Sr. Director:
Una gran variedad de procesos dermatológicos pueden ocurrir en el lugar de un herpes zóster (HZ) ya resuelto, fundamentalmente procesos granulomatosos, linfomas, pseudolinfomas y tumores cutáneos primarios o metástasis1. En ocasiones aparecen en pacientes inmunosuprimidos con neoplasias o infección por el virus de la inmunodeficiencia humana (VIH), pero otros pacientes no muestran enfermedad subyacente alguna. El intervalo entre la infección viral y la segunda enfermedad es extremadamente variable, entre días y años2. Presentamos el caso de un paciente con hemoglobinuria paroxística nocturna (HPN) que desarrolló lesiones guttatas de psoriasis en el lugar donde previamente había padecido un HZ.
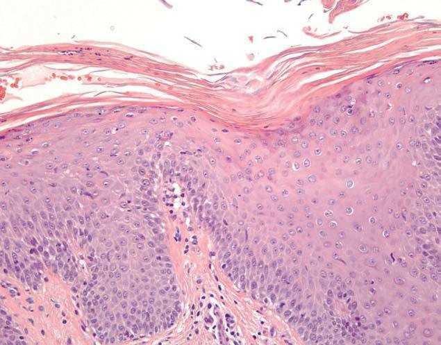
Se trata de un varón de 41 años, sometido a trasplante alogénico de médula ósea por HPN y tratado con tacrolimus y mofetil micofenolato, que acudió por una erupción de una semana de evolución en el territorio correspondiente a los dermatomas torácicos derechos 6 y 7, caracterizada por pápulas eritematoescamosas, asintomáticas, de menos de 1 cm de diámetro. Este cuadro se localizaba en el mismo lugar donde el paciente había presentado, cuatro meses antes, un HZ que había sido tratado con aciclovir por vía intravenosa. Aún eran visibles máculas hiperpigmentadas residuales en esa región junto con las nuevas lesiones eritematoescamosas (fig. 1). Una biopsia cutánea de estas últimas mostró acantosis, hiperqueratosis y paraqueratosis alternante, con aislados microabscesos de neutrófilos (fig. 2). La dermis papilar estaba edematosa con capilares dilatados. No existía evidencia de cambios citopáticos herpéticos. En dicha biopsia, la reacción en cadena de la polimerasa para el virus varicela zóster (VVZ) no reveló ADN viral.
Figura 1. Agrupación de lesiones eritematodescamativas con una distribución zosteriforme.
Figura 2. Hiperplasia epidérmica y acúmulos de neutrófilos en áreas de paraqueratosis (hematoxilina-eosina, 40).
Se diagnosticó de psoriasis en el territorio de un HZ ya resuelto. El paciente negó antecedentes personales o familiares de psoriasis. Fue tratado con corticosteroides tópicos con total blanqueamiento de las lesiones en 2 meses.
La respuesta isotópica, definida por Wolf et al2 como la aparición de una nueva enfermedad cutánea en el lugar de otra ya curada y con la que no guarda ninguna relación, explicaría la aparición de una psoriasis en el lugar donde había asentado un HZ3 o una varicela4.
El HZ es la enfermedad que más frecuentemente se presenta como la patología inicial en el fenómeno isotópico2. Aunque las alteraciones citopáticas herpéticas no se observan cuando se biopsia la segunda enfermedad, se ha sospechado que partículas virales que persistan en el tejido puedan ser responsables de la segunda enfermedad. Sin embargo, el ADN viral ha sido detectado únicamente en lesiones cutáneas post-zóster cuando estas ocurrían en las primeras semanas, y no se encontraba si el nuevo proceso aparecía meses más tarde, como aconteció en nuestro enfermo1. Por otra parte, se ha sugerido que la infección viral pudiera alterar la inmunidad cutánea local, de tal forma que ese cambio condicionara una hiperreactividad y, como consecuencia, provocara granulomas, pseudolinfomas, vasculitis o reacciones eczematosas, o una inmunosupresión que facilitara tanto la aparición de cáncer cutáneo como de infecciones bacterianas, micóticas o virales5. Nosotros especulamos sobre el papel que el factor de necrosis tumoral alfa (TNF-α) pueda desempeñar en la respuesta isotópica de Wolf.
El TNF-α es una citoquina que tiene un papel fundamental en los mecanismos de defensa, con amplios efectos tanto en los sistemas de inmunidad innatos como adaptativos, y con una actividad antiviral bien establecida6,7. Las citoquinas relacionadas con el factor de necrosis tumoral (TNF) son moléculas efectoras críticas en la respuesta inmune ante patógenos virales. Su engranaje con los receptores del TNF activa mecanismos apoptóticos y no apoptóticos que conllevan acciones antivirales. Esta citoquina se eleva en la respuesta inmune primaria frente a la infección por el VVZ, en la reexposición a este virus y durante los episodios de HZ8,9. Por otra parte, una alteración del TNF ha sido implicada en una amplia variedad de enfermedades inflamatorias, incluyendo la psoriasis10, y también se conoce su papel en la inducción y el mantenimiento de granulomas a múltiples niveles11.
Dado que los procesos granulomatosos, tales como granuloma anular, sarcoideo, tuberculoide, vasculitis y foliculitis granulomatosa, son la patología más frecuentemente comunicada tras un HZ1,2,5, nosotros planteamos que una alteración o sobreexpresión del TNF, inducida localmente por la infección por el VVZ, podría desempeñar un papel crucial en la patogénesis de estas complicaciones. De la misma forma, esta producción local de TNF explicaría los casos de psoriasis descritos tras infecciones por el VVZ en individuos genéticamente predispuestos.



 
		
