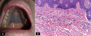
A 71-year-old Caucasian woman was referred to us showing a diffuse, solitary, dark blue-grey pigmented area on the hard palate (Fig. 1a). Her medical history revealed a gastrointestinal stromal tumor of the vagina treated during 15 years with imatinib mesylate. She did not show any other cutaneous or mucosal lesion. The histopathological exam showed deposition of fine, brown granules, either within melanophages and between collagen fibers in the lamina propria. The epithelium was unremarkable. No melanocytic lesion was observed (Fig. 1b). Thus, diagnosis of imatinib-related mucosal pigmentation was made. Hyperpigmented oral and perioral lesions are a challenging diagnosis that can range from benign conditions such as drug-associated pigmentation, smoker melanosis, melanotic macule or melanocytic nevus to malignant conditions such as oral malignant melanoma. Imatinib-related oral pigmentation is a drug reaction related with long-term exposure to drug (5–6 years, range 3 months to 13 years) that distinctively involves the hard palate, showing a symmetrical, diffuse, blue-gray macular pigmentation. Microscopically, the oral pigmentation represents deposits of melanin and/or hemosiderin within the lamina propia. Increased basal pigmentation or melanocytic hyperplasia are not seen. Being this an underreported phenomenon, knowing its clinical presentation is important to achieve a correct diagnosis.
Conflict of interestThere is no conflict of interest.




