INTRODUCCION
El comportamiento biológico de un tumor viene determinado, entre otros factores, por las interacciones entre las células tumorales y el estroma en que se encuentran inmersas. Existen numerosos ejemplos en dermatopatología en que una dermis alterada puede estimular una respuesta proliferativa en la epidermis o el epitelio anexial adyacente. Es decir, la hiperplasia epitelial puede ser el resultado de un efecto inductivo. Estos cambios de la epidermis se observan frecuentemente sobre los nódulos dérmicos del dermatofibroma 1,2. Hasta el 80 % de los dermatofibromas presentan cambios hiperplásicos en la epidermis suprayacente 3. En estos casos, la hiperplasia epidérmica constituye un importante hallazgo anatomopatológico que apoya el diagnóstico.
DESCRIPCION DEL CASO
Una mujer de 49 años, sin antecedentes personales de interés, consultó por presentar en el hombro izquierdo una lesión papulonodular discretamente pigmentada, asintomática de la que no sabía precisar la evolución previa. En los últimos meses la lesión había aumentado ligeramente de tamaño.
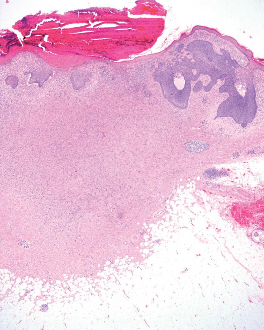
Se realizó extirpación completa de la lesión y se observó en el estudio anatomopatológico un nódulo dérmico localizado en dermis reticular, formado por una proliferación mesenquimatosa de células fusiformes sin atipias, con un patrón vagamente estoriforme. Entre ellas se apreciaban algunos histiocitos xantomizados, linfocitos y fibras de colágeno (fig. 1). Superficial a este nódulo se observó una proliferación epidérmica de células de hábito basaloide, que crecían en la dermis papilar formando pequeños nidos sólidos limitados por una capa de células en empalizada. Focalmente esta proliferación formaba nidos de mayor tamaño que infiltraban la dermis reticular. Algunos tenían degeneración quística central (fig. 2) y hendidura de separación con la dermis adyacente (fig. 3). Los cambios descritos en la epidermis eran idénticos a los observados en el carcinoma basocelular, y la proliferación fibrohistiocitaria presente en la dermis era diagnóstica de dermatofibroma.
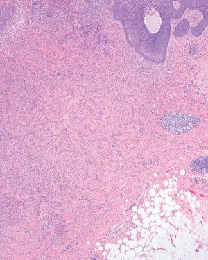
Fig. 1.--Proliferación de células fusiformes con patrón estoriforme localizada en la dermis reticular sobre la que se aprecia una proliferación epidérmica de células basaloides. (Hematoxilina-eosina, x4.)
Fig. 2.--Nidos sólidos limitados por una capa de células "en empalizada". Se aprecia degeneración quística central. (Hematoxilina-eosina, x20.)
Fig. 3.--Hendidura de separación entre el nido de células basaloides y la dermis adyacente. (Hematoxilina-eosina, x100.)
No se han realizado otros tratamientos y en las sucesivas revisiones clínicas no se han observado signos de recidiva local.
DISCUSION
Se ha descrito una gran variedad de cambios epidérmicos sobre dermatofibromas, incluyendo la hiperplasia pseudoepiteliomatosa, hiperqueratosis verrucosa, acantoma de células claras, hiperqueratosis epidermolítica o hiperplasia sebácea y estructuras morfológicamente similares a otras entidades como queratosis seborreica, carcinoma epidermoide in situ o carcinoma basocelular 1-3. La incidencia real de estos cambios y la relación entre ellas es desconocida. Se ha intentado relacionar el grado de inducción con la proximidad entre la epidermis y la proliferación fibrohistiocitaria 4, pero no se han encontrado datos que apoyen este hecho 5.
La presencia de nidos de células de aspecto basaloide, indistinguibles de los observados en el carcinoma basocelular, en la epidermis situada sobre dermatofibromas, se ha explicado de distintas formas. Algunos autores interpretaron que se trataba de verdaderos carcinomas basocelulares 6. En la literatura médica se recogen 15 casos de lesiones interpretadas como carcinomas basocelulares sobre dermatofibroma hasta el año 1992; posteriormente a esta fecha, no existen nuevos casos descritos 6. Actualmente se acepta que la coexistencia de ambas lesiones es poco frecuente 7,8.
Actualmente este hallazgo histológico se considera un cambio reactivo y no verdaderamente neoplásico. Parece ser que se trataría del efecto sobre las células epiteliales, posiblemente foliculares, de fenómenos de inducción producidos por la proliferación dérmica 1,3. Se ha apuntado a la compresión de las estructuras anexiales contra la epidermis por el crecimiento fibrohistiocitario en la dermis como un posible factor añadido 9. Algunos autores sugieren la posibilidad de que algunas sustancias solubles producidas por células dérmicas, como el factor de crecimiento epidérmico, estuvieran implicadas en los fenómenos de inducción epidérmica 10.
A favor de la naturaleza benigna reactiva del proceso se considera el carácter focal, la localización superficial, la ausencia de atipia o mitosis, la diferenciación folicular y la asociación a hiperplasia epidérmica en zonas adyacentes como aspectos distintos de un mismo espectro.
Los estudios inmunohistoquímicos han mostrado resultados variables. Se ha observado que la expresión de Ki-67 y proteína Bcl-2 sería similar en la proliferación basaloide y en el carcinoma basocelular 11. La metalotioneína se expresa en piel normal y en la hiperplasia epidérmica simple. Sin embargo, la hiperplasia basaloide muestra una importante disminución o ausencia de inmunorreactividad a metalotioneína al igual que los carcinomas basocelulares superficiales y hasta al 92 % de los nodulares 12. La estromelisina-3, que se expresa en la estroma de distintos tumores malignos como el carcinoma basocelular, también es producida por células fibroblásticas asociadas a fibrosis de características benignas como en el caso del dermatofibroma 13. El patrón de expresión de b2-microglobulina es similar en carcinomas basocelulares y proliferaciones basaloides 14.
Las hiperplasias simples y proliferaciones basaloides muestran una escasa inmunopositividad para p53 al igual que la piel normal. Por el contrario, los carcinomas basocelulares muestran una sobreexpresión de p53 15. Las técnicas inmunohistoquímicas no suponen una ayuda definitiva a la hora de confirmar la naturaleza benigna o maligna del proceso 2. Se observa hiperplasia folicular de células basaloides hasta en el 23 % de los dermatofibromas en algunas series 3. Parece ser que la edad joven, la localización en el tronco y el tipo hipercelular de dermatofriboma son factores que están relacionados. La imagen anatomopatológica descrita en la literatura médica corresponde a nidos aislados o masas de células de hábito basaloide localizados en la unión dermoepidérmica o que se infiltran ligeramente la dermis y en ocasiones se continúan con el infundíbulo folicular. Se aprecian distintos grados de diferenciación folicular, incluso con aparición ocasional de verdaderos folículos en miniatura 1,3. Es característica la condensación focal del parénquima en torno a la proliferación celular que remeda al bulbo piloso 6. En algunos casos se puede observar una hendidura entorno a las masas celulares similar a la que se describe en el carcinoma basocelular, como retracción artefactual 1,3.
En nuestro caso, los hallazgos son en todo similares a los descritos previamente. Sin embargo, la profundidad de la infiltración de la proliferación basaloide dentro de la dermis hace que se incline la balanza más hacia el diagnóstico de neoplasia que a un mero efecto reactivo, ya que no existe ningún criterio diagnóstico definitivo a favor de benignidad.
Los fenómenos de inducción folicular no son exclusivos del dermatofibroma. Se han observado hallazgos similares sobre neurofibromas, dermatofibrosarcoma protuberans, queratosis seborreicas, cicatrices y angiomas 1.
Es importante llamar la atención sobre la variedad de cambios que pueden aparecer en la epidermis sobre dermatofibromas. En la mayoría de los casos suponen una ayuda, pero en algunas ocasiones, como en el caso de la hiperplasia basaloide indistinguible del carcinoma basocelular, pueden suponer un inconveniente. En este caso, la realización de una biopsia diagnóstica demasiado superficial puede inducir a error.





