Sr. Director:
Presentamos el caso de un varón de 57 años con múltiples carcinomas basocelulares en el cuero cabelludo, donde había recibido radioterapia en la infancia, que consultó por una tumoración perlada junto a otra violácea de 5 cm, mal definida, indurada, asintomática, con algunos nódulos periféricos (fig. 1), sin adenopatías loco-regionales. La biopsia demostró un carcinoma basocelular y un angiosarcoma de alto grado de malignidad, con celularidad mixta epitelioide y fusiforme, índice mitótico elevado y marcada invasión vascular (fig. 2). La inmunohistoquimia demostró positividad fuerte para CD31 (fig. 3), parcial para citoqueratinas y escasa para CD34 y antígeno VIII. En la tomografía axial computarizada (TAC) y la resonancia magnética nuclear (RMN) se observó infiltración del tejido celular subcutáneo y una lesión en lóbulo frontoparietal izquierdo que no pudo filiarse por rechazar el paciente un estudio angiográfico. Las biopsias de hueso y parénquima cerebral subyacentes no demostraron infiltración. Se realizó cirugía y radioterapia local, pero a los dos meses aparecieron nuevos nódulos en el cuero cabelludo y adenopatías retroauriculares, tratadas con radioterapia local. Recientemente han aparecido metástasis pulmonares y se realiza quimioterapia sistémica.
Figura 1. Lesión violácea, indurada y mal limitada, con nódulos periféricos, en la región parietal izquierda del cuero cabelludo.
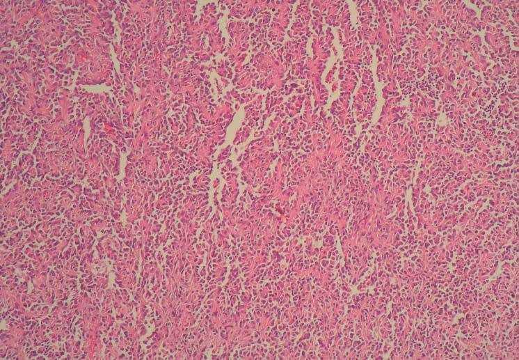
Figura 2. Tinción hematoxilina-eosina. Canales vasculares anastomosados y dilatados con proliferación de células endoteliales atípicas.
Figura 3. Inmunohistoquimia: CD31 positivo.
El angiosarcoma es un tumor maligno poco frecuente. La tercera parte se localiza en la piel, con predilección por las partes blandas superficiales1. Es más frecuente en varones ancianos de raza blanca. El linfedema, la radiodermitis crónica y la inmunosupresión son factores relacionados.
La patogénesis es desconocida, aunque parece tener origen multicéntrico en los vasos linfáticos. Como en los carcinomas basocelulares, se han encontrado mutaciones en el gen de la proteína p53, que inducirían la sobreexpresión del factor de crecimiento del endotelio vascular2,3.
El angiosarcoma puede presentarse en 4 formas clínicas: idiopático de cuero cabelludo y cara, asociado a linfedema crónico, secundario a radioterapia y primario de mama. Inicialmente todas cursan como lesiones rojo-violáceas asintomáticas, que simulan inflamación o equimosis. Durante la evolución, aparecen ulceraciones fácilmente sangrantes y nódulos de rápido crecimiento.
En la histopatología hay proliferación de células endoteliales atípicas con proyecciones papilares hacia la luz, que forman canales vasculares irregulares con tendencia a anastomosarse, tapizados por una o varias capas de células. Las células tumorales infiltran disecando fibras de colágeno y tejido adiposo. Los cuerpos de Weibel Palade están ausentes y los marcadores CD31, CD34, antígeno relacionado con el factor VIII y Ulex europaeus aglutinina son positivos4.
El angiosarcoma radioinducido es la forma menos frecuente y se ha descrito después del tratamiento tanto de tumores como de enfermedades benignas. El periodo de latencia es de 12 y 23 años respectivamente5. El angiosarcoma de cuero cabelludo constituye más del 50 % de los angiosarcomas, sin comprobarse historia de irradiación previa. Sólo hay un caso, similar al nuestro, de una mujer con un angiosarcoma 80 años después de recibir radioterapia por tiña en la infancia, con varios carcinomas basocelulares previos6.
La supervivencia media es baja. El tamaño del tumor al diagnóstico es el principal factor pronóstico. No existen protocolos de tratamiento. La cirugía asociada a radioterapia postoperatoria es de elección en tumores pequeños, aunque los márgenes mal definidos dificultan el tratamiento. En estadios avanzados se usa radioterapia7, quimioterapia8,9 o inmunoterapia paliativas, solas10 o en combinación11.





