INTRODUCCION
Hoy en día se entiende por tubercúlide una dermatosis con evidencias razonables de estar etiológicamente relacionada a través de una reacción de hipersensibilidad con el Mycobacterium tuberculosis1. Se consideran tubercúlides: el liquen escrofuloso, el eritema indurado, la tubercúlide papulonecrótica y la más recientemente propuesta tubercúlide flebítica nodular 2-4. Se ha detectado ADN de micobacterias mediante reacción en cadena de la polimerasa (PCR) en muchos casos de tubercúlide, por lo que dichas lesiones corresponderán a verdaderas tuberculosis, en vez de a reacciones a distancia 3-8.
DESCRIPCION DEL CASO
Un varón de 23 años, con antecedentes de dermatitis atópica y pie cavo bilateral corregido quirúrgicamente presentó un antecedente de un Mantoux positivo en 1995. En ese momento se instauró quimioprofilaxis con isoniazida, pero se tuvo que suspender al cabo de pocas semanas debido a una elevación grave de las transaminasas. El paciente presentó en 1999, un exantema varioliforme en la cara anterior de ambos miembros que se diagnosticó de foliculitis y fue tratado con doxiciclina con mejoría moderada. Al cabo de 9 meses presentó un episodio similar, pero en esta ocasión la evolución fue desfavorable, por lo que se remitió a nuestro servicio. En la primera consulta dermatológica se apreciaba una erupción diseminada, más o menos simétrica en miembros, con lesiones polievolutivas, pápulas, pústulas, escaras y cicatrices (fig. 1). La biopsia cutánea mostró una vasculitis granulomatosa necrosante (fig. 2), con focos granulomatosos con células gigantes (fig. 3). El cultivo micológico y bacteriológico de exudado y de material de biopsia fue negativo. La tinción de Ziehl fue negativa. La radiografía de tórax no mostró hallazgos patológicos. La bioquímica mostró una elevación moderada de las transaminasas. Finalmente, la PCR para micobacterias sobre material de biopsia resultó negativa. La prueba de Mantoux resultó necrótica. Se inició tratamiento con isoniazida 300 mg/día. A los 3 meses se suspendió el tratamiento por una elevación de transaminasas de cuatro veces sobre los valores básicos. En ese momento, la mejoría del cuadro había sido completa, y sólo se habían observado cicatrices varioliformes residuales en las piernas y las nalgas. En la última revisión de 2005 persistían las marcadas cicatrices residuales sin signos de actividad lesional reciente.
Fig. 1.--Papulocostra con cicatrices recientes junto con otras deprimidas y pigmentadas.
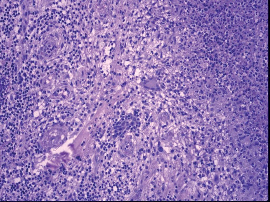
Fig. 2.--Semicuña de necrosis dermoepidérmica, con vasculitis periférica e infiltrado linfohistiocitario masivo. (Hematoxilina-eosina, x200.)
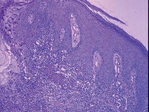
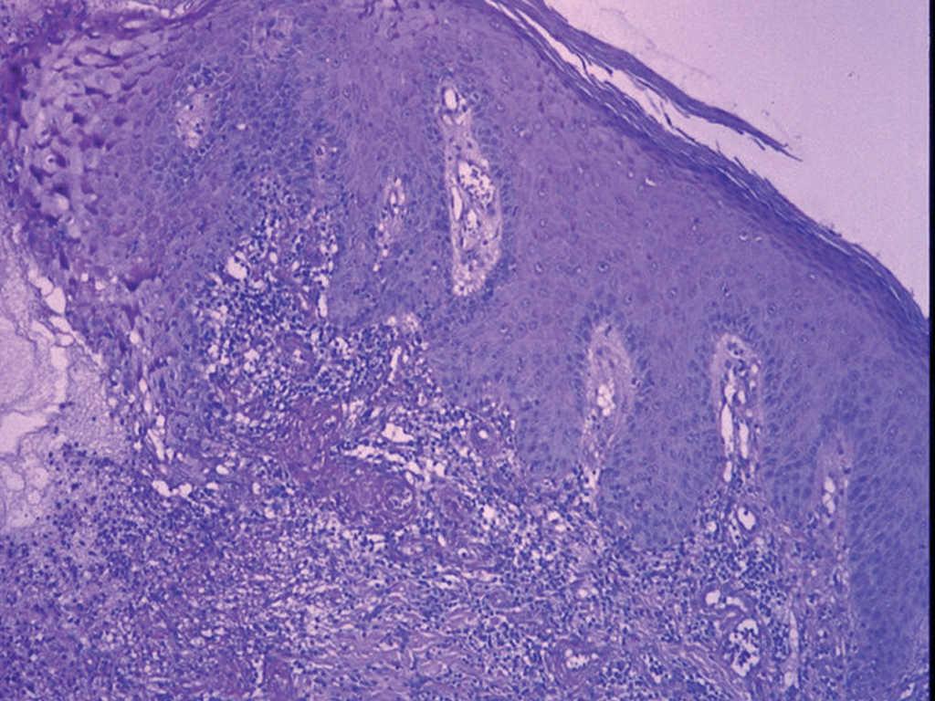
Fig. 3.--Foco granulomatoso en la periferia lesional. (Hematoxilina-eosina x400.)
DISCUSION
La tubercúlide papulonecrótica (TPN) se caracteriza por predominio en niños y adultos jóvenes, con brotes de pápulas con distribución simétrica, en áreas de extensión, predominando en torno a los codos y las rodillas y que evolucionan a pústulas, costras o escaras necróticas y finalmente a úlceras, con posterior cicatriz atrófica.
El diagnóstico requiere la presencia de lesiones características y la positividad de la reacción tuberculínica. Se confirma mediante una histología compatible y la buena respuesta al tratamiento con tuberculostáticos. La búsqueda de micobacterias mediante tinción de Zhiel y cultivo de material de las lesiones es siempre negativa. En la mitad de los casos estudiados se encontró ADN de M. tuberculosis4,9, por lo que se propone el término tuberculosis papulonecrótica como denominación genérica de estos cuadros 7, mientras que otros proponen este término para los casos en se detecta ADN específico y TNP para los casos en que no se detecta 1.
En cuanto al tratamiento, la pauta clásica recomendada era una monoterapia con isoniazida durante 9 meses 10 que se podría acompañar de corticoides, en los casos con marcada tendencia necrosante. Dada la frecuencia de las recaídas y, de acuerdo con el concepto de TPN en los pacientes con PCR positiva, el tratamiento ortodoxo actual es con tres fármacos en pautas de 9 hasta 18 meses 11.
AGRADECIMIENTOS
Agradecemos al Departamento de Microbiología, Universidad de Santiago de Compostela la realización de esta técnica.
Declaración de conflicto de intereses
Declaramos no tener ningún conflicto de intereses.
Correspondencia:
M.ª Teresa García-Sanz. Fontrabón, s/n. Faxilde 36611.
Vilagarcía de Arousa. Pontevedra. España.
maite-garcia@wanadoo.es
Recibido el 30 de mayo de 2005.
Aceptado el 21 de octubre de 2005.





