Sr. Director:
La histoplasmosis clásica es una infección fúngica producida por el Histoplasma capsulatum capsulatum. Su máxima incidencia se da en Estados Unidos, América Central y el Sureste Asiático.
Presentamos el caso de un paciente con infección por el virus de la inmunodeficiencia humana (VIH) de 42 años, ecuatoriano, residente en nuestro país desde hacia 3 años, que consultó por fiebre, síndrome tóxico y tos de 2 meses de evolución.
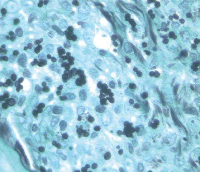
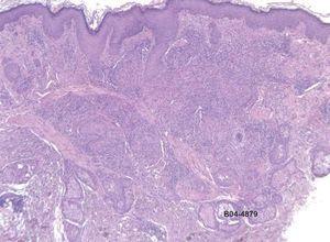
En la exploración física presentaba pápulas eritematovioláceas faciales (fig. 1), fiebre de 39 °C, con hepatoesplenomegalia, siendo el resto de los datos sin interés. En la analítica destacaba pancitopenia, transaminitis, CD4 111/mm3. La intradermorreacción a la tuberculina (PPD) fue negativa. La radiografía de tórax evidenciaba un patrón retículo-nodulillar difuso y bilateral. Los cultivos de esputo, sangre, orina y piel fueron positivos para Histoplasma capsulatum capsulatum. La biopsia cutánea de las pápulas faciales mostró una epidermis sin alteraciones, y un infiltrado inflamatorio linfohistiocitario en dermis media y profunda (fig. 2). Destacaba la presencia de unos elementos basofílicos intrahistiocitarios, reacción del ácido peryódico de Schiff (PAS) y plata metenamina positivos de 2-4 μm de diámetro con un halo periférico alrededor (fig. 3). El paciente fue tratado con anfotericina B endovenosa durante una semana, seguido de itraconazol 400 mg al día, vía oral1, observándose una mejoría clínica y analítica a los 10 días del tratamiento. El reservorio del histoplasma son las aves y los murciélagos. Sus heces contienen hongos.
Figura 1. Lesiones papulares eritematovioláceas de predominio facial.
Figura 2. Infiltrado inflamatorio linfo-histiocitario en dermis media y profunda (hematoxilina-eosina, x20).
Figura 3. Elementos de 2-4 μm de diámetro con un halo a su alrededor (plata metenamina, x100).
La infección se produce más frecuentemente por inhalación de las esporas que por inoculación directa. La forma diseminada por vía hematógena es más frecuente en pacientes inmunocomprometidos con CD4 inferiores a 200/mm3, especialmente si tienen infección por el VIH.
Suele iniciarse con un cuadro de fiebre, pérdida de peso, hepatoesplenomegalia, adenopatías, pápulas y nódulos situados en el cuero cabelludo, cara, tronco, o extremidades. La afectación de las mucosas se observa en forma de nódulos, lesiones exofíticas, úlceras orales o perianales2 debiéndose hacer el diagnóstico diferencial con úlceras herpéticas3.
Ocasionalmente la infección se puede manifestar con lesiones inespecíficas, como puede ser un eritema multiforme4. En la analítica destaca la pancitopenia, elevación de la lacticodeshidrogenasa (LDH), y de la aspartato aminotransferasa (AST). En la radiografía de tórax suele verse un infiltrado reticulonodular difuso, pero en un 50 % de los pacientes la radiografía es normal. El diagnóstico diferencial y la coinfección deben plantearse con leishmania, blastomicosis y tuberculosis1. Aunque el diagnóstico de confirmación lo da el cultivo en medio de Agar Sabouraud, si existen lesiones cutáneas su estudio histológico permite realizar un diagnóstico inicial más rápido, pues el cultivo tarda en crecer un mínimo de 2-3 semanas. Para el diagnóstico de las formas diseminadas existe el kit de detección del antígeno polisacárido en sangre y orina, método de detección en 24 horas5. La prueba cutánea de la histoplasmina, similar a la prueba de la tuberculina, es de utilidad diagnóstica en nuestro medio y se ha descrito el uso de técnicas de hibridación in situ sobre las biopsias cutáneas6.
Este nuevo caso se suma a los descritos en nuestro país7, e ilustra la necesidad de conocimiento de las enfermedades importadas, dado el aumento de la inmigración que hemos tenido en los últimos años.





