INTRODUCCION
El angiosarcoma es un tumor infrecuente, localizado sobre todo en la piel, pero también en otros órganos como mama, hígado o bazo 1, con unas características histopatológicas bien definidas. Sin embargo, se han descrito neoplasias en diversos órganos, con características clínicas de carcinomas pero que, en el examen histopatológico, presentan semejanzas con el angiosarcoma, denominándose carcinomas pseudovasculares o «angiosarcoma-like». Estos tumores se han descrito sobre todo en el tiroides 1, donde su origen histológico es debatido, y también en mama, pulmón y piel 1. En estos tres órganos esta neoplasia deriva de carcinomas o adenocarcinomas donde se dan fenómenos de acantólisis masiva, dando lugar a espacios que recuerdan estructuras vasculares.
En la piel, la variante de carcinoma epidermoide donde se produce acantólisis, se denomina carcinoma epidermoide adenoide o acantolítico 2; dentro de ésta se incluiría el carcinoma epidermoide pseudovascular cutáneo (CEPC). Se han descrito 14 pacientes con CEPC 3-8, estos pacientes tienen unas características clínicas, histopatológicas e inmunohistoquímicas características que permiten hacer el diagnóstico diferencial con el angiosarcoma de una forma precisa.
DESCRIPCION DEL CASO
Un hombre de 80 años, sin antecedentes personales de interés, acudió a consulta en septiembre de 2002, por presentar una úlcera de 30 mm de diámetro localizada en el cuero cabelludo desde hacía un año. La lesión tenía unos bordes sobreelevados y un fondo mamelonado con restos de fibrina. El resto de la exploración física fue normal. Dos semanas después de la primera visita y con el diagnóstico clínico de carcinoma epidermoide, se realizó la extirpación de la lesión.
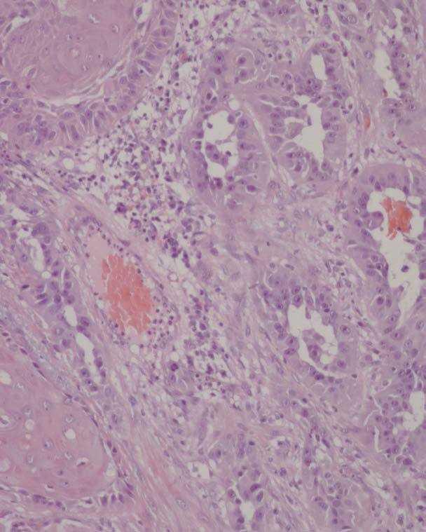
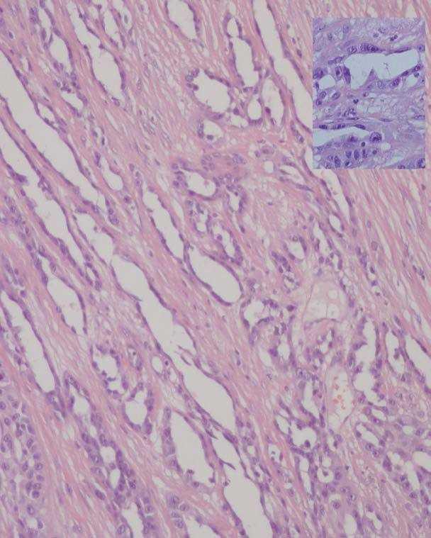
En el análisis histopatológico de la pieza se apreciaba en la zona central del tumor unos espacios dilatados, que simulaban estructuras vasculares, con un tamaño y formas irregulares que diseccionaban un estroma ligeramente mixoide (fig. 1). Las células que formaban las estructuras pseudovasculares, tenían una morfología fusiforme y aplanada, con pleomorfismo y atipia nuclear y en algunas zonas los núcleos protruían en las luces vasculares (fig. 1, detalle) dando una morfología en tachuela. Dentro de algunas de estas estructuras pseudovasculares se apreciaba incluso la presencia de hematíes. Todos estos datos podían plantear un diagnóstico diferencial con un angiosarcoma. Sin embargo, en la periferia de la lesión, aunque también se apreciaban grandes espacios entre las células, el tumor era más compacto. Las células tenían una morfología poligonal con un citoplasma grande y eosinófilo, y en algunas zonas se podía apreciar la presencia de disqueratosis, datos sugestivos de un carcinoma epidermoide acantolítico (fig. 2). El análisis inmunohistoquímico de la lesión fue positivo en todo el tumor para la citoqueratinas (AE1/AE3) y el antígeno epitelial de membrana (EMA), y negativo para el factor VIII, CD34, CD31 y S100 (fig. 3). Estos datos confirmaron el diagnóstico de CEPC.
Fig. 1.--Estructuras pseudovasculares en un estroma mixoide. (Hematoxilina-eosina, x100.) A mayor detalle (A) (Hematoxilina-eosina, x400) se aprecia la atipia celular y la morfología en tachuela que presenta algunas células.
Fig. 2.--En la periferia del tumor las células presentan zonas de disqueratosis y zonas de aspecto pseudoglandular. (Hematoxilinaeosina, x100.)
Fig. 3.--En el lado izquierdo de la imagen se aprecia a la negatividad para el CD31 (x200) en las células neoplásicas, mientras que los vasos del estroma tumoral se tiñen (A). En el lado derecho de la imagen la citoqueratina AE1/AE3 (x200) es positiva en las células neoplásicas (B).
Al mes de ser intervenido, el paciente presentó adenopatías metastásicas laterocervicales. Por la edad y su estado general, se decidió no realizar una linfadenectomía radical del cuello, y se remitió a radioterapia para irradiar las cadenas glangionares y la piel alrededor del injerto. Tras recibir una dosis total acumulada de 76 Gy, las adenopatías persistían por lo que empezó un tratamiento con tegafur y uracilo (UFT) en dosis de 400 mg/m 2/24 h, con desaparición de las adenopatías a los 6 meses de empezar el tratamiento. En septiembre de 2004 presentó una recidiva tumoral en la zona próxima al injerto, que fue operada mediante cirugía controlada, con buena evolución posterior. En el momento actual el paciente está asintomático, sin presentar evidencia de afectación cutánea, ganglionar o extraganglionar.
DISCUSION
El CEPC se caracteriza histológicamente por agregados de células de morfología variable (fusiforme, poligonal o aplanada), pero que son claramente atípicos. Las células se agrupan formando cordones que se anastomosan entre sí delineando espacios entre ellas, que simulan espacios vasculares. En ocasiones el núcleo de las células protruye hacia el interior de los espacios, produciendo una morfología en tachuela (hobnail). Dentro de estos espacios podemos encontrar un material basófilo que corresponde a ácido hialurónico 3, pero también hematíes 4. El CEPC puede dar lugar a estructuras papilares, lo que dificulta más el diagnóstico diferencial con el angiosarcoma. Son frecuentes la necrosis y la invasión perineural 1.
El diagnóstico diferencial clínico entre angiosarcoma y CEPC suele ser sencillo; el angiosarcoma aparece como placas violáceas de límites mal definidos localizadas en cuero cabelludo, mientras que el CEPC suele ser una lesión ulcerada o un nódulo de color rojo localizado en la cara o el cuello. Desde el punto de vista histológico el diagnóstico diferencial es más complicado. Sin embargo existen datos que permiten hacer el diagnóstico diferencial antes del examen inmunohistoquímico 1. Uno de esos datos, y quizás el más útil, es la presencia de zonas con diferenciación escamosa, como ocurrió en nuestro caso. También es útil observar el tumor a pequeño aumento; el CEPC, a pesar de ser un tumor maligno, suele estar bien circunscrito y conecta con la epidermis en la mayoría de los casos, mientras que el angiosarcoma, tiene unos límites mal definidos, con un patrón de crecimiento multifocal, infiltra la grasa y no tiene conexión con la epidermis. Otro dato útil para diferenciar el CEPC del angiosarcoma es observar los vasos del estroma tumoral, mientras en el angiosarcoma estos vasos son atípicos, en el CEPC los vasos son normales.
El diagnóstico definitivo para diferenciar el angiosarcoma del CEPC se basa en el examen inmunohistoquímico. En el CEPC los marcadores vasculares como factor VIII, CD34, CD1 y la lecitina Ulex europaeus-1 son negativos, mientras que marcadores epiteliales como el EMA o la citoqueratina son positivos 3-8. En el angiosarcoma el patrón inmunohistoquímico es el contrario, aunque hay casos en que las citoqueratinas son positivas 9,10. Para algunos autores, estos casos positivos para citoqueratinas se pueden explicar por diferencias en las técnicas de inmunohistoquímica y en la concentración de anticuerpos, que darían lugar a falsos positivos 4. Sin embargo, se ha demostrado la presencia de queratina tanto en células endoteliales normales como en células tumorales 11, aunque la expresión varía dependiendo del tipo de queratina. Estos autores encuentran que los angiosarcomas epitelioides suelen ser positivos para la citoqueratina 8 y la 18, y sugieren usar en la evaluación de estos tumores la citoqueratina 19 o la AE1, por la baja reactividad que presentan con las células endoteliales.
El pronóstico de los pacientes con CEPC suele ser malo. De los 14 casos descritos hasta el momento 3-8, siete han muerto a causa de la enfermedad y otro presentó una recidiva local 4 que, como en nuestro caso, requirió de nuevas operaciones y radioterapia. Debido a este mal pronóstico, sería recomendable que estos pacientes recibiesen un tratamiento agresivo y precoz.
Correspondencia:
Pedro Mercader. Antonio de Ulloa, 2, esc 1, 4.º D.
30007 Murcia. España.
pmercader@aedv.es
Recibido el 6 de julio de 2005.
Aceptado el 24 de marzo de 2006.





