INTRODUCCION
A pesar de tratarse de un fenómeno extremadamente raro, se han descrito diversos tipos de lesiones cutáneas desarrolladas sobre cicatrices previas de herpes zóster, siendo el grupo más frecuente el de las dermatitis granulomatosas1. Su presentación clínica es variable e histológicamente se han descrito diversos patrones como granulomas sarcoideos2,3, vasculitis granulomatosa4-7, lesiones tipo granuloma anular8-12, granulomas tuberculoides13, dermatitis granulomatosa inespecífica15 o foliculitis granulomatosa1,16. En este artículo se presenta el caso de un paciente con lesiones granulomatosas desarrolladas sobre lesiones residuales de herpes zóster que muestra una expresión clínica y un patrón histológico excepcionales.
DESCRIPCION DEL CASO
Varón de 73 años de edad, con antecedentes de leucemia linfática crónica de células B. Mes y medio atrás había consultado por múltiples lesiones vesiculosas, distribuidas metaméricamente a lo largo del territorio de la primera y segunda ramas del trigémino. Fue diagnosticado de herpes zóster y siguió tratamiento con 750 mg/día de famciclovir durante 7 días y analgésicos, tras el cual únicamente persistía una ligera hiperpigmentación postinflamatoria residual. Dos semanas después acudió a consulta por reaparición del prurito y la neuralgia, acompañados de placas eritematoparduscas, bien delimitadas, muy ligeramente infiltradas, localizadas en el territorio previamente afectado por el herpes zóster (figs. 1 y 2); asimismo, asociaba intenso edema palpebral que impedía la correcta elevación del párpado superior derecho. La exploración neurológica y el estudio oftalmológico no mostraron hallazgos patológicos significativos, por lo que se descartó la existencia de parálisis facial ipsolateral.
Fig. 1.--Placas eritematoparduscas, de superficie lisa, bien delimitadas, con aisladas lesiones costrosas, localizadas en el territorio metamérico previamente afectado por una infección por herpes zóster.
Fig. 2.--Placa bien delimitada, de similares características, que afectan a la región parietotemporal derecha.
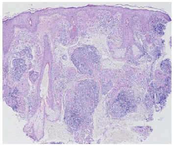
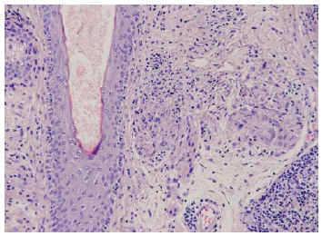
En el estudio histológico se observó una epidermis conservada y una dermis papilar y reticular alta ocupada por múltiples granulomas epitelioides con abundantes células gigantes, sin necrosis central, y rodeados de una corona linfocitaria compuesta por linfocitos maduros (fig. 3). Algunos de los granulomas se disponían en la vecindad de folículos pilosos, dando una imagen de foliculitis granulomatosa (fig. 4). En las células epiteliales epidérmicas y en los anejos cutáneos no se observaron alteraciones citopáticas indicativas de infección por herpes zóster y mediante las técnicas histológicas habituales y cultivo de la muestra se descartó la presencia de microorganismos. Finalmente, el estudio inmunohistoquímico descartó la presencia de infiltración leucémica específica, demostrando un infiltrado linfoide de estirpe mayoritariamente T (CD3+, CD43+, CD20 y CD79α).
Fig. 3.--Imagen a pequeño aumento que muestra la presencia de numerosos agregados focales de histiocitos, muchos de ellos de gran tamaño, rodeados de una corona linfocitaria, dispuestos mayoritariamente a lo largo de la dermis papilar y reticular alta. (Hematoxilina-eosina, ×40.)
Fig. 4.--Detalle de la presencia de granulomas epitelioides en relación con un folículo piloso. (Hematoxilina-eosina, ×200.)
Con todo ello, se estableció el diagnóstico de dermatitis granulomatosa sobre lesiones cicatrizales de herpes zóster y se decidió la abstención terapéutica, tras lo cual las lesiones se resolvieron espontáneamente en el plazo de 5 semanas.
DISCUSION
La aparición de una nueva enfermedad cutánea, en la misma localización que otra previa ya curada (sin signos de actividad), con la cual no está relacionada, es un fenómeno raro que se ha designado con el término «respuesta isotópica»17. En la mayoría de estos casos, la primera enfermedad suele corresponder a una infección por herpes zóster, aunque también se han descrito de forma aislada sobre lesiones de herpes simple, varicela o tromboflebitis17. Por el contrario, las enfermedades desarrolladas sobre estas lesiones son muy diversas, e incluye lesiones granulomatosas1-16, infiltración leucémica específica (leucemia cutánea)15,18, erupciones acneiformes19, dermatosis eosinofílicas20, tumores cutáneos21, metástasis de carcinomas22, tiñas23, psoriasis24, liquen plano25, enfermedad de Rosai-Dorfman1, dermatitis liquenoide26 o enfermedad de injerto contra huésped27. De entre estas dermatosis, las reacciones granulomatosas constituyen el grupo más frecuente. Clínicamente, la mayoría de los casos se caracterizan por la aparición de numerosas lesiones papulosas o nodulares, duras, infiltradas y de coloración eritematoviolácea o bien lesiones similares al granuloma anular. No obstante, existen casos en los que la enfermedad granulomatosa se manifiesta en forma de eritema, con o sin lesiones papulosas periféricas1,28 o, incluso, como lesiones quísticas de base eritematosa16. El presente caso destaca porque, además de manifestarse en forma de placas eritematoparduscas similares a las descritas, mostraba un intenso edema localizado en el párpado superior derecho, que semeja un angioedema unilateral, lo cual constituye una presentación clínica no descrita hasta el momento en las lesiones granulomatosas. Aunque en la mayoría de los casos el intervalo de aparición entre ambas enfermedades suele ser breve (2-4 semanas tras la resolución de las lesiones de herpes zóster), existen casos en los que este rango oscila desde días a varios años1,17.
Desde el punto de vista histológico, el patrón observado con mayor frecuencia corresponde a lesiones de tipo granuloma anular2,8-12,28; no obstante, también se han descrito casos de vasculitis granulomatosa4-7, granulomas de tipo sarcoideo2-3 y más raramente granulomas tuberculoides13. El presente caso presentaba colecciones de histiocitos epitelioides, incluyendo formas multinucleadas, con tendencia a confluir y a estar rodeados por una corona importante de linfocitos y células plasmáticas en ausencia de necrosis central, lo que sugiere un patrón tuberculoide. Así mismo, los granulomas mostraban una disposición preferentemente perifolicular, dando una imagen de foliculitis granulomatosa, patrón descrito inicialmente por Requena et al1 y del que existen solamente 2 casos publicados con anterioridad1,16.
La patogenia de este fenómeno denominado respuesta isotópica es aún poco conocida. Debido a que la mayoría de estas lesiones se desarrollan sobre cicatrices previas de herpes zóster, se ha postulado una posible etiología viral. Así, aunque algunos autores han aislado ADN del virus en estas lesiones granulomatosas14, generalmente se trataba de casos con un intervalo muy corto entre ambas enfermedades, lo que sugiere probablemente una actividad residual del proceso herpético. Además, posteriormente otros autores no han demostrado la presencia de ADN viral en las lesiones granulomatosas1,7. Actualmente, la teoría más aceptada es la de la etiología inmunológica, que postula que una respuesta inmunológica, exagerada o alterada del tipo reacción de hipersensibilidad retardada a antígenos virales, depósitos de complejos inmunes o a antígenos tisulares alterados por el virus es la responsable de la aparición de la segunda enfermedad2,7,12-14,17,29. A favor de esta teoría se encuentran los estudios llevados a cabo por Kligman30, quien demostró que en pacientes sometidos a pruebas epicutáneas se podían producir reactivaciones de las lesiones incluso años después de las mismas o incluso el propio fenómeno de evocación demostrado por Shelley et al31. Asimismo, en el caso de las reacciones granulomatosas sobre lesiones de herpes zóster, Nikkels y Piérard32 detectaron cantidades importantes de las glucoproteínas gE y gB de la envoltura del virus del herpes zóster en lesiones granulomatosas aparecidas precozmente tras la infección pero no en las lesiones tardías, lo que sugiere como mecanismo patogénico una reacción inmunológica frente a estas glucoproteínas del virus en lugar de frente al ADN viral. Por último, al igual que muestra este caso, se ha observado una mayor frecuencia de estas lesiones granulomatosas en pacientes inmunodeprimidos y especialmente con antecedentes de leucemia linfática crónica (LLC)7-8,11,13,15,29,32,33. Ello puede deberse a diversos defectos inmunitarios demostrados en pacientes con LLC como una respuesta defectuosa de la inmunidad celular, anomalías de las inmunoglobulinas y una mayor incidencia de reacciones de hipersensibilidad.
El diagnóstico diferencial, en pacientes con antecedente de LLC, debe establecerse fundamentalmente con la leucemia cutánea, ya que como se ha comentado no es infrecuente la ocurrencia de infiltración leucémica específica sobre lesiones de herpes zóster; además, se ha sugerido que la presencia de lesiones granulomatosas puede incluso enmascarar dicha infiltración18,34,35. No obstante, en el presente caso, la demostración mediante inmunohistoquímica de la presencia de un infiltrado linfocitario predominantemente de células T (CD3+, CD43+) en un paciente con LLC de células B, así como la involución espontánea de las lesiones, descartan este diagnóstico.






