INTRODUCCION
El angioma plano en mancha de vino de Oporto congénito es un tipo de malformación vascular que afecta aproximadamente al 0,3 % de la población 1. Está presente al nacimiento, y se manifiesta como una mancha violácea generalmente localizada en la cabeza y el cuello. Persiste en la vida adulta, y se va intensificando de forma progresiva su color y grosor, a la vez que su superficie se torna nodular 2. Histológicamente, se observa incremento de capilares y vénulas dilatadas en la parte alta de la dermis reticular 3.
El angioma plano adquirido en mancha de vino de Oporto es una forma rara, morfológicamente similar al angioma plano en mancha de vino de Oporto congénito, pero de inicio y desarrollo posterior al nacimiento o ya en la vida adulta 4. Describimos 2 nuevos casos de angioma plano adquirido en mancha de vino de Oporto que hemos tenido oportunidad de estudiar.
DESCRIPCION DE LOS CASOS
Caso 1
Un paciente de 27 años, sin antecedentes de interés, presentaba desde hacía 5 años unas manchas eritematosas localizadas en la espalda, que posteriormente se fueron extendiendo de manera progresiva hasta ocupar toda la zona central de la espalda, los hombros y la cara anterior de tórax y abdomen. El paciente refería sensación de calor y picor en la lesión. En la exploración se observaba en las áreas descritas una gran mácula eritematosa, que desaparecía a la vitropresión, con un borde geográfico que la delimitaba nítidamente de la piel normal (fig. 1). Todos los estudios analíticos complementarios realizados fueron normales. No se realizó tratamiento.
Fig. 1.--Mácula eritematosa con bordes geográficos en la espalda.
Caso 2
Un varón de 27 años refería un antecedente de traumatismo en el hombro izquierdo con unas pesas, previo al comienzo del cuadro. Desde hacía 4 años presentaba una lesión eritematosa en la región clavicular izquierda, asintomática, de extensión lentamente progresiva que llegaba a afectar en el momento de la visita al cuello, hombro y región cervical del mismo lado. A la exploración se observaba, en el área descrita, una mácula eritematosa delimitada por un borde geográfico nítido (fig. 2). El resto de la exploración física y los estudios complementarios estaban dentro de la normalidad. No se realizó tratamiento.
Fig. 2.--Mácula eritematosa en lado izquierdo de cuello y región clavicular.
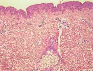
El estudio histopatológico fue similar en los 2 casos y puso de manifiesto la presencia de vasos ectásicos en la dermis papilar y reticular, sin proliferación de células endoteliales (fig. 3).
Fig. 3.--Vasos ectásicos en la dermis. (Hematoxilina-eosina, x25.)
DISCUSION
El angioma plano adquirido en mancha de vino de Oporto es muy poco frecuente. En el año 2000 una revisión recopiló 59 casos descritos en la literatura médica 5. Clínicamente, esta forma adquirida de angioma plano, se manifiesta como manchas rosadas o violáceas similares desde el punto de vista morfológico e histopatológico a la forma congénita 4,6. La edad de inicio más frecuente es la pubertad o durante la adolescencia, aunque se han descrito casos en los primeros años de vida 5-7. Suelen ser unilaterales, y la cara el lugar más frecuente de presentación 4,6. En la serie descrita por Lanigan 6, algunos pacientes (4 de 19) presentaban un pequeño componente contralateral y, en muchos casos (68 %), la lesión tenía tendencia a la diseminación. En el primer caso que describimos nosotros llama la atención la gran extensión de la lesión, que llegaba a cubrir gran parte de espalda y pecho, y la tendencia a la diseminación progresiva del angioma.
No es raro, el antecedente de traumatismo previo. El primer caso de angioma plano adquirido postraumático fue comunicado por Fegeler en 1949 8 y desde entonces se conoce también como síndrome de Fegeler 7. En la revisión efectuada por Adams y Lucky 5 lo encontraron en el 29 % de los casos. Nuestro segundo caso presentaba este antecedente.
El estudio histopatológico, en los casos que se ha practicado 4,6,9,10 mostró capilares y venas ectásicas en la dermis. No se observaba proliferación de células endoteliales que hicieran plantear otros diagnósticos de tumores vasculares.
La etiología es desconocida. En algunos de los casos descritos se ha encontrado una asociación con traumatismos previos 5,6,9,11 o cambios hormonales relacionados con la pubertad o el embarazo 12; sin embargo, esto no es un hallazgo constante 4. La patogenia de los angiomas planos en mancha de vino de Oporto no es bien conocida, pero se piensa que está relacionada con un descenso de inervación 13. Smoller y Rosen 14 encontraron una disminución de células nerviosas perivasculares y pensaron que este déficit podría ser responsable de una alteración en la modulación del tono vascular que daría lugar a la ectasia vascular progresiva característica de la enfermedad. Estos mismos autores indicaron que esta deficiencia nerviosa era de tipo simpático 15. En el caso de la forma congénita sería una maduración embrionaria defectuosa del componente simpático cutáneo, mientras que en la forma adquirida el traumatismo podría ser responsable de una pérdida de la inervación simpática 7.
El tratamiento de elección es el láser pulsado 4,6. Su efectividad se debe a la capacidad selectiva para destruir los vasos cutáneos. Al parecer, los pacientes con angioma plano adquirido en mancha de vino de Oporto responden con menos sesiones de tratamiento cuando se comparan con los que presentan la forma congénita clásica 4,6.
Declaración de conflicto de intereses
Declaramos no tener ningún conflicto de intereses.
Correspondencia:
Santiago Gómez-Díez. Cardenal Cienfuegos, 2, esc. 3, 2.º A. 33007 Oviedo. Asturias. España.
santiagofrancisco.gomez@princast.es
Recibido el 17 de mayo de 2005.
Aceptado el 7 de diciembre de 2005.





