de edad, sin antecedentes médico-quirúrgicos patológicos, secundigesta, con partos eutócicos y fórmula menstrual 4-5/28-30, que acudió a nuestra consulta por presentar una lesión nodular a nivel umbilical de color marrón. Dicha lesión presentaba aproximadamente un año de evolución, había crecido lentamente y en la actualidad era ligeramente dolorosa. No refería sangrado ni fluctuación cíclica del tamaño en relación con la menstruación.
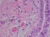
En la exploración física se observó una tumoración umbilical cupuliforme de unos 8 mm de diámetro, blanda y marronácea (fig. 1). El estudio histopatológico de una biopsia en sacabocados realizada mostró la presencia de glándulas endometriales con un estroma celular denso, localizadas en el espesor del tejido colágeno de la dermis (fig. 2). A mayor detalle estas estructuras glandulares se encontraban tapizadas por epitelio columnar (fig. 3).
Fig. 1.--Nódulo umbilical de 8 mm de diámetro de coloración marronácea.
Fig. 2.--Panorámica del estudio histopatológico donde se observan glándulas endometriales en el espesor de la dermis (H&E,x 10).
Fig. 3.--Detalle de una cavidad que muestra cómo las estructuras glandulares, rodeadas de un estroma endometrial, están tapizadas por epitelio columnar (H&E, x 100).
Se realizó el diagnóstico de endometriosis umbilical y se procedió a su extirpación, previa confirmación mediante exploración ginecológica de la ausencia de tejido endometrial en otras localizaciones. La paciente presentó una evolución satisfactoria, permaneciendo asintomática y sin signos de recidiva lesional transcurrido un año de la extirpación.
DISCUSION
La endometriosis cutánea umbilical es una forma rara de presentación de la endometriosis, descrita en 1886 por Villar y cuya incidencia se estima que oscila entre el 0,5 % y el 1 % de todas las pacientes con ectopia endometrial 5-7. Aunque en la mayoría de los casos aparece sobre las cicatrices quirúrgicas de intervenciones abdominales o pélvicas en mujeres en edad fértil, hay casos de aparición espontánea como el que presentamos 6,8,9.
La etiopatogenia de la endometriosis cutánea y especialmente de la umbilical no está clara, pero se han postulado diversas teorías, aún no comprobadas, para la explicación de la misma. Ejemplos de estas teorías son la embolización de tejido endometrial por vía linfática o sanguínea que explicaría los casos espontáneos, la implantación metastásica por reflujo retrógrado posterior a una intervención quirúrgica abdominal o pélvica, la persistencia de restos embriológicos de tejido mulleriano 10, regurgitación tubular y la de la metaplasia de células pluripotenciales mesenquimales que se transforman en implantes endometriales. Sin embargo, la mayoría de los casos no son explicables por medio de una sola de estas teorías, sino que requieren la aplicación conjunta de varias de ellas. La apetencia de las células endometriales por las cicatrices es evidente, por ello el ombligo se comportaría como una cicatriz fisiológica para el asentamiento de dichas células, lo que explicaría los casos de endometriosis umbilical espontánea 11.
Clínicamente se presenta como un nódulo solitario, excepcionalmente múltiple, de coloración azulada, marronácea o negruzca y de pequeño tamaño, aunque puede aumentar y volverse doloroso en la fase premenstrual y producir secreciones o hemorragias durante la menstruación. La ausencia de estos síntomas característicos de endometriosis dificulta el diagnóstico 12, como en nuestro caso.
Histológicamente se observan hallazgos de la fase secretora y proliferativa del endometrio sin una correlación clara con el ciclo menstrual 12,13. En casos de duda diagnóstica, la positividad de los estudios inmunohistoquímicos con anticuerpos monoclonales contra receptores estrogénicos y de progesterona y la negatividad para el antígeno carcinoembrionario complementan el diagnóstico 14,15, aunque la tinción de hematoxilina-eosina suele ser suficiente 12.
Requiere el diagnóstico diferencial con una multitud de lesiones que pueden aparecer en el área umbilical, entre las que destacamos desde lesiones benignas (hernia umbilical irreductible, granuloma piogénico, granuloma de cuerpo extraño, hemangioma, onfalitis y restos embriológicos) hasta procesos malignos (tumores anexiales, enfermedad de Crohn metastásica, metástasis del tracto gastrointestinal o nódulo de la hermana María José y el melanoma) 16.
Para realizar este diagnóstico diferencial además de los estudios histopatológicos disponemos de otras técnicas como la microscopía de epiluminiscencia y la resonancia magnética nuclear (RMN). La microscopía de epiluminiscencia se ha propuesto como una técnica no invasiva muy útil, que nos ayuda a diferenciar la endometriosis cutánea del melanoma, encontrándonos un patrón con una pigmentación roja homogénea en la periferia centrada por estructuras globulares profundas (red atolls) que corresponden a las glándulas irregulares rellenas de eritrocitos dispuestas en un estroma homogéneo 7. Sin embargo es la RMN 17 la técnica más útil para delinear el tamaño de las lesiones, determinar su ubicación correcta y para excluir o confirmar la presencia de lesiones a nivel intraabdominal.
La transformación maligna en un carcinoma endometrial es excepcional, y ocurre en mujeres con lesiones de larga evolución que no han sido tratadas 5,18. Dada la posible confusión con metástasis de adenocarcinomas siempre se debe realizar el estudio histopatológico de las lesiones 12.
La escisión quirúrgica del endometrioma umbilical, respetando el ombligo cuando es posible, es el tratamiento de elección 18, con escasas recidivas tras una adecuada extirpación. Es preciso investigar la coexistencia de una endometriosis pélvica, principalmente si aparecen síntomas de dismenorrea o dispauremia, en cuyo caso se valorará la terapia hormonal.
Queremos destacar con este caso presentado una forma clínica poco habitual de una patología relativamente frecuente como es la endometriosis. Estimamos que esta entidad debe ser considerada siempre en el diagnóstico diferencial de las tumoraciones o lesiones umbilicales.
Declaración de conflicto de intereses
Declaramos no tener ningún conflicto de intereses.
Correspondencia:
M.ª Teresa Bordel Gómez.
Servicio de Dermatología.
Complejo Asistencial Virgen de la Concha.
Martínez Villergas, 6, 1.º B.
49003 Zamora. España.
matebordel@yahoo.es
maitebordel@aedv.es
Recibido el 8 de abril de 2006.
Aceptado el 15 de septiembre de 2006.





