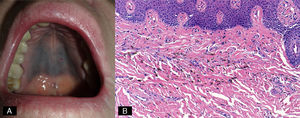
Una mujer caucásica de 71 años fue remitida para valorar una pigmentación solitaria y difusa, de color azul oscuro grisáceo en el paladar duro (fig. 1A). Su historial médico reveló un tumor estromal gastrointestinal de la vagina, tratado durante 15 años con mesilato de imatinib. No se observó ninguna otra lesión cutánea o mucosa. El examen histopatológico mostró depósitos de gránulos finos y marrones, tanto en los melanófagos como entre las fibras de colágeno en la lámina propia. El epitelio tenía un aspecto normal, sin evidencia de lesión melanocítica (fig. 1B). Estos hallazgos permitieron el diagnóstico de pigmentación mucosa inducida por imatinib. Las lesiones hiperpigmentadas orales y periorales constituyen un desafío diagnóstico, que pueden variar desde condiciones benignas, como la pigmentación inducida por fármacos, la melanosis del fumador, la mácula melanótica o el nevus melanocítico, hasta condiciones malignas como el melanoma de mucosa oral. La pigmentación oral inducida por imatinib es una reacción farmacológica relacionada con la exposición a largo plazo (de 5 a 6 años, rango de 3 meses a 13 años) que compromete predominantemente el paladar duro. Se manifiesta como una pigmentación macular azul grisácea difusa y simétrica. Microscópicamente, se observan depósitos de melanina y/o hemosiderina en la lámina propia, sin aumento de la pigmentación basal ni hiperplasia melanocítica. Al tratarse de un fenómeno poco descrito, conocer su presentación clínica es fundamental para su diagnóstico correcto.
El factor de impacto mide la media del número de citaciones recibidas en un año por trabajos publicados en la publicación durante los dos años anteriores.
© Clarivate Analytics, Journal Citation Reports 2025
SJR es una prestigiosa métrica basada en la idea de que todas las citaciones no son iguales. SJR usa un algoritmo similar al page rank de Google; es una medida cuantitativa y cualitativa al impacto de una publicación.
Ver másSNIP permite comparar el impacto de revistas de diferentes campos temáticos, corrigiendo las diferencias en la probabilidad de ser citado que existe entre revistas de distintas materias.
Ver más


