Bajo el término de dermatosis granulomatosas faciales tienden a agruparse una serie de procesos caracterizados por pápulas faciales cuyo sustrato histológico son granulomas epitelioides. Presentamos el caso de una paciente que se podría englobar dentro de esta entidad tanto clínica como histológicamente, siendo un buen ejemplo de la dificultad de manejo de estos pacientes.
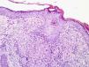
Se trata de una mujer de 64 años, sin antecedentes personales ni familiares de interés, que en 2005 consultó por lesiones faciales asintomáticas. En la exploración física presentaba pápulas eritematosas de 1mm de diámetro localizadas a nivel peribucal, sin comedones, ni pústulas (fig. 1). Con la sospecha inicial de dermatitis perioral inició tratamiento con doxiciclina v.o. (100mg/12h) durante 3 meses, sin mejoría, por lo que se realizó una biopsia en la que hallaron, en zonas próximas a los folículos pilosos, estructuras granulomatosas múltiples constituidas por células epitelioides con corona linfocitaria con necrosis central, compatible con lupus miliar diseminado facial (LMDF). Se realizó tinción Ziehl Nielsen sobre la pieza histológica que fue negativo para BAAR (fig. 2).
El resto de pruebas complementarias: hemograma, VSG, bioquímica, calcio, Mantoux, radiografía de tórax y niveles de enzima convertidora de angiotensina fueron normales.
A partir de entonces la paciente recibió prednisona oral, con respuesta solo con dosis superiores a 20mg/d. No ha tolerado minociclina, sulfona ni talidomida y con isotretinoina oral presentó un brote intenso de lesiones que se extendieron a nivel periocular y malar (fig. 3).
A lo largo del tiempo, los brotes han ido afectando a la región periocular, mejillas y cuello acompañándose en el último año de episodios de rubor facial. Algunas lesiones dejaban cicatrices puntiformes.
A los 3 años del diagnóstico inicial, una nueva biopsia mostró de nuevo granulomas epitelioides en relación con los folículos pilosos, algunos de ellos con necrosis central, siendo informada de rosácea granulomatosa.
Debido al fracaso continuo del tratamiento y por la gran afectación facial y ocular de las lesiones, se decidió finalmente, iniciar tratamiento con azitromicina oral (500mg/d) 3 veces a la semana, con respuesta inmediata a las 2 semanas y mantenido 7 meses después.
El LMDF fue descrito en 1878 por Tibory Fox bajo el término de lupus diseminado folicular y posteriormente ha recibido numerosas denominaciones como acneitis, acné agminata, o granulomas faciales idiopáticos con evolución regresiva1–3.
Clínicamente afecta sobre todo a adultos jóvenes y se caracteriza por pápulas monomorfas de localización preferentemente centrofacial con predilección por los párpados y labio superior aunque puede extenderse a cuello y zonas extrafaciales. Son pápulas pardo amarillentas que tienden a dejar cicatrices puntiformes. Característicamente responden mal a los tratamientos habituales para la rosácea, y tienden a regresar espontáneamente en 2–4 años1.
A nivel histológico es típica la presencia de granulomas epitelioides con necrosis caseosa en relación con estructuras foliculares, pero se ha descrito un espectro de alteraciones que varía según la fase evolutiva de la lesión, desde infiltrados linfohistiocitarios perifoliculares a granulomas epitelioides con o sin caseosis y a fibrosis perifolicular en las lesiones cicatriciales4,5.
El LMDF fue considerado hasta 1966 una forma de tuberculosis cutánea6. Descartado este origen, hoy se baraja la hipótesis de un proceso granulomatoso frente a componentes foliculares7.
Recientemente en 2005 se ha propuesto incluir al LMDF dentro una categoría diagnóstica para la que se sugiere el término dermatosis granulomatosa facial que también comprende a la rosácea granulomatosa, la dermatitis perioral granulomatosa y la sarcoidosis en su forma clínica cutánea nodular8.
Pese a que los pacientes con rosácea clásica pueden mostrar un espectro de alteraciones histológicas que incluyen granulomas epitelioides, la rosácea granulomatosa se ha separado como variante de rosácea, reservándose para pacientes con clínica caracterizada por «pápulas monomorfas de localización preferentemente periorificial, que pueden dejar cicatriz y aparecen sobre piel normal sin ser necesaria la presencia de otros signos de rosácea»9. Si bien responde al tratamiento habitual de la rosácea clásica, con esta definición la rosácea granulomatosa sería un proceso intermedio entre la rosácea clásica y el LMDF.
La dermatitis granulomatosa facial infantil, también tiene un cuadro clínico bien diferenciado con lesiones periorales en cuya histología puede aparecer granulomas epitelioides superponibles a las descritas en el LMDF. Típica de niños prepuberales, sobre todo de raza negra, siendo rara la resolución espontánea de las mismas10,11.
Ninguna de las entidades anteriormente mencionadas se acompaña de clínica sistémica (fiebre, mal estado general, adenopatías), siendo este dato el que lo diferencia de la sarcoidosis cutánea, considerándose esta el polo más extremo de las denominadas dermatosis granulomatosas faciales. La sarcoidosis es considerada por definición un proceso multisistémico, aunque bien es cierto, muchas veces comienza con clínica cutánea solamente, siendo difícil el diagnóstico de la misma. Para ello es necesario excluir el resto de procesos granulomatosos, puesto que el diagnóstico de certeza de la sarcoidosis no existe, ya que se realiza por exclusión12.
La paciente de nuestro caso presenta una clínica típica de LMDF apoyada por la pobre respuesta a tetraciclinas y a la buena respuesta a esteroides, además de presentar a lo largo de su evolución signos de rosácea (rubor facial). Todo ello nos hace considerar estas entidades bajo la misma categoría diagnóstica, como son las dermatosis granulomatosas faciales.





