El cuerno tricolémico o queratosis tricolemal es una neoplasia benigna, poco frecuente, de estirpe folicular y diferenciación tricolémica.
Las características fundamentales de este tumor son su presentación clínica en forma de cuerno cutáneo que histológicamente muestra queratinización tricolémica (con un epitelio hiperplásico que da lugar a una queratina eosinófila, compacta y ortoqueratósica).
En este artículo presentamos un nuevo caso de este tumor en una paciente de 82 años que desarrolló una lesión solitaria en el cuero cabelludo, tras la manipulación de un quiste tricolémico. El estudio histológico permitió llegar al diagnóstico de cuerno tricolémico.
Realizamos una revisión de los 33 ejemplos de este tumor descritos en la literatura hasta la fecha.
Trichilemmal horn, or trichilemmal keratosis, is an uncommon benign neoplasm of follicular lineage with trichilemmal differentiation.
The essential characteristics of this tumor are its clinical presentation in the form of a cutaneous horn with trichilemmal keratinization apparent in the histology study (with a hyperplastic epithelium giving rise to dense, orthokeratotic eosinophilic keratin).
We present a new case of this type of tumor in an 82-year-old woman who developed a solitary lesion on her scalp after surgical removal of a trichilemmal cyst. On the basis of the pathology report, the tumor was diagnosed as trichilemmal horn.
We review the 33 reports of this tumor in the literature to date.
El cuerno tricolémico o queratosis tricolemal es una neoplasia benigna, rara, con diferenciación tricolémica.
Se trata de un tumor cuyas dos características fundamentales son su presentación clínica en forma de cuerno cutáneo y su histopatología, que muestra queratinización tricolémica en la base de la lesión1.
Se han descrito 33 casos de cuerno tricolémico en la literatura en inglés.
Caso clínicoSe trata de una mujer de 82 años, sin antecedentes personales de interés, que acude a la consulta de dermatología de nuestro hospital porque desde hace varias semanas presenta una lesión en la región occipital, asintomática y de crecimiento progresivo y rápido. La paciente tenía varios quistes tricolémicos en el cuero cabelludo y refería que antes de que se desarrollara esta nueva lesión, en esa misma localización tenía un quiste que fue manipulado quirúrgicamente.
En la exploración física se observó una tumoración con morfología de cuerno cutáneo, con un centro hiperqueratósico de unos 2cm de diámetro en su base y 1cm de longitud, localizado sobre una base carnosa y eritematosa (fig. 1). Ante estos hallazgos, y con el juicio clínico de queratoacantoma, se procedió a la extirpación de la lesión.
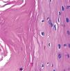
El estudio histopatológico mostró una lesión crateriforme, bien delimitada, con el centro ocupado por material queratósico que comunicaba con la superficie externa de la piel y la base constituida por un epitelio escamoso hiperplásico donde se evidenciaba queratinización tricolémica (fig. 2). El epitelio estaba constituido por una primera capa periférica de células cuboideas, dispuestas en empalizada, que se asentaban sobre una membrana basal y varias capas suprayacentes constituidas por células escamosas grandes, de citoplasma amplio y pálido (fig. 3), que queratinizaban de forma abrupta, sin mediar capa granulosa previa y dando lugar a una queratina eosinófila, compacta y ortoqueratósica (fig. 4). En la base del tumor se podían observar pequeñas estructuras que recordaban a quistes tricolémicos en miniatura. Se estableció el diagnóstico de cuerno tricolémico o queratosis tricolemal.
Detalle de la figura 3. Queratinización sin capa granulosa, dando lugar a una queratina compacta, eosinófila y ortoqueratósica. Eosina-hematoxilina, x200.
La extirpación de la lesión había sido completa, por lo que no fue preciso realizar ningún tratamiento adicional.
DiscusiónEl cuerno tricolémico es una neoplasia rara, folicular, benigna, con diferenciación tricolémica, cuyas dos características fundamentales son su presentación clínica en forma de cuerno cutáneo y su histología, que muestra queratinización tricolémica en la base de la lesión.
Esta neoplasia folicular fue descrita originalmente en 1976 por Headington2, quien denominó a esta lesión como queratosis tricolemal. El término de cuerno tricolémico lo acuñó por primera vez Brownstein3, en 1979, al publicar un trabajo donde definió las características fundamentales de este tumor presentando 19 ejemplos. Desde entonces se han publicado, incluyendo el caso que acabamos de presentar, 34 casos de cuerno tricolémico en la literatura3–10 (tabla 1).
Casos de cuerno tricolémico descritos en la literatura
| N.° de casos | Sexo | Edad (años) | Localización | Características clínicas | Características histológicas | |
| Brownstein (1979)3 | 19 | 11 mujeres 6 hombres 2 ? | 16-72 | 9 en las extremidades4 en la espalda2 en la cara3 en el cuero cabelludo1 ? | ||
| Kimura | 3 | 3 hombres | 74, 43 y 55 | 2 en región temporalderecha1 en cuello, en el lado derecho | Estudio de microscopía electrónica: presencia de cuerpos intranucleares sugestivos de papilomavirus | |
| Peteiro | 1 | Mujer | 75 | Región preauricular izquierda | Estudio microscopio electrónico: no cuerpos intranucleares | |
| Poblet | 2 | 2 Mujeres | 70 y 78 | 1 en región parietal derecha, en cuero cabelludo1 en región temporal derecha, en cuero cabelludo | Antecedentes personales o familiares de quistes tricolémicos. Cuerno originado sobre un quiste tricolémico drenado espontánea o quirúrgicamente | Inmunohistoquímica:
|
| Dominick | 1 | Mujer | 22 | Codo izquierdo | ||
| Kudo et al (2007)7 | 1 | Mujer | 53 | Mano izquierda | Lesión originada sobre una quemadura | Existencia de cuerpos intranucleares con microscopía electrónica. Inmunohistoquímica con anticuerpos contra VPH negativa |
| Michal | 4 | 4 mujeres | 55, 78, 63 y 83 | 4 cuero cabelludo | Cuernos cutáneos gigantes | |
| Nakamura | 2 | 2 hombres | 70 y 62 | Palma de la manoizquierda Primer dedo de la mano | Lesiones localizadas sobre piel sin folículos | |
| Haro | 1 | Mujer | 82 | Cuero cabelludo | Antecedentes personales de quistes tricolémicos en cuero cabelludo. Cuerno originado sobre un quiste tricolémico drenado quirúrgicamente | |
| Total | 34 | 21 mujeres11 hombres2 ? | Rango de edad entre 1683 años | 15 en la cabeza13 en las extremidades5 en el tronco1 ? |
CEA: antígeno carcinoembrionario; VPH: virus del papiloma humano.
Clínicamente se manifiesta como una lesión exofítica y queratósica. Puede aparecer en cualquier localización, predominando en la cabeza (se han publicado 15 casos en esta localización, 12 de los cuales afectaban al cuero cabelludo y 3 de ellos a la cara); la siguiente localización más frecuente son los miembros, donde se han descrito 13 casos, llamando la atención que 9 de ellos fueron descritos por Brownstein, siendo ésta localización la más frecuente en su serie; también cabe destacar que se han descrito lesiones en las palmas de las manos4.
Puede desarrollarse a cualquier edad, siendo el rango de edad de los casos publicados de 16 a 83 años, aunque es más frecuente en pacientes mayores de 50 años. Aproximadamente dos tercios de los casos se han descrito en mujeres.
La lesión puede tener un tamaño variable, y habitualmente mide entre 1 y 2cm de diámetro; sin embargo, Michal et al5 describieron 4 casos de cuernos tricolémicos gigantes que podían llegar a medir hasta 25cm de longitud.
Las características histológicas de este tumor son las que hemos descrito previamente: un epitelio escamoso constituido por una hilera de células cuboides en empalizada y el resto de las capas constituidas por queratinocitos grandes, escamosos y con abundante glucógeno en su citoplasma, por lo que van adquiriendo una tonalidad pálida. Este epitelio queratiniza de forma abrupta, sin capa granulosa previa, y da lugar a una queratina compacta, eosinófila y ortoqueratósica. Este tipo de queratinización es la que se conoce como queratinización tricolémica.
Se ha discutido la posibilidad de que el virus de papiloma humano (VPH) esté implicado en la etiopatogenia de este tumor, debido a que algunos estudios de microscopía electrónica en ejemplos de esta neoplasia, como los realizados por Kimura6, han encontrado partículas intranucleares de morfología similar al VPH. Sin embargo, cuando se han realizado estudios inmunohistoquímicos con anticuerpos anti-VPH los resultados han sido invariablemente negativos7. Además, el hallazgo de estas partículas intranucleares no ha sido constante8.
Poblet et al9 publicaron 2 ejemplos de este tumor en los que, como en el nuestro, la lesión se desarrolló después de un intento de drenaje de un quiste tricolémico preexistente. En ambos casos existían, además, antecedentes personales o familiares de quistes tricolémicos múltiples. Estos autores concluyeron que, en algunos casos, el origen de este tumor puede estar en un quiste tricolémico cuya pared se rompe, produciéndose marsupialización del mismo, y el epitelio continúa proliferando en lugar de desaparecer como sucede en otras ocasiones, siendo el resultado final de este crecimiento una lesión exofítica con morfología de cuerno cutáneo. Nosotros creemos que el origen de nuestro caso puede explicarse así.
Conflicto de intereses
Declaramos no tener ningún conflicto de intereses.







