Sr. Director:
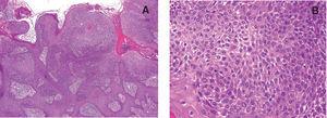
Presentamos el caso de una mujer de 88 años con varias lesiones en la región submamaria derecha, que habían permanecido estables durante más de 40 años, que refiere un rápido crecimiento y ulceración de una de ellas en el último año. En la exploración mostraba, bajo la mama derecha, una lesión tumoral de 7 cm de diámetro, de consistencia firme, superficie queratósica en periferia y ulcerada en el centro y exudación serosa maloliente. Adyacentes a ella se observaban varias lesiones tumorales de menor tamaño, con una superficie aterciopelada, de coloración eritemato-pardusca, y con una distribución lineal (fig. 1). No se palparon adenopatías loco-regionales. El estudio analítico completo, así como las radiografías de tórax, electrocardiograma, mamografía bilateral y ecografía axilar derecha, fueron rigurosamente normales. Se realizó una biopsia incisional de la lesión tumoral de mayor tamaño y otra biopsia de una de las lesiones adyacentes. En el primer caso, la tinción de hematoxilina-eosina mostró islotes irregulares anastomosados compuestos por células tumorales intraepidérmicas, algunas de ellas pigmentadas, con un citoplasma más claro que los queratinocitos circundantes. Se observaron abundantes células atípicas con núcleos grandes, irregulares e hipercromáticos dentro de las masas tumorales. En algunas secciones se podían ver espacios quísticos dentro de estos nidos de células basaloides. La epidermis presentaba hiperqueratosis, focos de paraqueratosis y acantosis irregular (fig. 2 A y B). La biopsia de la lesión de menor tamaño mostró nidos bien definidos de células cuboidales uniformes que poseían núcleos basofílicos, redondeados y no atípicos, con presencia de estructuras quísticas en su seno (fig. 3). El citoplasma de las células tumorales contenía gránulos PAS positivos en ambos casos. Las tinciones inmunohistoquímicas demostraron que los islotes tumorales se teñían con anticuerpos monoclonales frente a las citoqueratinas AE1/AE3, 34betaE12 y EMA, y no presentaron reactividad para las citoqueratinas 7, 20, CAM5.2, CEA y GCDFP15. Se realizó el diagnóstico de hidroacantoma simple maligno (HSM) sobre un hidroacantoma simple (HS) de distribución lineal; el tumor maligno ulcerado fue extirpado quirúrgicamente. Un año y medio después del diagnóstico, la paciente permanece asintomática y sin evidencia de metástasis a distancia en los seguimientos realizados, que incluyeron una exploración física trimestral y una analítica de sangre, una radiografía de tórax y una ecografía abdominal semestrales.
Figura 1. Tumor ulcerado, exudativo, con superficie pigmentada y queratósica en periferia y ulceración central, y varias lesiones tumorales de menor tamaño con un patrón de distribución lineal.
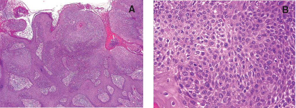
Figura 2 (A y B). Nidos de células tumorales localizadas en el seno de una epidermis acantósica que muestran atipia y mitosis (hematoxilina-eosina, x20, y hematoxilina-eosina, x100, respectivamente).
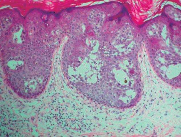
Figura 3. Islotes bien definidos de células tumorales no atípicas formando estructuras quísticas (hematoxilina-eosina, x40).
En el año 1956, Smith y Coburn acuñaron el término HS para designar a un tumor benigno intraepidérmico de origen sudoríparo1. También describieron la contrapartida maligna, el HSM, y sugirieron que alguno de los llamados epiteliomas intraepidérmicos de Borst-Jadassohn podrían ser incluidos en esta nueva entidad. Holubar y Wolff2 en 1969 consideraron al HS como una variante de poroma ecrino y propusieron la denominación de poroma ecrino intraepidérmico. Desde entonces, se han publicado distintos casos de HS y HSM, y el HS sigue siendo considerado en la actualidad una variante intraepidérmica del poroma ecrino3; el HSM ha recibido distintos nombres como porocarcinoma in situ4, porocarcinoma ecrino5 o hidroacantoma simple con crecimiento invasivo6.
La presentación clínica del HS no es característica y suele localizarse normalmente en las extremidades inferiores de ancianos, con un ligero predominio en el sexo femenino. Revisando la literatura, hemos encontrado dos descripciones de tumores ecrinos no intraepidérmicos con una distribución lineal, un porocarcinoma ecrino localizado en una nalga7 y un poroma ecrino a lo largo de una extremidad inferior8, por lo que nuestro caso parece ser el primer HSM sobre un HS lineal.
Histológicamente, los HS se caracterizan por la presencia de islotes de células pequeñas, uniformes, basofílicas o pobremente teñidas, que se agrupan en el seno de una epidermis acantósica y que presentan gránulos citoplasmáticos PAS positivos. Se observa diferenciación ductal (ductos reconocibles, luces intracitoplasmáticas o estructuras quísticas) y los ductos se pueden destacar con la tinción de PAS y muestran positividad para EMA o CEA, aunque existen varios casos publicados en la literatura en los que el CEA fue negativo9-11. El HSM está compuesto por las células que acabamos de describir, pero estas muestran pleomorfismo citológico, mitosis frecuentes y un patrón arquitectural invasivo.
Se han publicado varios casos de transformación maligna de un HS1,4,11,12, y su potencial de degeneración ha sido un tema muy discutido. En nuestro caso, las lesiones de HS adyacentes al HSM habían estado presentes durante más de 40 años y por tanto creemos que existe evidencia de degeneración maligna.
El pronóstico del HSM se desconoce con exactitud debido al escaso número de casos que describen su evolución y la falta de un seguimiento a largo plazo. Como tratamiento se ha propuesto la escisión local amplia o cirugía micrográfica de Mohs en el caso del HS a causa de su potencial riesgo de degeneración12. Otras alternativas son la electrodesecación o la radiación.
Como conclusión queremos destacar el hecho de que, aunque se han descrito algunos tumores de origen ecrino con una distribución lineal, no hemos podido encontrar ningún caso de HS lineal con degeneración a un HSM.





